Skip to Content
Merck
CN

ZRB1272

Anti-TFE3 Antibody, clone 1G5 ZooMAb® Rabbit Monoclonal

greener alternative

recombinant, expressed in HEK 293 cells

Synonym(s):

Anti-MRXSPF, Anti-RCCX1, Anti-TFEA, Anti-bHLHe33

Sign In to View Organizational & Contract Pricing.

Select a Size


About This Item

NACRES:
NA.41
UNSPSC Code:
12352203
Conjugate:
unconjugated
Clone:
1G5, monoclonal, recombinant monoclonal
Application:
ICC, IHC (p), WB, affinity binding assay
Citations:
-
Technical Service
Need help? Our team of experienced scientists is here for you.
Let Us Assist
Technical Service
Need help? Our team of experienced scientists is here for you.
Let Us Assist

biological source

rabbit

recombinant

expressed in HEK 293 cells

conjugate

unconjugated

antibody form

purified antibody

antibody product type

primary antibodies

clone

1G5, monoclonal, recombinant monoclonal

product line

ZooMAb® learn more

form

lyophilized

mol wt

calculated mol wt ~61.52 kDa, observed mol wt ~59 kDa

species reactivity

mouse, rat, human

packaging

antibody small pack of 25 μL

greener alternative product characteristics

Waste Prevention
Designing Safer Chemicals
Design for Energy Efficiency
Learn more about the Principles of Green Chemistry.

enhanced validation

recombinant expression
Learn more about Antibody Enhanced Validation

sustainability

Greener Alternative Product

technique(s)

affinity binding assay: suitable, immunocytochemistry: suitable, immunohistochemistry (formalin-fixed, paraffin-embedded sections): suitable, western blot: suitable

isotype

IgG

UniProt accession no.

greener alternative category

shipped in

ambient

storage temp.

2-8°C

target post-translational modification

unmodified

Quality Level

General description

Transcription factor E3 (UniProt: P19532; also known as Class E basic helix-loop-helix protein 33, bHLHe33, TFE3) is encoded by the TFE3 (also known as BHLHE33) gene (Gene ID: 7030) in human. TFE3 is a ubiquitously expressed transcription factor that acts as a master regulator of lysosomal biogenesis and immune response. It specifically recognizes and binds E-box sequences (5′-CANNTG-3′) and its efficient DNA-binding requires homodimerization or heterodimerization with another member of the MiT/TFE family, such as TFEB or MITF. TFE3 is reported to be involved in the cellular response to amino acid availability by acting downstream of MTOR. In the presence of nutrients, it undergoes phosphorylation by mTOR that promotes its cytosolic retention and subsequent inactivation. However, under conditions of starvation or lysosomal stress, inhibition of mTOR induces TFE3 dephosphorylation that results in its nuclear localization and transcription factor activity. TFE3 is also reported to act as a positive regulator of browning of adipose tissue by promoting expression of target genes. It also plays a role in maintenance of the pluripotent state of embryonic stem cells by promoting the expression of genes such as ESRRB. Its mTOR-dependent nuclear exclusion promotes exit of cells from pluripotency. This ZooMAb® recombinant monoclonal antibody, generated by our propriety technology, offers significantly enhanced specificity, affinity, reproducibility, and stability over conventional monoclonals.
We are committed to bringing you greener alternative products, which adhere to one or more of The 12 Principles of Green Chemistry.This antibody is Preservative-free, produced without the harm or sacrifice of animals and exceptionally stable to allow for ambient shipping and storage if needed and thus aligns with "Waste Prevention", "Designing Safer Chemicals" and "Design for Energy Efficiency". Click here for more information.
ZooMAb antibodies represent an entirely new generation of recombinant monoclonal antibodies.

Each ZooMAb antibody is manufactured using our proprietary recombinant expression system, purified to homogeneity, and precisely dispensed to produce robust and highly reproducible lot-to-lot consistency. Only top-performing clones are released for use by researchers. Each antibody is validated for high specificity and affinity across multiple applications, including its most commonly used application. ZooMAb antibodies are reliably available and ready to ship when you need them.

Immunogen

His-tagged recombinant fragment corresponding to 143 amino acids from the C-terminal half of human Transcription factor E3 (TFE3).

Application

Quality Control Testing

Evaluated by Western Blotting in NIH3T3 cell lysate.

Western Blotting Analysis: A 1:1,000 dilution of this antibody detected TFE3 in NIH3T3 cell lysate.

Tested Applications

Western Blotting Analysis: A 1:1,000 dilution from a representative lot detected TFE3 in HeLa and C6 cell lysates.

Affinity Binding Assay: A representative lot of this antibody bound Recombinant TFE3 Protein with a KD of 1.6 x 10-8 in an affinity binding assay.

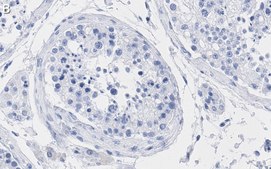
Immunohistochemistry (Paraffin) Analysis: A 1:100 dilution from a representative lot detected TFE3 in human testis tissue sections.

Immunocytochemistry Analysis: A 1:100 dilution from a representative lot detected TFE3 in PC3 cells.

Note: Actual optimal working dilutions must be determined by end user as specimens, and experimental conditions may vary with the end user
Anti-TFE3, clone 1G5 ZooMAb®, Cat. No. ZRB1272, is a recombinant Rabbit monoclonal antibody that specifically targets TFE3 and is tested for use in Affinity Binding Assay, Immunocytochemistry, Immunohistochemistry (Paraffin), and Western Blotting.

Biochem/physiol Actions

Clone 1G5 is a ZooMAb® rabbit recombinant monoclonal antibody that specifically detects Transcription Factor E3 (TFE3). It targets an epitope within the C-terminal half.

Physical form

Purified recombinant mouse monoclonal antibody IgG, lyophilized in PBS, 5% Trehalose, normal appearance a coarse or translucent resin. Contains no biocide or preservatives, such as azide, or any animal by-products. Larger pack sizes provided as multiples of 25 μL.

Preparation Note

Recommend storage of lyophilized product at 2-8°C; Before reconstitution, micro-centrifuge vials briefly to spin down material to bottom of the vial; Reconstitute each vial by adding 25 μL of filtered lab grade water or PBS; Reconstituted antibodies can be stored at 2-8°C, or -20°C for long term storage. Avoid repeated freeze-thaws.
Reconstitute lyophilized antibody pellet with 25μL of ultrapure water or Phosphate Buffered Saline (PBS). Please refer to our reconstitution protocol and the specific application guidance on the suggested starting dilutions and sample type.

Legal Information

ZooMAb is a registered trademark of Merck KGaA, Darmstadt, Germany

Disclaimer

Unless otherwise stated in our catalog or other company documentation accompanying the product(s), our products are intended for research use only and are not to be used for any other purpose, which includes but is not limited to, unauthorized commercial uses, in vitro diagnostic uses, ex vivo or in vivo therapeutic uses or any type of consumption or application to humans or animals.

Not finding the right product?  

Try our Product Selector Tool.

Storage Class

11 - Combustible Solids

wgk

WGK 1

flash_point_f

Not applicable

flash_point_c

Not applicable

Regulatory Information

常规特殊物品
常规特殊物品
This item has

Choose from one of the most recent versions:

Certificates of Analysis (COA)

Lot/Batch Number

Don't see the Right Version?

If you require a particular version, you can look up a specific certificate by the Lot or Batch number.

Already Own This Product?

Find documentation for the products that you have recently purchased in the Document Library.

Visit the Document Library

Our team of scientists has experience in all areas of research including Life Science, Material Science, Chemical Synthesis, Chromatography, Analytical and many others.

Contact Technical Service