Skip to Content
Merck
CN

ZRB1263

Anti-CFTR Antibody, clone 1C22 ZooMAb® Rabbit Monoclonal

greener alternative

recombinant, expressed in HEK 293 cells

Sign In to View Organizational & Contract Pricing.

Select a Size


About This Item

NACRES:
NA.41
UNSPSC Code:
12352203
Conjugate:
unconjugated
Clone:
1C22, recombinant monoclonal
Application:
ICC, IHC (p), WB, affinity binding assay
Citations:
-
Technical Service
Need help? Our team of experienced scientists is here for you.
Let Us Assist
Technical Service
Need help? Our team of experienced scientists is here for you.
Let Us Assist

isotype

IgG

biological source

rabbit

recombinant

expressed in HEK 293 cells

conjugate

unconjugated

antibody form

purified antibody

antibody product type

primary antibodies

clone

1C22, recombinant monoclonal

description

recombinant, expressed in HEK 293 cells

product line

ZooMAb® learn more

form

lyophilized

mol wt

calculated mol wt 168.14 kDa, observed mol wt ~160 kDa

purified by

using Protein A

species reactivity

human

species reactivity (predicted by homology)

monkey

packaging

antibody small pack of 25 μL

greener alternative product characteristics

Waste Prevention
Designing Safer Chemicals
Design for Energy Efficiency
Learn more about the Principles of Green Chemistry.

enhanced validation

recombinant expression
Learn more about Antibody Enhanced Validation

sustainability

Greener Alternative Product

technique(s)

affinity binding assay: suitable, immunocytochemistry: suitable, immunohistochemistry (formalin-fixed, paraffin-embedded sections): suitable, western blot: suitable

epitope sequence

N-terminal

Protein ID accession no.

UniProt accession no.

greener alternative category

shipped in

ambient

storage temp.

2-8°C

target post-translational modification

unmodified

Quality Level

General description

Cystic fibrosis transmembrane conductance regulator (UniProt: P13569; also known as CFTR, ATP-binding cassette sub-family C member 7, Channel conductance-controlling ATPase, cAMP-dependent chloride channel) is encoded by the CFTR (also known as ABCC7) gene (Gene ID: 1080) in human. CFTR is a multi-pass membrane protein with seven cytoplasmic domains, twelve transmembrane domains, and six extracellular domains. CFTR is an epithelial ion channel that plays an important role in the regulation of epithelial ion and water transport and fluid homeostasis. It mediates the transport of chloride ions across the cell membrane. This channel is also reported to be permeable to bicarbonate ions. Its channel activity is coupled to ATP hydrolysis. It is shown to play an important role in airway fluid homeostasis and contributes to the regulation of the pH and the ion content of the airway surface fluid layer and thereby has an important role in defense against pathogens. CFTR channel is internalized from the cell surface into an endosomal recycling compartment, from where it is recycled to the cell membrane. Mutations in CFTR gene are reported to cause Cystic fibrosis that is characterized by chronic bronchopulmonary disease with recurrent respiratory infections and pancreatic insufficiency. This ZooMAb® recombinant monoclonal antibody, generated by our propriety technology, offers significantly enhanced specificity, affinity, reproducibility, and stability over conventional monoclonals. (Ref.: Shah, VS., et al. (2016). Science. 351(6272):503-507).
We are committed to bringing you greener alternative products, which adhere to one or more of The 12 Principles of Green Chemistry.This antibody is Preservative-free, produced without the harm or sacrifice of animals and exceptionally stable to allow for ambient shipping and storage if needed and thus aligns with "Waste Prevention", "Designing Safer Chemicals" and "Design for Energy Efficiency". Click here for more information.
ZooMAb® antibodies represent an entirely new generation of recombinant monoclonal antibodies.Each ZooMAb® antibody is manufactured using our proprietary recombinant expression system, purified to homogeneity, and precisely dispensed to produce robust and highly reproducible lot-to-lot consistency. Only top-performing clones are released for use by researchers. Each antibody is validated for high specificity and affinity across multiple applications, including its most commonly used application. ZooMAb® antibodies are reliably available and ready to ship when you need them.

Immunogen

KLH-conjugated linear peptide corresponding to 18 amino acids from the first extracellular domain in the N-terminal region.

Application

Quality Control Testing

Evaluated by Western Blotting in T84 cell lysate.

Western Blotting Analysis: A 1:1,000 dilution of this antibody detected CFTR in T84 cell lysate.

Tested applications

Western Blotting Analysis: A 1:1,000 dilution from a representative lot detected CFTR in HeLa cell lysate.

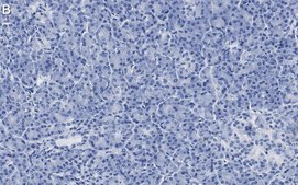
Immunohistochemistry (Paraffin) Analysis: A 1:100 dilution from a representative lot detected CFTR in human pancreas tissue sections.

Immunocytochemistry Analysis: A 1:100 dilution from a representative lot detected CFTR in A431, HeLa cells.

Affinity Binding Assay: A representative lot of this antibody bound CFTR with a KD of 1.0 x 10-12 in an affinity binding assay.

Note: Actual optimal working dilutions must be determined by end user as specimens, and experimental conditions may vary with the end user
Anti-CFTR, clone 1C22 ZooMAb®, Cat. No. ZRB1263, , is a recombinant Rabbit monoclonal antibody that specifically targets CFTR and is tested for use in Affinity Binding Assay, Immunocytochemistry, Immunohistochemistry (Paraffin), and Western Blotting.

Biochem/physiol Actions

Clone 1C22 is a ZooMAb® Rabbit recombinant monoclonal antibody that specifically detects Cystic fibrosis transmembrane conductance regulator (CFTR). It targets an epitope within 18 amino acids from the N-terminal, first extracellular domain.

Physical form

Purified recombinant rabbit monoclonal antibody IgG, lyophilized in PBS with 5% Trehalose, normal appearance a coarse or translucent resin. The PBS/trehalose components in the ZooMAb® formulation can have the appearance of a semi-solid (bead like gel) after lyophilization. This is a normal phenomenon. Please follow the recommended reconstitution procedure in the data sheet to dissolve the semi-solid, bead-like, gel-appearing material. The resulting antibody solution is completely stable and functional as proven by full functional testing. Contains no biocide or preservatives, such as azide, or any animal by-products. Larger pack sizes provided as multiples of 25 μL.

Preparation Note

Recommend storage of lyophilized product at 2-8°C; Before reconstitution, micro-centrifuge vials briefly to spin down material to bottom of the vial; Reconstitute each vial by adding 25 μL of filtered lab grade water or PBS; Reconstituted antibodies can be stored at 2-8°C, or -20°C for long term storage. Avoid repeated freeze-thaws.
Reconstitute lyophilized antibody pellet with 25μL of ultrapure water or Phosphate Buffered Saline (PBS). Please refer to our reconstitution protocol and the specific application guidance on the suggested starting dilutions and sample type.

Legal Information

ZooMAb is a registered trademark of Merck KGaA, Darmstadt, Germany

Disclaimer

Unless otherwise stated in our catalog or other company documentation accompanying the product(s), our products are intended for research use only and are not to be used for any other purpose, which includes but is not limited to, unauthorized commercial uses, in vitro diagnostic uses, ex vivo or in vivo therapeutic uses or any type of consumption or application to humans or animals.

Not finding the right product?  

Try our Product Selector Tool.

Storage Class

11 - Combustible Solids

wgk

WGK 1

flash_point_f

Not applicable

flash_point_c

Not applicable

Regulatory Information

常规特殊物品
常规特殊物品
This item has

Choose from one of the most recent versions:

Certificates of Analysis (COA)

Lot/Batch Number

Don't see the Right Version?

If you require a particular version, you can look up a specific certificate by the Lot or Batch number.

Already Own This Product?

Find documentation for the products that you have recently purchased in the Document Library.

Visit the Document Library

Our team of scientists has experience in all areas of research including Life Science, Material Science, Chemical Synthesis, Chromatography, Analytical and many others.

Contact Technical Service