Skip to Content
Merck
CN

ZRB1249

Anti-NOS1 Antibody, clone 1F14 ZooMAb® Rabbit Monoclonal

greener alternative

recombinant, expressed in HEK 293 cells

Sign In to View Organizational & Contract Pricing.

Select a Size


About This Item

NACRES:
NA.41
UNSPSC Code:
12352203
Conjugate:
unconjugated
Clone:
1F14, monoclonal, recombinant monoclonal
Application:
ICC, IHC (p), WB
Citations:
-
Technical Service
Need help? Our team of experienced scientists is here for you.
Let Us Assist
Technical Service
Need help? Our team of experienced scientists is here for you.
Let Us Assist

biological source

rabbit

recombinant

expressed in HEK 293 cells

conjugate

unconjugated

antibody form

purified antibody

antibody product type

primary antibodies

clone

1F14, monoclonal, recombinant monoclonal

product line

ZooMAb® learn more

form

lyophilized

mol wt

calculated mol wt ~160.97 kDa, observed mol wt ~165 kDa

species reactivity

human

packaging

antibody small pack of 25 μL

greener alternative product characteristics

Waste Prevention
Designing Safer Chemicals
Design for Energy Efficiency
Learn more about the Principles of Green Chemistry.

enhanced validation

recombinant expression
Learn more about Antibody Enhanced Validation

sustainability

Greener Alternative Product

technique(s)

immunocytochemistry: suitable, immunohistochemistry (formalin-fixed, paraffin-embedded sections): suitable, western blot: suitable

isotype

IgG

UniProt accession no.

greener alternative category

shipped in

ambient

storage temp.

2-8°C

target post-translational modification

unmodified

Quality Level

General description

Nitric oxide synthase, brain (UniProt: P29475; also known as EC:1.14.13.39, Constitutive NOS, NC-NOS, NOS type I, Neuronal NOS, N-NOS, nNOS, Peptidyl-cysteine S-nitrosylase NOS1, bNOS) is encoded by the NOS1 gene (Gene ID: 4842) in human. NOS is known to exist in three forms (a) a soluble, constitutively expressed enzyme found in high concentrations in the brain (nNOS or NOS-1), (b) a constitutively expressed endothelial membrane bound enzyme (eNOS, NOS-3), and (c) an inducible enzyme (iNOS or NOS-2) that is associated with the cytotoxic function of macrophages. They exhibit similarities in their structure and mechanism of action. Calmodulin is required for the activity of all three isoforms. All NOS are single polypeptides that differ in their rates of Nitric oxide ( NO), Ca2+- dependence, cytochrome c reduction, and NADPH utilization. For their catalytic activities NOS isoforms require three distinct domains: (a) a reductase domain, (b) a calmodulin-binding domain, and (c) an oxygenase domain. The reductase domain contains the FAD and FMN moieties. The oxygenase domain catalyzes the conversion of L-arginine to citrulline and NO. The nNOS is a peripheral membrane protein that is expressed in the nervous tissue and in skeletal muscle. The functionality of nNOS requires a rapid, localized production of NO and a timely end of its biosynthesis. Its primary regulation is mediated through the obligatory binding of calmodulin, which occurs in response to transient increases in intracellular Ca2+. The binding of calmodulin to nNOS triggers the transfer of NADPH derived electrons from the reductase domain to the oxygenase domain, which initiates the catalytic activity of the enzyme. The N-terminal region of nNOS also has a unique binding site for a highly conserved protein called PIN (protein inhibitor of NOS) that inhibits catalytic activity by destabilizing homodimer formation. The binding of PIN occurs at amino acids 163 - 245 of nNOS. When nNOS is phosphorylated by CaM kinase, the interaction between PIN and nNOS is disrupted. CaM kinase may potentially augment NOS activity by blocking PIN repression of nNOS. Improper regulation of nNOS has been implicated in several neurologic diseases including neurodegenerative diseases such as Huntington s disease and Parkinson s disease. This ZooMAb® recombinant monoclonal antibody, generated by our propriety technology, offers significantly enhanced specificity, affinity, reproducibility, and stability over conventional monoclonals.
We are committed to bringing you greener alternative products, which adhere to one or more of The 12 Principles of Green Chemistry.This antibody is Preservative-free, produced without the harm or sacrifice of animals and exceptionally stable to allow for ambient shipping and storage if needed and thus aligns with "Waste Prevention", "Designing Safer Chemicals" and "Design for Energy Efficiency". Click here for more information.
ZooMAb antibodies represent an entirely new generation of recombinant monoclonal antibodies.

Each ZooMAb antibody is manufactured using our proprietary recombinant expression system, purified to homogeneity, and precisely dispensed to produce robust and highly reproducible lot-to-lot consistency. Only top-performing clones are released for use by researchers. Each antibody is validated for high specificity and affinity across multiple applications, including its most commonly used application. ZooMAb antibodies are reliably available and ready to ship when you need them.

Immunogen

His-tagged recombinant fragment corresponding to the first 300 amino acids from the N-terminal region of human NOS1.

Application

Quality Control Testing

Evaluated by Western Blotting in Human brain tissue lysate.

Western Blotting Analysis: A 1:1,000 dilution of this antibody detected NOS1 in Human brain tissue lysate.

Tested Applications

Western Blotting Analysis: A 1:1,000 dilution from a representative lot detected NOS1 in SH-SY5Y cell lysate.

Immunocytochemistry Analysis: A 1:100 dilution from a representative lot detected NOS1 in SH-SY5Y cells.

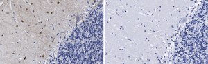
Immunohistochemistry (Paraffin) Analysis: A 1:1,000 dilution from a representative lot detected NOS1 in human cerebellum tissue sections.

Note: Actual optimal working dilutions must be determined by end user as specimens, and experimental conditions may vary with the end user
Anti-NOS1, clone 1F14 ZooMAb®, Cat. No. ZRB1249, is a recombinant Rabbit monoclonal antibody that specifically targets NOS1 and is tested for use in Immunocytochemistry, Immunohistochemistry (Paraffin), and Western Blotting.

Biochem/physiol Actions

Clone 1F14 is a ZooMAb® rabbit recombinant monoclonal antibody that specifically detects neuronal nitric oxide synthase (NOS1).

Physical form

Purified recombinant mouse monoclonal antibody IgG, lyophilized in PBS, 5% Trehalose, normal appearance a coarse or translucent resin. Contains no biocide or preservatives, such as azide, or any animal by-products. Larger pack sizes provided as multiples of 25 μL.

Preparation Note

Recommend storage of lyophilized product at 2-8°C; Before reconstitution, micro-centrifuge vials briefly to spin down material to bottom of the vial; Reconstitute each vial by adding 25 μL of filtered lab grade water or PBS; Reconstituted antibodies can be stored at 2-8°C, or -20°C for long term storage. Avoid repeated freeze-thaws.
Reconstitute lyophilized antibody pellet with 25μL of ultrapure water or Phosphate Buffered Saline (PBS). Please refer to our reconstitution protocol and the specific application guidance on the suggested starting dilutions and sample type.

Legal Information

ZooMAb is a registered trademark of Merck KGaA, Darmstadt, Germany

Disclaimer

Unless otherwise stated in our catalog or other company documentation accompanying the product(s), our products are intended for research use only and are not to be used for any other purpose, which includes but is not limited to, unauthorized commercial uses, in vitro diagnostic uses, ex vivo or in vivo therapeutic uses or any type of consumption or application to humans or animals.

Not finding the right product?  

Try our Product Selector Tool.

Storage Class

11 - Combustible Solids

wgk

WGK 1

flash_point_f

Not applicable

flash_point_c

Not applicable

Regulatory Information

常规特殊物品
This item has

Choose from one of the most recent versions:

Certificates of Analysis (COA)

Lot/Batch Number

Don't see the Right Version?

If you require a particular version, you can look up a specific certificate by the Lot or Batch number.

Already Own This Product?

Find documentation for the products that you have recently purchased in the Document Library.

Visit the Document Library

Articles

Learn about the hallmarks of cancer and find reliable ZooMAb® recombinant antibodies to study them, conveniently organized by cancer hallmark.

Our team of scientists has experience in all areas of research including Life Science, Material Science, Chemical Synthesis, Chromatography, Analytical and many others.

Contact Technical Service