Skip to Content
Merck
CN

ZRB1205

Anti-Ago2 Antibody, clone 2H10 ZooMAb® Rabbit Monoclonal

greener alternative

recombinant, expressed in HEK 293 cells

Sign In to View Organizational & Contract Pricing.

Select a Size


About This Item

NACRES:
NA.43
UNSPSC Code:
12352203
Conjugate:
unconjugated
Clone:
2H10, monoclonal, recombinant monoclonal
Application:
FACS, ICC, IHC (p), WB
Citations:
-
Technical Service
Need help? Our team of experienced scientists is here for you.
Let Us Assist
Technical Service
Need help? Our team of experienced scientists is here for you.
Let Us Assist

biological source

rabbit

recombinant

expressed in HEK 293 cells

conjugate

unconjugated

antibody form

purified antibody

antibody product type

primary antibodies

clone

2H10, monoclonal, recombinant monoclonal

product line

ZooMAb® learn more

form

lyophilized

mol wt

calculated mol wt ~97.21 kDa, observed mol wt ~97 kDa

species reactivity

rat, human, mouse

packaging

antibody small pack of 25 μL

greener alternative product characteristics

Waste Prevention
Designing Safer Chemicals
Design for Energy Efficiency
Learn more about the Principles of Green Chemistry.

enhanced validation

recombinant expression
Learn more about Antibody Enhanced Validation

sustainability

Greener Alternative Product

technique(s)

flow cytometry: suitable, immunocytochemistry: suitable, immunohistochemistry (formalin-fixed, paraffin-embedded sections): suitable, western blot: suitable

isotype

IgG

UniProt accession no.

greener alternative category

shipped in

ambient

storage temp.

2-8°C

target post-translational modification

unmodified

Quality Level

General description

Protein argonaute-2 (UniProt: Q9UKV8; also known as Argonaute2, hAgo2, Argonaute RISC catalytic component 2, Eukaryotic translation initiation factor 2C, eIF-2C, eIF2C, PAZ Piwi domain protein, PPD, Protein slicer) is encoded by the AGO2 (also known as EIF2C2) gene (Gene ID: 27161) in human. Ago2 is a highly conserved member of the AGO family of proteins with catalytic activity and is required for RNA-mediated gene silencing (RNAi) by the RNA-induced silencing complex (RISC). Binding of RISC to a perfectly complementary mRNA generally results in silencing due to endonucleolytic cleavage of the mRNA specifically by Ago2 and binding of RISC to a partially complementary mRNA results in silencing through inhibition of translation and is independent of endonuclease activity. Ago2 may inhibit translation initiation by binding to the 7-methylguanosine cap, thereby preventing the recruitment of the translation initiation factor eIF4-E. The inhibition of translational initiation leads to the accumulation of the affected mRNA in cytoplasmic processing bodies (P-bodies), where mRNA degradation may subsequently occur. Ago2 is shown to have four core domains that are known as N domain, PAZ domain (aa 235-348), MID domain, and PIWI domain (aa 517-818). The PAZ domain is an RNA binding module that recognizes the 3 end of both siRNA and miRNA, in a sequence independent manner and is reported to be strictly required for Ago2 to form the RISC complex. The PIWI domain has major roles within Ago2, including RNase H like endonucleolytic activity and regulating the interaction between MID domain and DNA/RNA. Ago2 is shown to undergo 4-hydoxylation that enhances its stability but is not essential for miRNA binding or endonuclease activity. This ZooMAb® recombinant monoclonal antibody, generated by our propriety technology, offers significantly enhanced specificity, affinity, reproducibility, and stability over conventional monoclonals. (Ref.: Ye, Z., et al. (2015). J. Cancer 6(9); 877-882).
We are committed to bringing you greener alternative products, which adhere to one or more of The 12 Principles of Green Chemistry.This antibody is Preservative-free, produced without the harm or sacrifice of animals and exceptionally stable to allow for ambient shipping and storage if needed and thus aligns with "Waste Prevention", "Designing Safer Chemicals" and "Design for Energy Efficiency". Click here for more information.
ZooMAb antibodies represent an entirely new generation of recombinant monoclonal antibodies.

Each ZooMAb antibody is manufactured using our proprietary recombinant expression system, purified to homogeneity, and precisely dispensed to produce robust and highly reproducible lot-to-lot consistency. Only top-performing clones are released for use by researchers. Each antibody is validated for high specificity and affinity across multiple applications, including its most commonly used application. ZooMAb antibodies are reliably available and ready to ship when you need them.

Immunogen

KLH-conjugated linear peptide corresponding to 23 amino acids from the N-terminal region of human Protein argonaute-2 (Ago2).

Application

Quality Control Testing

Evaluated by Western Blotting in HeLa cell lysate.

Western Blotting Analysis: A 1:1,000 dilution of this antibody detected Ago2 in HeLa cell lysate.

Tested Applications

Western Blotting Analysis: A 1:1,000 dilution from a representative lot detected Ago2 in MCF-7, NIH3T3, and C6 cell lysates.

Flow Cytometry Analysis: 1 μg from a representative lot detected Ago2 in HeLa cells.

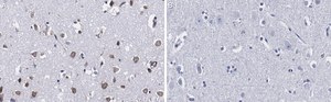
Immunohistochemistry (Paraffin) Analysis: A 1:100 dilution from a representative lot detected Ago2 in human cerebral cortex tissue sections.

Immunocytochemistry Analysis: A 1:1,000 dilution from a representative lot detected Ago2 in NIH3T3 cells.

Note: Actual optimal working dilutions must be determined by end user as specimens, and experimental conditions may vary with the end user
Anti-Ago2, clone 2H10 ZooMAb®, Cat. No. ZRB1205, is a rabbit recombinant monoclonal that specifically targets Ago2 and is tested for use in Flow Cytometry, Immunocytochemistry, Immunohistochemistry (Paraffin), and Western Blotting.

Biochem/physiol Actions

Clone 2H10 is a ZooMAb® rabbit recombinant monoclonal antibody that specifically detects Protein Argonaute -2 (Ago2). It targets an epitope within 23 amino acids from the N-terminal region.

Physical form

Purified recombinant mouse monoclonal antibody IgG, lyophilized in PBS, 5% Trehalose, normal appearance a coarse or translucent resin. Contains no biocide or preservatives, such as azide, or any animal by-products. Larger pack sizes provided as multiples of 25 μL.

Preparation Note

Recommend storage of lyophilized product at 2-8°C; Before reconstitution, micro-centrifuge vials briefly to spin down material to bottom of the vial; Reconstitute each vial by adding 25 μL of filtered lab grade water or PBS; Reconstituted antibodies can be stored at 2-8°C, or -20°C for long term storage. Avoid repeated freeze-thaws.
Reconstitute lyophilized antibody pellet with 25μL ofultrapure water or Phosphate Buffered Saline (PBS). Please refer to our reconstitutionprotocol and the specific application guidance on the suggestedstarting dilutions and sample type.

Legal Information

ZooMAb is a registered trademark of Merck KGaA, Darmstadt, Germany

Disclaimer

Unless otherwise stated in our catalog or other company documentation accompanying the product(s), our products are intended for research use only and are not to be used for any other purpose, which includes but is not limited to, unauthorized commercial uses, in vitro diagnostic uses, ex vivo or in vivo therapeutic uses or any type of consumption or application to humans or animals.

Not finding the right product?  

Try our Product Selector Tool.

Storage Class

11 - Combustible Solids

wgk

WGK 1

flash_point_f

Not applicable

flash_point_c

Not applicable

Regulatory Information

常规特殊物品
This item has

Choose from one of the most recent versions:

Certificates of Analysis (COA)

Lot/Batch Number

Don't see the Right Version?

If you require a particular version, you can look up a specific certificate by the Lot or Batch number.

Already Own This Product?

Find documentation for the products that you have recently purchased in the Document Library.

Visit the Document Library

Related Content

ZooMAb® Recombinant Antibody Technology

Our team of scientists has experience in all areas of research including Life Science, Material Science, Chemical Synthesis, Chromatography, Analytical and many others.

Contact Technical Service