Skip to Content
Merck
CN

ZRB1181

Anti-SCARB1 Antibody, clone 3B15 ZooMAb® Rabbit Monoclonal

greener alternative

recombinant, expressed in HEK 293 cells

Synonym(s):

CD36, CD36 antigen-like 1, CLA-1, Collagen type I receptor thrombospondin receptor-like 1, LIMPII analogous 1, SR-BI, SRB1, Scavenger receptor class B member 1

Sign In to View Organizational & Contract Pricing.

Select a Size


About This Item

NACRES:
NA.41
UNSPSC Code:
12352203
Clone:
recombinant monoclonal
Species reactivity:
human
Application:
IHC (p), WB, affinity binding assay
Citations:
-
Technical Service
Need help? Our team of experienced scientists is here for you.
Let Us Assist
Technical Service
Need help? Our team of experienced scientists is here for you.
Let Us Assist

clone

recombinant monoclonal

product line

ZooMAb® learn more

form

lyophilized

mol wt

calculated mol wt 60.88 kDa, observed mol wt ~65 kDa

species reactivity

human

packaging

antibody small pack of 25 μL

greener alternative product characteristics

Waste Prevention
Designing Safer Chemicals
Design for Energy Efficiency
Learn more about the Principles of Green Chemistry.

enhanced validation

recombinant expression
Learn more about Antibody Enhanced Validation

sustainability

Greener Alternative Product

technique(s)

affinity binding assay: suitable, immunohistochemistry (formalin-fixed, paraffin-embedded sections): suitable, western blot: suitable

isotype

IgG

UniProt accession no.

greener alternative category

shipped in

ambient

storage temp.

2-8°C

target post-translational modification

unmodified

biological source

rabbit

recombinant

expressed in HEK 293 cells

conjugate

unconjugated

antibody form

purified antibody

Quality Level

General description

Scavenger receptor class B member 1 (UniProt: Q8WTV0; also known as SCARB1, SRB1, CD36 and LIMPII analogous 1, CLA-1, CD36 antigen-like 1, Collagen type I receptor, thrombospondin receptor-like 1, SR-BI, CD36) is encoded by the SCARB1 (also known as CD36L1, CLA1) gene (Gene ID: 949) in human. SCARB1 is a widely expressed, multi-pass membrane glycoprotein with two cytoplasmic domains (aa 1-11 and 465-552), one extracellular domain (aa 33-443) and two transmembrane domains (aa 12-32 and 444-464). It serves as a receptor for several different ligands such as phospholipids, cholesterol ester, lipoproteins, and phosphatidylserine. It also serves as a receptor for HDL and mediates selective uptake of cholesteryl ether and HDL-dependent cholesterol efflux. It is reported to facilitate the flux of free and esterified cholesterol between the cell surface and ApoB-containing lipoproteins and modified lipoproteins, although less efficiently than HDL. SCRAB1 is also involved in phagocytosis of apoptotic cells, via its phosphatidylserine binding activity. Elevated expression of SCARB1 has been reported in a wide variety of malignant cell lines such as breast, prostate, ovarian, pancreatic, nasopharyngeal, and colorectal cancers. In hepatocytes, it is reported to act as a receptor for hepatitis C virus and facilitates virus entry into cells. This ZooMAb recombinant monoclonal antibody, generated by our propriety technology, offers significantly enhanced specificity, affinity, reproducibility, and stability over conventional monoclonals. (Ref.: Mooberry, LK., et al. (2016). Front. Pharmacol. 7; 466).
We are committed to bringing you greener alternative products, which adhere to one or more of The 12 Principles of Green Chemistry.This antibody is Preservative-free, produced without the harm or sacrifice of animals and exceptionally stable to allow for ambient shipping and storage if needed and thus aligns with "Waste Prevention", "Designing Safer Chemicals" and "Design for Energy Efficiency". Click here for more information.
ZooMAb antibodies represent an entirely new generation of recombinant monoclonal antibodies.

Each ZooMAb antibody is manufactured using our proprietary recombinant expression system, purified to homogeneity, and precisely dispensed to produce robust and highly reproducible lot-to-lot consistency. Only top-performing clones are released for use by researchers. Each antibody is validated for high specificity and affinity across multiple applications, including its most commonly used application. ZooMAb antibodies are reliably available and ready to ship when you need them.

Learn more about ZooMAb here.

Immunogen

KLH-conjugated linear peptide corresponding to 25 amino acids from the N-terminal, extracellular domain of human Scavenger receptor class B member 1 (SCARB1).

Application

Quality Control Testing
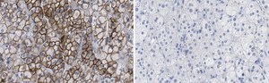
Western Blotting Analysis: A 1:1,000 dilution of this antibody detected SCARB1 in Human adrenal gland tissue lysate.Tested applicationsWestern Blotting Analysis: A 1:1,000 dilution from a representative lot detected SCARB1 in HeLa Membrane extract.Affinity Binding Assay: A representative lot of this antibody bound SCARB1 peptide with a KD of 5.8 x 10-9 in an affinity binding assay.Immunohistochemistry (Paraffin) Analysis: A 1:100 dilution from a representative lot detected SCARB1 in human adrenal gland tissue sections.Note: Actual optimal working dilutions must be determined by end user as specimens, and experimental conditions may vary with the end user
Anti-SCARB1, clone 3B15 ZooMAb, Cat. No. ZRB1181, is a recombinant Rabbit monoclonal antibody that specifically targets SCARB1 and has been tested for use in Affinity Binding Assay, Immunohistochemistry (Paraffin), and Western Blotting.

Biochem/physiol Actions

Clone 3B15 is a ZooMAb rabbit recombinant monoclonal antibody that specifically detects Scavenger receptor class B member 1 (SCARB1). It targets an epitope within 25 amino acids from the N-terminal region.

Physical form

Purified recombinant rabbit monoclonal antibody IgG, lyophilized in PBS with 5% Trehalose, normal appearance a coarse or translucent resin. Contains no biocide or preservatives, such as azide, or any animal by-products. Larger pack sizes provided as multiples of 25 μL.

Preparation Note

Recommend storage of lyophilized product at 2-8°C; Before reconstitution, micro-centrifuge vials briefly to spin down material to bottom of the vial; Reconstitute each vial by adding 25 μL of filtered lab grade water or PBS; Reconstituted antibodies can be stored at 2-8°C, or -20°C for long term storage. Avoid repeated freeze-thaws.
Reconstitute lyophilized antibody pellet with 25μL of ultrapure water or Phosphate Buffered Saline (PBS). Please refer to our reconstitution protocol and the specific application guidance on the suggested starting dilutions and sample type.

Legal Information

ZooMAb is a registered trademark of Merck KGaA, Darmstadt, Germany

Disclaimer

Unless otherwise stated in our catalog or other company documentation accompanying the product(s), our products are intended for research use only and are not to be used for any other purpose, which includes but is not limited to, unauthorized commercial uses, in vitro diagnostic uses, ex vivo or in vivo therapeutic uses or any type of consumption or application to humans or animals.

Storage Class

11 - Combustible Solids

wgk

WGK 1

flash_point_f

Not applicable

flash_point_c

Not applicable

Regulatory Information

常规特殊物品
This item has

Choose from one of the most recent versions:

Certificates of Analysis (COA)

Lot/Batch Number

Don't see the Right Version?

If you require a particular version, you can look up a specific certificate by the Lot or Batch number.

Already Own This Product?

Find documentation for the products that you have recently purchased in the Document Library.

Visit the Document Library

Our team of scientists has experience in all areas of research including Life Science, Material Science, Chemical Synthesis, Chromatography, Analytical and many others.

Contact Technical Service