Skip to Content
Merck
CN

ZRB1176

Anti-LDL Receptor Antibody, clone 2N19, ZooMAb® Rabbit Monoclonal

greener alternative

recombinant, expressed in HEK 293 cells

Synonym(s):

Anti-FH, Anti-FHC, Anti-FHCL1, Anti-LDLCQ2

Sign In to View Organizational & Contract Pricing.

Select a Size


About This Item

NACRES:
NA.41
UNSPSC Code:
12352203
Conjugate:
unconjugated
Clone:
2N19, recombinant monoclonal
Application:
FACS, ICC, IHC, WB
Citations:
-
Technical Service
Need help? Our team of experienced scientists is here for you.
Let Us Assist
Technical Service
Need help? Our team of experienced scientists is here for you.
Let Us Assist

biological source

rabbit (recombinant)

recombinant

expressed in HEK 293 cells

conjugate

unconjugated

antibody form

purified antibody

antibody product type

primary antibodies

clone

2N19, recombinant monoclonal

product line

ZooMAb® learn more

form

lyophilized

mol wt

calculated mol wt 95.38 kDa, observed mol wt ~95 kDa

species reactivity

human, rat

packaging

antibody small pack of 25 μL

greener alternative product characteristics

Waste Prevention
Designing Safer Chemicals
Design for Energy Efficiency
Learn more about the Principles of Green Chemistry.

enhanced validation

recombinant expression
Learn more about Antibody Enhanced Validation

sustainability

Greener Alternative Product

technique(s)

flow cytometry: suitable, immunocytochemistry: suitable, immunohistochemistry: suitable, western blot: suitable (peptide)

isotype

IgG

UniProt accession no.

greener alternative category

shipped in

ambient

storage temp.

2-8°C

target post-translational modification

unmodified

Quality Level

Gene Information

human ... LDLR(3949)

General description

ZooMAb antibodies represent an entirely new generation of recombinant monoclonal antibodies.

Each ZooMAb antibody is manufactured using our proprietary recombinant expression system, purified to homogeneity, and precisely dispensed to produce robust and highly reproducible lot-to-lot consistency. Only top-performing clones are released for use by researchers. Each antibody is validated for high specificity and affinity across multiple applications, including its most commonly used application. ZooMAb antibodies are reliably available and ready to ship when you need them.

Learn more about ZooMAb here.
Low-density lipoprotein receptor (UniProt P01130; also known as LDL receptor) is encoded by the LDLR (also known as FH, FHC) gene (Gene ID: 3949) in human. LDL receptor is a single-pass type I membrane protein that is rapidly endocytosed upon ligand binding. It binds low density lipoprotein (LDL) and transports it into cells by endocytosis. LDL receptor recognizes the apoprotein B100 embedded in the outer phospholipid layer of cholesterol-rich LDL particles and mediates their removal by endocytosis via clathrin-coated pits. It also recognizes the ApoE protein found in chylomicron remnants and VLDL remnants (IDL). LDL receptor is synthesized with a signal peptide (aa 1-21), which is subsequently cleaved off to generate the mature form. The mature form of LDL receptor contains an extracellular domain (aa 22-788), a transmembrane domain (aa 789-810), and a cytoplasmic domain (aa 811-860). The extracellular region contains seven class A (aa 25-313) and six class B (aa 397-658) LDLR repeats and three EGF-like domains (aa 314-353, 354-393, 663-712). LDL-A repeats are known to mediate LDL binding, and repeats 2-7 are required for ApoB binding, while only repeat 5 is required for ApoE binding. The class B (LDL-B) repeats region adopts a beta-propeller conformation and is believed to be responsible for the pH-dependent release of LDL in the endosome. The cytoplasmic tail contains a signal sequence that is important for localizing the receptors to clathrin-coated pits and for triggering receptor-mediated endocytosis upon LDL binding. Mutations in LDLR gene are known to cause familial hypercholesterolemia (FH) leading to high levels of serum LDL and excess deposition of cholesterol in tissues leading to atherosclerosis and higher risk of premature coronary heart disease. This ZooMAb recombinant monoclonal antibody, generated by our propriety technology, offers significantly enhanced specificity, affinity, reproducibility, and stability over conventional monoclonals.
We are committed to bringing you greener alternative products, which adhere to one or more of The 12 Principles of Green Chemistry.This antibody is Preservative-free, produced without the harm or sacrifice of animals and exceptionally stable to allow for ambient shipping and storage if needed and thus aligns with "Waste Prevention", "Designing Safer Chemicals" and "Design for Energy Efficiency". Click here for more information.

Immunogen

His-tagged recombinant fragment corresponding to 105 amino acids from the C-terminal region of human LDL receptor.

Application

Anti-LDL Receptor, clone 2N19 ZooMAb , Cat. No. ZRB1176, is a highly specific rabbit recombinant monoclonal antibody that targets Low-Density Lipoprotein Receptor and has been tested for use in Flow Cytometry, Immunocytochemistry, Immunohistochemistry, and Western Blotting.
Western Blotting Analysis: A 1:1,000 dilution from a representative lot detected LDL Receptor in RAW264.7 and HEPG2 cell lysates.

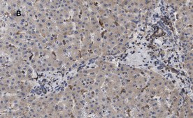
Immunohistochemistry (Paraffin) Analysis: A 1:100-1,000 dilution from a representative lot detected LDL Receptor in human liver and rat liver tissue sections.

Immunocytochemistry Analysis: A 1:100 dilution of from a representative lot detected LDL Receptor in A431, HepG2, NIH 3T3 cells.

Flow Cytometry Analysis: 0.1 μg from a representative lot detected LDL Receptor in HepG2.

Note: Actual optimal working dilutions must be determined by the end user as specimens and experimental conditions may vary.

Biochem/physiol Actions

Clone 2N19 is a ZooMAb rabbit recombinant monoclonal antibody that specifically detects LDL receptor. It targets an epitope within 105 amino acids from the C-terminal region.

Physical form

Purified recombinant rabbit monoclonal antibody IgG, lyophilized in PBS with 5% Trehalose. Normal appearance is a coarse or translucent resin. Contains no biocide or preservatives, such as azide, or any animal by-products. Larger pack sizes provided as multiples of 25 μL.

Preparation Note

Recommend storage of lyophilized product at 2-8°C; Before reconstitution, micro-centrifuge vials briefly to spin down material to bottom of the vial; Reconstitute each vial by adding 25 μL of filtered lab grade water or PBS; Reconstituted antibodies can be stored at 2-8°C, or -20°C for long term storage. Avoid repeated freeze-thaws.
Reconstitute lyophilized antibody pellet with 25μL of ultrapure water or Phosphate Buffered Saline (PBS). Please refer to our reconstitution protocol and the specific application guidance on the suggested starting dilutions and sample type.

Legal Information

ZooMAb is a registered trademark of Merck KGaA, Darmstadt, Germany

Disclaimer

Unless otherwise stated in our catalog or other company documentation accompanying the product(s), our products are intended for research use only and are not to be used for any other purpose, which includes but is not limited to, unauthorized commercial uses, in vitro diagnostic uses, ex vivo or in vivo therapeutic uses or any type of consumption or application to humans or animals.

Not finding the right product?  

Try our Product Selector Tool.

Storage Class

11 - Combustible Solids

wgk

WGK 2

flash_point_f

Not applicable

flash_point_c

Not applicable

Regulatory Information

常规特殊物品
This item has

Choose from one of the most recent versions:

Certificates of Analysis (COA)

Lot/Batch Number

Don't see the Right Version?

If you require a particular version, you can look up a specific certificate by the Lot or Batch number.

Already Own This Product?

Find documentation for the products that you have recently purchased in the Document Library.

Visit the Document Library

Our team of scientists has experience in all areas of research including Life Science, Material Science, Chemical Synthesis, Chromatography, Analytical and many others.

Contact Technical Service