Skip to Content
Merck
CN

ZRB1158

Anti-VGAT Antibody, clone 2E6 ZooMAb® Rabbit Monoclonal

greener alternative

recombinant, expressed in HEK 293 cells

Sign In to View Organizational & Contract Pricing.

Select a Size


About This Item

NACRES:
NA.41
UNSPSC Code:
12352203
Conjugate:
unconjugated
Clone:
2E6, monoclonal, recombinant monoclonal
Application:
ICC, IHC (p), WB, affinity binding assay
Citations:
-
Technical Service
Need help? Our team of experienced scientists is here for you.
Let Us Assist
Technical Service
Need help? Our team of experienced scientists is here for you.
Let Us Assist

biological source

rabbit

recombinant

expressed in HEK 293 cells

conjugate

unconjugated

antibody form

purified antibody

antibody product type

primary antibodies

clone

2E6, monoclonal, recombinant monoclonal

product line

ZooMAb® learn more

form

lyophilized

mol wt

calculated mol wt ~57.42 kDa, observed mol wt ~64 kDa

species reactivity

human

species reactivity (predicted by homology)

mouse, rat, monkey, bovine

packaging

antibody small pack of 25 μL

greener alternative product characteristics

Waste Prevention
Designing Safer Chemicals
Design for Energy Efficiency
Learn more about the Principles of Green Chemistry.

enhanced validation

recombinant expression
Learn more about Antibody Enhanced Validation

sustainability

Greener Alternative Product

technique(s)

affinity binding assay: suitable, immunocytochemistry: suitable, immunohistochemistry (formalin-fixed, paraffin-embedded sections): suitable, western blot: suitable

isotype

IgG

UniProt accession no.

greener alternative category

shipped in

ambient

storage temp.

2-8°C

target post-translational modification

unmodified

Quality Level

General description

We are committed to bringing you greener alternative products, which adhere to one or more of The 12 Principles of Green Chemistry.This antibody is Preservative-free, produced without the harm or sacrifice of animals and exceptionally stable to allow for ambient shipping and storage if needed and thus aligns with "Waste Prevention", "Designing Safer Chemicals" and "Design for Energy Efficiency". Click here for more information.
ZooMAb antibodies represent an entirely new generation of recombinant monoclonal antibodies.

Each ZooMAb antibody is manufactured using our proprietary recombinant expression system, purified to homogeneity, and precisely dispensed to produce robust and highly reproducible lot-to-lot consistency. Only top-performing clones are released for use by researchers. Each antibody is validated for high specificity and affinity across multiple applications, including its most commonly used application. ZooMAb antibodies are reliably available and ready to ship when you need them.
Vesicular inhibitory amino acid transporter (UniProt: Q9H598; also known as GABA and glycine transporter, Solute carrier family 32 member 1, Vesicular GABA transporter, hVIAAT, VGAT) is encoded by the SLC32A1 (also known as VGAT, VIAAT) gene (Gene ID: 140679) in human. VGAT is a multi-pass membrane protein with six cytoplasmic domains, ten transmembrane domains, and five vesicular lumenal domains. It is shown to be highly concentrated in the nerve endings of GABAergic neurons and in glycinergic nerve endings. It transports GABA and glycine into acidic vesicles and localizes to the synaptic vesicle in glycinergic and GABAergic neurons. It is also expressed throughout the horizontal cell tips at photoreceptor terminals in retina. VGAT expression has been reported in pancreatic islets of rat, however, its expression in human pancreatic islets is none to very low. This ZooMAb® recombinant monoclonal antibody, generated by our propriety technology, offers significantly enhanced specificity, affinity, reproducibility, and stability over conventional monoclonals. (Ref.: Chessler, SD., et al. (2002). Diabetes. 51(6); 1763-1771).

Immunogen

KLH-conjugated linear peptide corresponding to 15 amino acids from the C-terminal, cytoplasmic domain of human Vesicular GABA transporter.

Application

Quality Control Testing

Evaluated by Western Blotting in Human Brain tissue lysate.

Western Blotting Analysis: A 1:500 dilution of this antibody detected VGAT in Human Brain tissue lysate.

Tested Applications

Immunocytochemistry Analysis: A 1:100 Dilution from a representative lot detected VGAT in Y79 cell line.

Affinity Binding Assay Analysis: A representative lot of this antibody bound VGAT peptides with a KD of 5.3 x 10^-8 in an affinity binding assay.

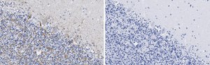
Immunohistochemistry (Paraffin) Analysis: A 1:1,000 dilution from a representative lot detected VGAT in human cerebellum tissue sections.

Note: Actual optimal working dilutions must be determined by end user as specimens, and experimental conditions may vary with the end user
Anti-VGAT, clone 2E6 ZooMAb®, Cat. No. ZRB1158, is a recombinant Rabbit monoclonal antibody that specifically targets VGAT and is tested for use in Affinity Binding Assay, Immunocytochemistry, Immunohistochemistry (Paraffin), and Western Blotting.

Biochem/physiol Actions

Clone 2E6 is a ZooMAb® rabbit recombinant monoclonal antibody that specifically detects vesicular GABA transporter. It targets an epitope within 15 amino acids from the C-terminal, cytoplasmic domain.

Physical form

Purified recombinant mouse monoclonal antibody IgG, lyophilized in PBS, 5% Trehalose, normal appearance a coarse or translucent resin. Contains no biocide or preservatives, such as azide, or any animal by-products. Larger pack sizes provided as multiples of 25 μL.

Preparation Note

Recommend storage of lyophilized product at 2-8°C; Before reconstitution, micro-centrifuge vials briefly to spin down material to bottom of the vial; Reconstitute each vial by adding 25 μL of filtered lab grade water or PBS; Reconstituted antibodies can be stored at 2-8°C, or -20°C for long term storage. Avoid repeated freeze-thaws.
Reconstitute lyophilized antibody pellet with 25μL of ultrapure water or Phosphate Buffered Saline (PBS). Please refer to our reconstitution protocol and the specific application guidance on the suggested starting dilutions and sample type.

Legal Information

ZooMAb is a registered trademark of Merck KGaA, Darmstadt, Germany

Disclaimer

Unless otherwise stated in our catalog or other company documentation accompanying the product(s), our products are intended for research use only and are not to be used for any other purpose, which includes but is not limited to, unauthorized commercial uses, in vitro diagnostic uses, ex vivo or in vivo therapeutic uses or any type of consumption or application to humans or animals.

Not finding the right product?  

Try our Product Selector Tool.

Storage Class

11 - Combustible Solids

wgk

WGK 1

flash_point_f

Not applicable

flash_point_c

Not applicable

Regulatory Information

常规特殊物品
常规特殊物品
This item has

Choose from one of the most recent versions:

Certificates of Analysis (COA)

Lot/Batch Number

Don't see the Right Version?

If you require a particular version, you can look up a specific certificate by the Lot or Batch number.

Already Own This Product?

Find documentation for the products that you have recently purchased in the Document Library.

Visit the Document Library

Our team of scientists has experience in all areas of research including Life Science, Material Science, Chemical Synthesis, Chromatography, Analytical and many others.

Contact Technical Service