Skip to Content
Merck
CN

ZRB1153

Anti-53BP1 Antibody, clone 1H16 ZooMAb® Rabbit Monoclonal

greener alternative

recombinant, expressed in HEK 293 cells

Synonym(s):

TP53-binding protein 1, p53-binding protein 1, p53BP1

Sign In to View Organizational & Contract Pricing.

Select a Size


About This Item

NACRES:
NA.41
UNSPSC Code:
12352203
Clone:
recombinant monoclonal
Species reactivity:
mouse, human
Application:
ICC, IHC (p), WB, affinity binding assay
Citations:
-
Technical Service
Need help? Our team of experienced scientists is here for you.
Let Us Assist
Technical Service
Need help? Our team of experienced scientists is here for you.
Let Us Assist

clone

recombinant monoclonal

product line

ZooMAb® learn more

form

lyophilized

mol wt

calculated mol wt 213.57 kDa, observed mol wt ~270 kDa

species reactivity

mouse, human

packaging

antibody small pack of 25 μL

greener alternative product characteristics

Waste Prevention
Designing Safer Chemicals
Design for Energy Efficiency
Learn more about the Principles of Green Chemistry.

enhanced validation

recombinant expression
Learn more about Antibody Enhanced Validation

sustainability

Greener Alternative Product

technique(s)

affinity binding assay: suitable, immunocytochemistry: suitable, immunohistochemistry (formalin-fixed, paraffin-embedded sections): suitable, western blot: suitable

isotype

IgG

UniProt accession no.

greener alternative category

shipped in

ambient

storage temp.

2-8°C

target post-translational modification

unmodified

biological source

rabbit

recombinant

expressed in HEK 293 cells

conjugate

unconjugated

antibody form

purified antibody

Quality Level

General description

TP53-binding protein 1 (UniProt: Q12888; also known as 53BP1, p53-binding protein 1, p53BP1) is encoded by the TP53BP1 gene (Gene ID: 7158) in human. 53BP1 is a homooligomeric double-strand break (DSB) repair protein that is involved in response to DNA damage and promotes non-homologous end joining (NHEJ)-mediated repair. It counteracts the function of the homologous recombination (HR) repair protein BRCA1. In response to DSB it undergoes phosphorylation by ATM, which promotes interaction with RIF1 and dissociation from NUDT16L1/TIRR, leading to recruitment to DSBs sites where it binds histone H2A monoubiquinated at lysine 15 (H2AK15Ub) and histone H4 dimethylated at lysine 20 (H4K20me2). Its Tudor-like region (aa 1484-1603) mediates its binding to H4K20m3e2. In the absence of DNA damage, it is phosphorylated at basal level, but following DSB and phosphorylation by ATM it interacts with PAX-interacting protein 1 (PAXIP1) and non-homologous end joining of dysfunctional telomeres. Three isoforms of 53BP1 have been described that are produced by alternative splicing. This ZooMAb recombinant monoclonal antibody, generated by our propriety technology, offers significantly enhanced specificity, affinity, reproducibility, and stability over conventional monoclonals. (Ref.: Panier, S., and Boulton, S. (2014). Nat Rev Mol Cell Biol 15(1); 7-18).
We are committed to bringing you greener alternative products, which adhere to one or more of The 12 Principles of Green Chemistry.This antibody is Preservative-free, produced without the harm or sacrifice of animals and exceptionally stable to allow for ambient shipping and storage if needed and thus aligns with "Waste Prevention", "Designing Safer Chemicals" and "Design for Energy Efficiency". Click here for more information.
ZooMAb antibodies represent an entirely new generation of recombinant monoclonal antibodies.

Each ZooMAb antibody is manufactured using our proprietary recombinant expression system, purified to homogeneity, and precisely dispensed to produce robust and highly reproducible lot-to-lot consistency. Only top-performing clones are released for use by researchers. Each antibody is validated for high specificity and affinity across multiple applications, including its most commonly used application. ZooMAb antibodies are reliably available and ready to ship when you need them.

Learn more about ZooMAb here.

Immunogen

His-tagged recombinant fragment corresponding to 250 amino acids from the N-terminal half of human p53-binding protein 1 (53BP1).

Application

Quality Control Testing
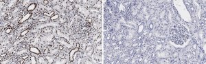
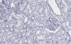
Western Blotting Analysis: A 1:1,000 dilution of this antibody detected 53BP1 in HEK293 cell nuclear extract.Tested applicationsWestern Blotting Analysis: A 1:1,000 dilution from a representative lot detected 53BP1 in HeLa cell Nuclear Extract.Immunohistochemistry (Paraffin) Analysis: A 1:100 dilution from a representative lot detected 53BP1 in human kidney tissue sections.Affinity Binding Assay: A representative lot of this antibody bound recombinant 53BP1 protein fragment with a KD of 1.2 x 10-8 in an affinity binding assay. Immunocytochemistry Analysis: A 1:100 dilution from a representative lot detected 53BP1 in HeLa, A431, HepG2, NIH 3T3 cells.Note: Actual optimal working dilutions must be determined by end user as specimens, and experimental conditions may vary with the end user
Anti-53BP1, clone 1H16 ZooMAb, Cat. No. ZRB1153, is a recombinant Rabbit monoclonal antibody that specifically targets 53BP1 and is tested for use in Affinity Binding Assay, Immunocytochemistry, Immunohistochemistry (Paraffin), and Western Blotting.

Biochem/physiol Actions

Clone 1H16 is a ZooMAb rabbit recombinant monoclonal antibody that specifically detects p53-binding protein 1. It targets an epitope within the N-terminal half.

Physical form

Purified recombinant rabbit monoclonal antibody IgG, lyophilized in PBS with 5% Trehalose, normal appearance a coarse or translucent resin. Contains no biocide or preservatives, such as azide, or any animal by-products. Larger pack sizes provided as multiples of 25 μL.

Preparation Note

Recommend storage of lyophilized product at 2-8°C; Before reconstitution, micro-centrifuge vials briefly to spin down material to bottom of the vial; Reconstitute each vial by adding 25 μL of filtered lab grade water or PBS; Reconstituted antibodies can be stored at 2-8°C, or -20°C for long term storage. Avoid repeated freeze-thaws.
Reconstitute lyophilized antibody pellet with 25μL of ultrapure water or Phosphate Buffered Saline (PBS). Please refer to our reconstitution protocol and the specific application guidance on the suggested starting dilutions and sample type.

Legal Information

ZooMAb is a registered trademark of Merck KGaA, Darmstadt, Germany

Disclaimer

Unless otherwise stated in our catalog or other company documentation accompanying the product(s), our products are intended for research use only and are not to be used for any other purpose, which includes but is not limited to, unauthorized commercial uses, in vitro diagnostic uses, ex vivo or in vivo therapeutic uses or any type of consumption or application to humans or animals.

Storage Class

11 - Combustible Solids

wgk

WGK 1

flash_point_f

Not applicable

flash_point_c

Not applicable

Regulatory Information

常规特殊物品
This item has

Choose from one of the most recent versions:

Certificates of Analysis (COA)

Lot/Batch Number

Don't see the Right Version?

If you require a particular version, you can look up a specific certificate by the Lot or Batch number.

Already Own This Product?

Find documentation for the products that you have recently purchased in the Document Library.

Visit the Document Library

Articles

Learn about the hallmarks of cancer and find reliable ZooMAb® recombinant antibodies to study them, conveniently organized by cancer hallmark.

Our team of scientists has experience in all areas of research including Life Science, Material Science, Chemical Synthesis, Chromatography, Analytical and many others.

Contact Technical Service