Skip to Content
Merck
CN

ZRB1127

Anti-MDM2 Antibody, clone Z6H3 ZooMAb® Rabbit Monoclonal

greener alternative

recombinant, expressed in HEK 293 cells

Sign In to View Organizational & Contract Pricing.

Select a Size


About This Item

NACRES:
NA.41
UNSPSC Code:
12352203
Conjugate:
unconjugated
Clone:
Z6H3, recombinant monoclonal
Application:
IHC (p), WB, affinity binding assay
Citations:
-
Technical Service
Need help? Our team of experienced scientists is here for you.
Let Us Assist
Technical Service
Need help? Our team of experienced scientists is here for you.
Let Us Assist

biological source

rabbit

recombinant

expressed in HEK 293 cells

conjugate

unconjugated

antibody form

purified antibody

antibody product type

primary antibodies

clone

Z6H3, recombinant monoclonal

description

recombinant, expressed in HEK 293 cells

product line

ZooMAb® learn more

form

lyophilized

mol wt

calculated mol wt 55.23 kDa, observed mol wt ~58 kDa

species reactivity

human, mouse

packaging

antibody small pack of 25 μL

greener alternative product characteristics

Waste Prevention
Designing Safer Chemicals
Design for Energy Efficiency
Learn more about the Principles of Green Chemistry.

enhanced validation

recombinant expression
Learn more about Antibody Enhanced Validation

sustainability

Greener Alternative Product

technique(s)

affinity binding assay: suitable, immunohistochemistry (formalin-fixed, paraffin-embedded sections): suitable, western blot: suitable

isotype

IgG

epitope sequence

N-terminal half

Protein ID accession no.

UniProt accession no.

greener alternative category

shipped in

ambient

storage temp.

2-8°C

target post-translational modification

unmodified

Quality Level

General description

E3 ubiquitin-protein ligase Mdm2 (UniProt: Q00987; also known as EC:2.3.2.27, Double minute 2 protein, Hdm2, Oncoprotein Mdm2, RING-type E3 ubiquitin transferase, Mdm2, p53-binding protein Mdm2) is encoded by the MDM2 gene (Gene ID: 4193) in human. Mdm2 is a ubiquitously expressed, p53-inducible phosphoprotein protein that is predominantly expressed in the nucleoplasm. It binds to the N-terminus of the p53 and negatively regulates its activity. as an E3 ligase to ubiquitinate p53 and force its export from the nucleus to the cytoplasm where it is degraded in the proteasome. Over-expression of MDM2 is reported in several cancers, including breast cancer and soft tissue carcinomas. In breast cancer its over-expression is also correlated with lack of p21 expression. MDM2 overexpression is also associated with chemotherapeutic resistance in human malignancies. The mechanisms of chemotherapeutic resistance by MDM2 overexpression includes both the p53-MDM2 loop-dependent and p53-MDM2 loop-independent pathways. In normal cells, its over-expression causes G1 phase arrest. Hence, in normal cells it may have a protective role in preventing untimely cell cycle progression. MDM2 can underdo phosphorylation on serine 166 by SGK1 and at multiple sites near the RING domain (aa 438-479) by ATM kinase upon DNA damage. This ZooMAb® recombinant monoclonal antibody, generated by our propriety technology, offers significantly enhanced specificity, affinity, reproducibility, and stability over conventional monoclonals. (Ref.: Hou, H., et al. (2019). Cancer Cell Int. 19; Article 216).
We are committed to bringing you greener alternative products, which adhere to one or more of The 12 Principles of Green Chemistry.This antibody is Preservative-free, produced without the harm or sacrifice of animals and exceptionally stable to allow for ambient shipping and storage if needed and thus aligns with "Waste Prevention", "Designing Safer Chemicals" and "Design for Energy Efficiency". Click here for more information.
ZooMAb® antibodies represent an entirely new generation of recombinant monoclonal antibodies.

Each ZooMAb® antibody is manufactured using our proprietary recombinant expression system, purified to homogeneity, and precisely dispensed to produce robust and highly reproducible lot-to-lot consistency. Only top-performing clones are released for use by researchers. Each antibody is validated for high specificity and affinity across multiple applications, including its most commonly used application. ZooMAb® antibodies are reliably available and ready to ship when you need them.

Learn more about ZooMAb here.

Immunogen

KLH-conjugate linear peptide corresponding to 14 amino acids from the N-terminal half of human E3 ubiquitin-protein ligase Mdm2 (MDM2).

Application

Quality Control Testing

Evaluated by Western Blotting in Mouse brain nuclear extract.

Western Blotting Analysis: A 1:1,000 dilution of this antibody detected MDM2 in Mouse brain nuclear extract.

Tested applications

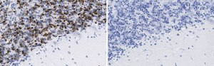
Immunohistochemistry (Paraffin) Analysis: A 1:100 dilution from a representative lot detected MDM2 in human brain tissue sections.

Affinity Binding Assay: A representative lot of this antibody bound MDM2 with a KD of 8.3 x 10-8 in an affinity binding assay.

Note: Actual optimal working dilutions must be determined by end user as specimens, and experimental conditions may vary with the end user
Anti-MDM2, clone Z6H3 ZooMAb®, Cat. No. ZRB1127, is a recombinant Rabbit monoclonal antibody that specifically detects MDM2 and is tested for use in Affinity Binding Assay, Immunohistochemistry (Paraffin), and Western Blotting.

Biochem/physiol Actions

Clone Z6H3 is a ZooMAb® rabbit recombinant monoclonal antibody that specifically detects MDM2. It targets an epitope within 14 amino acids from the N-terminal half.

Physical form

Purified recombinant rabbit monoclonal antibody IgG, lyophilized in PBS, 5% Trehalose, normal appearance a coarse or translucent resin. The PBS/trehalose components in the ZooMAb formulation can have the appearance of a semi-solid (bead like gel) after lyophilization. This is a normal phenomenon. Please follow the recommended reconstitution procedure in the data sheet to dissolve the semi-solid, bead-like, gel-appearing material. The resulting antibody solution is completely stable and functional as proven by full functional testing. Contains no biocide or preservatives, such as azide, or any animal by-products. Larger pack sizes provided as multiples of 25 μL.

Preparation Note

Recommend storage of lyophilized product at 2-8°C; Before reconstitution, micro-centrifuge vials briefly to spin down material to bottom of the vial; Reconstitute each vial by adding 25 μL of filtered lab grade water or PBS; Reconstituted antibodies can be stored at 2-8°C, or -20°C for long term storage. Avoid repeated freeze-thaws.
Reconstitute lyophilized antibody pellet with 25μL of ultrapure water or Phosphate Buffered Saline (PBS). Please refer to our reconstitution protocol and the specific application guidance on the suggested starting dilutions and sample type.

Legal Information

ZooMAb is a registered trademark of Merck KGaA, Darmstadt, Germany

Disclaimer

Unless otherwise stated in our catalog or other company documentation accompanying the product(s), our products are intended for research use only and are not to be used for any other purpose, which includes but is not limited to, unauthorized commercial uses, in vitro diagnostic uses, ex vivo or in vivo therapeutic uses or any type of consumption or application to humans or animals.

Not finding the right product?  

Try our Product Selector Tool.

Storage Class

11 - Combustible Solids

wgk

WGK 1

flash_point_f

Not applicable

flash_point_c

Not applicable

Regulatory Information

常规特殊物品
This item has

Choose from one of the most recent versions:

Certificates of Analysis (COA)

Lot/Batch Number

Don't see the Right Version?

If you require a particular version, you can look up a specific certificate by the Lot or Batch number.

Already Own This Product?

Find documentation for the products that you have recently purchased in the Document Library.

Visit the Document Library

Articles

Learn about the hallmarks of cancer and find reliable ZooMAb® recombinant antibodies to study them, conveniently organized by cancer hallmark.

Our team of scientists has experience in all areas of research including Life Science, Material Science, Chemical Synthesis, Chromatography, Analytical and many others.

Contact Technical Service