Skip to Content
Merck
CN

ZMS1133

Anti-MUC5AC Antibody, clone CLH2 ZooMAb® Mouse Monoclonal

greener alternative

recombinant, expressed in HEK 293 cells

Synonym(s):

Mucin-5AC;MUC-5AC;Gastric mucin;Major airway glycoprotein;Mucin-5 subtype AC tracheobronchial;Tracheobronchial mucin;TBM

Sign In to View Organizational & Contract Pricing.

Select a Size


About This Item

NACRES:
NA.43
UNSPSC Code:
12352203
Conjugate:
unconjugated
Clone:
CLH2, recombinant monoclonal
Application:
FACS, ICC, IF, IHC, WB
Citations:
-
Technical Service
Need help? Our team of experienced scientists is here for you.
Let Us Assist
Technical Service
Need help? Our team of experienced scientists is here for you.
Let Us Assist

biological source

mouse

recombinant

expressed in HEK 293 cells

conjugate

unconjugated

antibody form

purified antibody

antibody product type

primary antibodies

clone

CLH2, recombinant monoclonal

product line

ZooMAb® learn more

form

lyophilized

mol wt

calculated mol wt 585.57 kDa

purified by

using protein G

species reactivity

human, mouse

packaging

antibody small pack of 25 μL

greener alternative product characteristics

Waste Prevention
Designing Safer Chemicals
Design for Energy Efficiency
Learn more about the Principles of Green Chemistry.

enhanced validation

recombinant expression
Learn more about Antibody Enhanced Validation

sustainability

Greener Alternative Product

technique(s)

flow cytometry: suitable, immunocytochemistry: suitable, immunofluorescence: suitable, immunohistochemistry: suitable, western blot: suitable

Quality Level

Gene Information

mouse ... MUC5AC(4586)

isotype

IgG1

epitope sequence

Internal

Protein ID accession no.

UniProt accession no.

greener alternative category

shipped in

ambient

storage temp.

2-8°C

target post-translational modification

unmodified

General description

Mucin-5AC (UniProt: P98088; also known as MUC5-AC, Gastric mucin, Major airway glycoprotein 1, Mucin-5 subtype AC tracheobronchial, Tracheobronchial mucin 1. TBM) is encoded by the MUC5AC (also known as MUC5) gene (Gene ID: 4586) in human. MUC5-AC is a gel-forming glycoprotein of gastric and respiratory tract epithelia that protects the mucosa from infection and chemical damage by binding to inhaled microorganisms and particles that are subsequently removed by mucociliary system. It is synthesized with a signal peptide (aa 1-27), which is subsequently cleaved off to produce the mature form (aa 28-5654). MUC5-AC undergoes C-, O- and N-glycosylation. O-glycosylation occurs on the second and last threonine of the threonine/serine-rich tandem repeats TTPSPVPTTSTTSA. C-mannosylation in the cysteine-rich subdomains may be required for proper folding of these regions and for export from the endoplasmic reticulum during biosynthesis. At its N- and C-termini are larger and more complex domains that are rich in cysteine and are involved in formation of the mucin polymers. These domains include sequences, including the D1, D2, D , and D3 domains at the N-terminus and the D4, C, and CK domains at the C-terminus. MUC5-AC is overexpressed in a number of carcinomas. This ZooMAb® recombinant monoclonal antibody, generated by our propriety technology, offers significantly enhanced specificity, affinity, reproducibility, and stability over conventional monoclonals. (Ref.: Pothuraju, R., et al. (2020). Mol. Cancer, 19: Article 37; Perez-Vilar, J., et al. (2004). Glycobiology. 14(4); 325-337).
We are committed to bringing you greener alternative products, which adhere to one or more of The 12 Principles of Green Chemistry.This antibody is Preservative-free, produced without the harm or sacrifice of animals and exceptionally stable to allow for ambient shipping and storage if needed and thus aligns with "Waste Prevention", "Designing Safer Chemicals" and "Design for Energy Efficiency". Click here for more information.
ZooMAb® antibodies represent an entirely new generation of recombinant monoclonal antibodies.Each ZooMAb® antibody is manufactured using our proprietary recombinant expression system, purified to homogeneity, and precisely dispensed to produce robust and highly reproducible lot-to-lot consistency. Only top-performing clones are released for use by researchers. Each antibody is validated for high specificity and affinity across multiple applications, including its most commonly used application. ZooMAb® antibodies are reliably available and ready to ship when you need them.

Immunogen

A synthetic peptide of human MUC5AC tandem repeats.

Application

Quality Control Testing

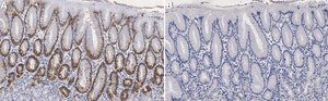
Evaluated by Immunohistochemistry (Paraffin) in human stomach tissue sections.

Immunohistochemistry (Paraffin) Analysis: A 1:100 dilution of this antibody detected MUC5AC in human stomach tissue sections.

Tested Applications

Immunocytochemistry Analysis: A 1:100 dilution from a representative lot detected MUC5AC in A549 cells.

Flow Cytometry Analysis: 1 μg from a representative lot detected MUC5AC in one million A549 cells.

Immunofluorescence Analysis: A 1:100 dilution from a representative lot detected MUC5AC in human small intestine and differentiated duodenum intestinal organoid tissue sections.

Western Blotting Analysis: A 1:1,000 dilution from a representative lot detected MUC5AC in lysates from mouse stomach tissue and A549 cells.

Note: Actual optimal working dilutions must be determined by end user as specimens, and experimental conditions may vary with the end user.

Biochem/physiol Actions

Clone CLH2 is a ZooMAb® Mouse recombinant monoclonal antibody that specifically detects Mucin 5AC (MUC5AC).

Physical form

Purified recombinant mouse monoclonal antibody IgG, lyophilized in PBS with 5% Trehalose, normal appearance a coarse or translucent resin. The PBS/trehalose components in the ZooMAb formulation can have the appearance of a semi-solid (bead like gel) after lyophilization. This is a normal phenomenon. Please follow the recommended reconstitution procedure in the data sheet to dissolve the semi-solid, bead-like, gel-appearing material. The resulting antibody solution is completely stable and functional as proven by full functional testing. Contains no biocide or preservatives, such as azide, or any animal by-products. Larger pack sizes provided as multiples of 25 μL.

Preparation Note

Recommend storage of lyophilized product at 2-8°C; Before reconstitution, micro-centrifuge vials briefly to spin down material to bottom of the vial; Reconstitute each vial by adding 25 μL of filtered lab grade water or PBS; Reconstituted antibodies can be stored at 2-8°C, or -20°C for long term storage. Avoid repeated freeze-thaws.
Reconstitute lyophilized antibody pellet with 25μL of ultrapure water or Phosphate Buffered Saline (PBS). Please refer to our reconstitution protocol and the specific application guidance on the suggested starting dilutions and sample type.

Legal Information

ZooMAb is a registered trademark of Merck KGaA, Darmstadt, Germany

Disclaimer

Unless otherwise stated in our catalog or other company documentation accompanying the product(s), our products are intended for research use only and are not to be used for any other purpose, which includes but is not limited to, unauthorized commercial uses, in vitro diagnostic uses, ex vivo or in vivo therapeutic uses or any type of consumption or application to humans or animals.

Not finding the right product?  

Try our Product Selector Tool.

Storage Class

11 - Combustible Solids

wgk

WGK 1

flash_point_f

Not applicable

flash_point_c

Not applicable

Regulatory Information

常规特殊物品
This item has

Choose from one of the most recent versions:

Certificates of Analysis (COA)

Lot/Batch Number

Don't see the Right Version?

If you require a particular version, you can look up a specific certificate by the Lot or Batch number.

Already Own This Product?

Find documentation for the products that you have recently purchased in the Document Library.

Visit the Document Library

Our team of scientists has experience in all areas of research including Life Science, Material Science, Chemical Synthesis, Chromatography, Analytical and many others.

Contact Technical Service