Skip to Content
Merck
CN

ZMS1110

Anti-Adenovirus Antibody, clone 20/11 ZooMAb® Mouse Monoclonal

greener alternative

recombinant, expressed in HEK 293 cells

Sign In to View Organizational & Contract Pricing.

Select a Size


About This Item

NACRES:
NA.43
UNSPSC Code:
12352203
Conjugate:
unconjugated
Clone:
20/11, recombinant monoclonal
Application:
FACS, ICC, IHC (p)
Citations:
-
Technical Service
Need help? Our team of experienced scientists is here for you.
Let Us Assist
Technical Service
Need help? Our team of experienced scientists is here for you.
Let Us Assist

biological source

mouse

recombinant

expressed in HEK 293 cells

conjugate

unconjugated

antibody form

purified antibody

antibody product type

primary antibodies

clone

20/11, recombinant monoclonal

product line

ZooMAb® learn more

form

lyophilized

purified by

using protein G

species reactivity

adenovirus-infected cells

packaging

antibody small pack of 25 μL

greener alternative product characteristics

Waste Prevention
Designing Safer Chemicals
Design for Energy Efficiency
Learn more about the Principles of Green Chemistry.

enhanced validation

recombinant expression
Learn more about Antibody Enhanced Validation

sustainability

Greener Alternative Product

technique(s)

flow cytometry: suitable, immunocytochemistry: suitable, immunohistochemistry (formalin-fixed, paraffin-embedded sections): suitable

isotype

IgG1κ

epitope sequence

Unknown

Protein ID accession no.

UniProt accession no.

greener alternative category

shipped in

ambient

storage temp.

2-8°C

target post-translational modification

unmodified

Quality Level

General description

Adenoviruses are large (65-80 nm), non-enveloped viruses containing a dsDNA genome. They typically cause mild infections involving the upper or lower respiratory tract, gastrointestinal (GI) tract, or conjunctiva. However, rare manifestations of adenovirus infections may include hemorrhagic cystitis, hepatitis, hemorrhagic colitis, pancreatitis, nephritis, or encephalitis. They are also used as gene delivery vectors. They also have the ability to trigger cell proliferation by interfering with host cellular anti-oncogenes. Human adenovirus type 3 (HAdV-3) is one of the most prevalent genotypes among adenoviruses responsible for acute respiratory infections. The principal component of adenovirus is the homotrimeric hexon and there are 240 on the faces and edges of the capsid with the pentons consisting of the penton bases and extended fibers on the 12 fivefold apices. The size of the hexon molecule can vary with the serotype. The base of each hexon molecule has one loop and two eight-stranded jelly rolls that are important for interacting with neighboring capsomeres. Other so-called minor components: IIIa, VI, VIII and IX are also associated with the capsid. There are six other structural components situated in the virus core, of which five are associated with the double stranded DNA genome and the remaining component is the 23K virion protease that plays a vital role in the assembly of the virion. This ZooMAbZooMAb® recombinant monoclonal antibody, generated by our propriety technology, offers significantly enhanced specificity, affinity, reproducibility, and stability over conventional monoclonals. (Ref.: Duan, Y., et al. (2021). Front. Microbiol. 12; 688661).
We are committed to bringing you greener alternative products, which adhere to one or more of The 12 Principles of Green Chemistry.This antibody is Preservative-free, produced without the harm or sacrifice of animals and exceptionally stable to allow for ambient shipping and storage if needed and thus aligns with "Waste Prevention", "Designing Safer Chemicals" and "Design for Energy Efficiency". Click here for more information.
ZooMAb® antibodies represent an entirely new generation of recombinant monoclonal antibodies.Each ZooMAb® antibody is manufactured using our proprietary recombinant expression system, purified to homogeneity, and precisely dispensed to produce robust and highly reproducible lot-to-lot consistency. Only top-performing clones are released for use by researchers. Each antibody is validated for high specificity and affinity across multiple applications, including its most commonly used application. ZooMAb® antibodies are reliably available and ready to ship when you need them.

Immunogen

Adenovirus type 3.

Application

Quality Control Testing

Evaluated by Western Blotting in A549 cells infected with Adenovirus.

Immunocytochemistry Analysis (ICC): A 1:100 dilution of this antibody detected Adenovirus in A549 cells infected with Adenovirus type 3.

Tested applications

Flow Cytometry Analysis: 0.1 μg from a representative lot detected Adenovirus in one million A549 cells infected with adenovirus.

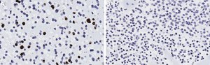
Immunohistochemistry (Paraffin) Analysis: A 1:1,000 dilution from a representative lot detected Adenovirus in Formalin Fixed Paraffin Embedded (FFPE) section of a pellet of Adenovirus infected A549 cells.

Note: Actual optimal working dilutions must be determined by end user as specimens, and experimental conditions may vary with the end user

Biochem/physiol Actions

Clone 20/11 is a ZooMAb® mouse recombinant monoclonal antibody that detects Adenovirus infected human cells.

Physical form

Purified recombinant mouse monoclonal antibody IgG, lyophilized in PBS with 5% Trehalose, normal appearance a coarse or translucent resin. The PBS/trehalose components in the ZooMAb formulation can have the appearance of a semi-solid (bead like gel) after lyophilization. This is a normal phenomenon. Please follow the recommended reconstitution procedure in the data sheet to dissolve the semi-solid, bead-like, gel-appearing material. The resulting antibody solution is completely stable and functional as proven by full functional testing. Contains no biocide or preservatives, such as azide, or any animal by-products. Larger pack sizes provided as multiples of 25 μL.

Preparation Note

Recommend storage of lyophilized product at 2-8°C; Before reconstitution, micro-centrifuge vials briefly to spin down material to bottom of the vial; Reconstitute each vial by adding 25 μL of filtered lab grade water or PBS; Reconstituted antibodies can be stored at 2-8°C, or -20°C for long term storage. Avoid repeated freeze-thaws.
Reconstitute lyophilized antibody pellet with 25μL of ultrapure water or Phosphate Buffered Saline (PBS). Please refer to our reconstitution protocol and the specific application guidance on the suggested starting dilutions and sample type.

Legal Information

ZooMAb is a registered trademark of Merck KGaA, Darmstadt, Germany

Disclaimer

Unless otherwise stated in our catalog or other company documentation accompanying the product(s), our products are intended for research use only and are not to be used for any other purpose, which includes but is not limited to, unauthorized commercial uses, in vitro diagnostic uses, ex vivo or in vivo therapeutic uses or any type of consumption or application to humans or animals.

Not finding the right product?  

Try our Product Selector Tool.

Storage Class

13 - Non Combustible Solids

wgk

WGK 1

flash_point_f

Not applicable

flash_point_c

Not applicable

Regulatory Information

常规特殊物品
常规特殊物品
This item has

Choose from one of the most recent versions:

Certificates of Analysis (COA)

Lot/Batch Number

Don't see the Right Version?

If you require a particular version, you can look up a specific certificate by the Lot or Batch number.

Already Own This Product?

Find documentation for the products that you have recently purchased in the Document Library.

Visit the Document Library

Our team of scientists has experience in all areas of research including Life Science, Material Science, Chemical Synthesis, Chromatography, Analytical and many others.

Contact Technical Service