Skip to Content
Merck
CN

ZMS1073

Anti-Calretinin Antibody, clone 6B8.2 ZooMAb® Mouse Monoclonal

greener alternative

recombinant, expressed in HEK 293 cells

Sign In to View Organizational & Contract Pricing.

Select a Size


About This Item

NACRES:
NA.43
UNSPSC Code:
12352203
Conjugate:
unconjugated
Clone:
6B8.2, recombinant monoclonal
Application:
ICC, IF, IHC (p), WB
Citations:
-
Technical Service
Need help? Our team of experienced scientists is here for you.
Let Us Assist
Technical Service
Need help? Our team of experienced scientists is here for you.
Let Us Assist

biological source

mouse

recombinant

expressed in HEK 293 cells

conjugate

unconjugated

antibody form

purified antibody

antibody product type

primary antibodies

clone

6B8.2, recombinant monoclonal

product line

ZooMAb® learn more

form

lyophilized

mol wt

calculated mol wt 31.41 kDa, observed mol wt ~31 kDa

species reactivity

rat, mouse, human

packaging

antibody small pack of 25 μL

greener alternative product characteristics

Waste Prevention
Designing Safer Chemicals
Design for Energy Efficiency
Learn more about the Principles of Green Chemistry.

enhanced validation

recombinant expression
Learn more about Antibody Enhanced Validation

sustainability

Greener Alternative Product

technique(s)

immunocytochemistry: suitable, immunofluorescence: suitable, immunohistochemistry (formalin-fixed, paraffin-embedded sections): suitable, western blot: suitable

isotype

IgG

epitope sequence

Unknown

UniProt accession no.

greener alternative category

shipped in

ambient

storage temp.

2-8°C

target post-translational modification

unmodified

Quality Level

General description

Calretinin (UniProt: P47728; also known as CR) is encoded by the Calb2 gene (Gene ID: 117059) in rat. Calretinin belongs to the calbindin protein family and acts as a calcium-binding protein. It is expressed in both central and peripheral nervous system and is found abundantly in auditory neurons. Overexpression of calretinin has been reported in most types of malignant mesothelioma. It is involved in regulating cytosolic calcium ion concentrations and has multiple calcium-binding domains known as EF-hands. Its expression is shown to be regulated at the level of transcription by nuclear respiratory factor 1 (NRF-1) and E2F2 transcription factors. In rat striatum calretinin neurons form a distinct subset of medium-sized, aspiny, GABAergic interneurons. Calretinin can also serve as an important differential diagnostic tool for cystic and solid ameloblastic tumors. This ZooMAb® recombinant monoclonal antibody, generated by our propriety technology, offers significantly enhanced specificity, affinity, reproducibility, and stability over conventional monoclonals.
We are committed to bringing you greener alternative products, which adhere to one or more of The 12 Principles of Green Chemistry.This antibody is Preservative-free, produced without the harm or sacrifice of animals and exceptionally stable to allow for ambient shipping and storage if needed and thus aligns with "Waste Prevention", "Designing Safer Chemicals" and "Design for Energy Efficiency". Click here for more information.
ZooMAb® antibodies represent an entirely new generation of recombinant monoclonal antibodies.

Each ZooMAb® antibody is manufactured using our proprietary recombinant expression system, purified to homogeneity, and precisely dispensed to produce robust and highly reproducible lot-to-lot consistency. Only top-performing clones are released for use by researchers. Each antibody is validated for high specificity and affinity across multiple applications, including its most commonly used application. ZooMAb® antibodies are reliably available and ready to ship when you need them.

Learn more about ZooMAb here.

Immunogen

Recombinant rat Calretinin.

Application

Quality Control Testing

Evaluated by Western Blotting in Mouse brain tissue lysate.

Western Blotting Analysis: A 1:1,000 dilution of this antibody detected Calretinin in Mouse brain tissue lysate.

Tested applications

Western Blotting Analysis: A 1:1,000 dilution from a representative lot detected Calretinin in lysates from rat brain, human brain, and U2OS cells.

Immunofluorescence Analysis: A 1:100 dilution from a representative lot detected Calretinin in rat brain tissue sections.

Immunocytochemistry Analysis: A 1:100 dilution from a representative lot detected Calretinin in E18 Rat cortical cells.

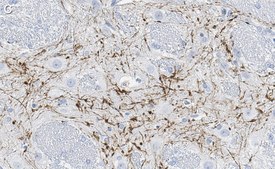
Immunohistochemistry (Paraffin) Analysis: A 1:100 dilution from a representative lot detected Calretinin in rat brain tissue sections.

Note: Actual optimal working dilutions must be determined by end user as specimens, and experimental conditions may vary with the end user
Anti-Calretinin, clone 6B8.2 ZooMAb®, Cat. No. ZMS1073, is a recombinant Mouse monoclonal antibody that detects Calretinin and is tested for use in Immunocytochemistry, Immunofluorescence, Immunohistochemistry (Paraffin), and Western Blotting.

Biochem/physiol Actions

Clone 6B8.2 is a ZooMAb® mouse recombinant monoclonal antibody that specifically detects Calretinin.

Physical form

Purified recombinant mouse monoclonal antibody IgG, lyophilized in PBS, 5% Trehalose, normal appearance a coarse or translucent resin. The PBS/trehalose components in the ZooMAb formulation can have the appearance of a semi-solid (bead like gel) after lyophilization. This is a normal phenomenon. Please follow the recommended reconstitution procedure in the data sheet to dissolve the semi-solid, bead-like, gel-appearing material. The resulting antibody solution is completely stable and functional as proven by full functional testing. Contains no biocide or preservatives, such as azide, or any animal by-products. Larger pack sizes provided as multiples of 25 μL.

Preparation Note

Recommend storage of lyophilized product at 2-8°C; Before reconstitution, micro-centrifuge vials briefly to spin down material to bottom of the vial; Reconstitute each vial by adding 25 μL of filtered lab grade water or PBS; Reconstituted antibodies can be stored at 2-8°C, or -20°C for long term storage. Avoid repeated freeze-thaws.
Reconstitute lyophilized antibody pellet with 25μL of ultrapure water or Phosphate Buffered Saline (PBS). Please refer to our reconstitution protocol and the specific application guidance on the suggested starting dilutions and sample type.

Legal Information

ZooMAb is a registered trademark of Merck KGaA, Darmstadt, Germany

Disclaimer

Unless otherwise stated in our catalog or other company documentation accompanying the product(s), our products are intended for research use only and are not to be used for any other purpose, which includes but is not limited to, unauthorized commercial uses, in vitro diagnostic uses, ex vivo or in vivo therapeutic uses or any type of consumption or application to humans or animals.

Not finding the right product?  

Try our Product Selector Tool.

Storage Class

11 - Combustible Solids

wgk

WGK 1

flash_point_f

Not applicable

flash_point_c

Not applicable

Regulatory Information

常规特殊物品
This item has

Choose from one of the most recent versions:

Certificates of Analysis (COA)

Lot/Batch Number

Don't see the Right Version?

If you require a particular version, you can look up a specific certificate by the Lot or Batch number.

Already Own This Product?

Find documentation for the products that you have recently purchased in the Document Library.

Visit the Document Library

Our team of scientists has experience in all areas of research including Life Science, Material Science, Chemical Synthesis, Chromatography, Analytical and many others.

Contact Technical Service