Skip to Content
Merck
CN

W3641

Anti-WSTF (N-Terminal) antibody produced in rabbit

affinity isolated antibody, buffered aqueous solution

Synonym(s):

Anti-BAZ1B, Anti-Bromdomain Adjacent to Zn Finger Domain 1B, Anti-Williams Syndrome Transcription Factor, Anti-Williams-Beuren Syndrome Chromosome Region 9

Sign In to View Organizational & Contract Pricing.

Select a Size


About This Item

UNSPSC Code:
12352203
NACRES:
NA.41
MDL number:
Conjugate:
unconjugated
Clone:
polyclonal
Application:
IP, WB
Citations:
5
Technical Service
Need help? Our team of experienced scientists is here for you.
Let Us Assist
Technical Service
Need help? Our team of experienced scientists is here for you.
Let Us Assist

biological source

rabbit

conjugate

unconjugated

antibody form

affinity isolated antibody

antibody product type

primary antibodies

clone

polyclonal

form

buffered aqueous solution

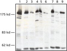
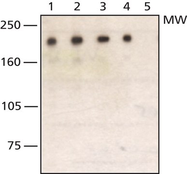
mol wt

antigen 175 kDa

species reactivity

human

technique(s)

immunoprecipitation (IP): 5-10 μg using from lysates of HEK293-T cells, western blot: 0.5-1 μg/mL using extracts of MCF-7 breast cancer cell line

UniProt accession no.

shipped in

dry ice

storage temp.

−20°C

target post-translational modification

unmodified

Gene Information

human ... BAZ1B(9031)
mouse ... Baz1b(22385)
rat ... Baz1b(368002)

General description

The gene encoding Williams syndrome transcription factor (WSTF)/bromodomain adjacent to zinc finger domain 1B (BAZ1B), contains 20 exons extended over a length of 80kb on genomic DNA. The gene is localized on human chromosome 7q11.23. The encoded protein is composed of 1425 amino acids and is widely expressed in both adult and fetal tissues. WSTF contains one PHD-type zinc finger motif and a bromo domain.

Immunogen

synthetic peptide corresponding to amino acids 2-20 of human WSTF, conjugated to KLH via a C-terminal added cysteine residue. The sequence is conserved in human, mouse, and rat.

Application

Anti-WSTF (N-Terminal) antibody produced in rabbit has been used in sodium dodecyl sulfate-polyacrylamide gel electrophoresis (SDS-PAGE).

Biochem/physiol Actions

Williams syndrome transcription factor (WSTF) acts as a key component of WICH (WSTF-ISWI chromatin remodeling complex) and the WINAC (WSTF including the nucleosome assembly complex). WICH and WINAC complexes plays a vital role in replication of heterochromatin and vitamin D-mediated transcription and replication, respectively. In addition, WSTF is also involved in neurodevelopment. Hemizygous deletion of the gene leads to a neurodevelopmental disorder, Williams syndrome (WS).

Physical form

Solution in 0.01 M phosphate buffered saline, pH 7.4, and 15 mM sodium azide.

Disclaimer

Unless otherwise stated in our catalog or other company documentation accompanying the product(s), our products are intended for research use only and are not to be used for any other purpose, which includes but is not limited to, unauthorized commercial uses, in vitro diagnostic uses, ex vivo or in vivo therapeutic uses or any type of consumption or application to humans or animals.

Not finding the right product?  

Try our Product Selector Tool.

Storage Class

10 - Combustible liquids

wgk

WGK 3

flash_point_f

Not applicable

flash_point_c

Not applicable

ppe

Eyeshields, Gloves, multi-purpose combination respirator cartridge (US)

Regulatory Information

新产品
This item has

Choose from one of the most recent versions:

Certificates of Analysis (COA)

Lot/Batch Number

Don't see the Right Version?

If you require a particular version, you can look up a specific certificate by the Lot or Batch number.

Already Own This Product?

Find documentation for the products that you have recently purchased in the Document Library.

Visit the Document Library

A Novel Human Gene,WSTF,Is Deleted in Williams Syndrome
Lu X
Genomics, 54, 241-249 (1998)
The WSTF-SNF2h Chromatin Remodeling Complex Interacts with Several Nuclear Proteins in Transcription
Cavellan E
The Journal of Biological Chemistry, 281, 16264-16271 (2006)
Haploinsufficiency of BAZ1B contributes to Williams syndrome through transcriptional dysregulation of neurodevelopmental pathways
Lalli MA
Human Molecular Genetics, 25, 1294-1306 (2016)
Aleksandra Grochowska et al.
American journal of cancer research, 12(10), 4751-4763 (2022-11-17)
Bromodomain Adjacent to Zinc Finger Domain 1B (BAZ1B) is involved in multiple nuclear processes, and its role in tumorigenesis is emerging. However, the function of BAZ1B in colorectal cancer (CRC) remains largely unexplored. High-density tissue microarrays comprising 100 pairs of
Stephanie A Morris et al.
Nature structural & molecular biology, 21(1), 73-81 (2013-12-10)
ATP-dependent chromatin remodeling is an essential process required for the dynamic organization of chromatin structure. Here we describe the genome-wide location and activity of three remodeler proteins with diverse physiological functions in the mouse genome: Brg1, Chd4 and Snf2h. The

Our team of scientists has experience in all areas of research including Life Science, Material Science, Chemical Synthesis, Chromatography, Analytical and many others.

Contact Technical Service