Skip to Content
Merck
CN

SAB6012451

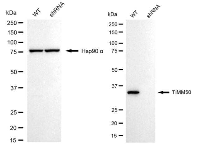
KD-Validated Anti TIMM50 Antibody, clone 24GB2670, Rabbit Monoclonal

greener alternative

clone 24GB2670, recombinant rabbit monoclonal, expressed in HEK293 cells

Synonym(s):

MGCA9, TIM50, TIM50L

Sign In to View Organizational & Contract Pricing.

Select a Size


About This Item

UNSPSC Code:
12352203
Conjugate:
unconjugated
Clone:
24GB2670, recombinant monoclonal
Application:
FACS, WB
Citations:
-
Technical Service
Need help? Our team of experienced scientists is here for you.
Let Us Assist
Technical Service
Need help? Our team of experienced scientists is here for you.
Let Us Assist

biological source

rabbit (Monoclonal)

recombinant

expressed in HEK 293 cells

conjugate

unconjugated

antibody form

affinity isolated antibody

antibody product type

primary antibodies

clone

24GB2670, recombinant monoclonal

form

buffered aqueous glycerol solution

mol wt

40 kDa

species reactivity

human

packaging

vial of 1.5 mL

enhanced validation

recombinant expression
Learn more about Antibody Enhanced Validation

Quality Level

Gene Information

human ... TIMM50(92609)

sustainability

Greener Alternative Product

concentration

0.575 mg/ml

technique(s)

flow cytometry: 1:2000, western blot: 1:1,000-1:5,000

isotype

IgG

Ensembl | human accession no.

NCBI accession no.

UniProt accession no.

greener alternative category

shipped in

wet ice

storage temp.

−20°C

target post-translational modification

unmodified

General description

This gene encodes a subunit of the TIM23 inner mitochondrial membrane translocase complex. The encoded protein functions as the receptor subunit that recognizes the mitochondrial targeting signal, or presequence, on protein cargo that is destined for the mitochondrial inner membrane and matrix. This protein may also play a role in maintaining the membrane permeability barrier, and knockdown of this gene in human cells results in the release of cytochrome c and apoptosis. [provided by RefSeq, Jul 2016]
We are committed to bringing you Greener Alternative Products. This product is a Design for Sustainability (DfS) developed product, which belongs to one of the four categories of greener alternatives. Click here to view its DfS scorecard.

Immunogen

A synthesized peptide corresponding to a sequence within amino acids 25-77 of human TIMM50 [NP_001001563.2].

Physical form

Solution in PBS (pH 7.4) containing 50% glycerol, and 0.02% sodium azide.

Other Notes

Gently mix before use. Optimal concentrations and conditions for each application should be determined by the user.

Not finding the right product?  

Try our Product Selector Tool.

Storage Class

10 - Combustible liquids

flash_point_f

572.0 °F

flash_point_c

300 °C

Regulatory Information

新产品
This item has

Choose from one of the most recent versions:

Certificates of Analysis (COA)

Lot/Batch Number

It looks like we've run into a problem, but you can still download Certificates of Analysis from our Documents section.

If you need assistance, please contact Customer Support

Already Own This Product?

Find documentation for the products that you have recently purchased in the Document Library.

Visit the Document Library

Related Content

Our team of scientists has experience in all areas of research including Life Science, Material Science, Chemical Synthesis, Chromatography, Analytical and many others.

Contact Technical Service