Skip to Content
Merck
CN

SAB5702706

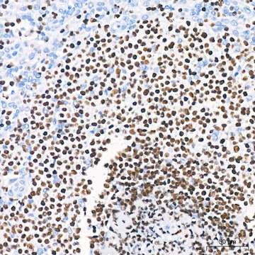
Anti-IKZF3 Antibody, clone 4U7F9, Rabbit Monoclonal

Synonym(s):

AIO, AIOLOS, ZNFN1A3

Sign In to View Organizational & Contract Pricing.

Select a Size


About This Item

NACRES:
NA.46
UNSPSC Code:
12352203
Species reactivity:
human, rat
Conjugate:
unconjugated
Application:
IF, IHC, IP, WB
Citations:
-
Technical Service
Need help? Our team of experienced scientists is here for you.
Let Us Assist
Technical Service
Need help? Our team of experienced scientists is here for you.
Let Us Assist

species reactivity

human, rat

biological source

rabbit

conjugate

unconjugated

material

colorless

clone

4U7F9, monoclonal

form

liquid

mol wt

65 kDa

concentration

0.5 mg/mL

technique(s)

immunofluorescence: 1:50 - 1:200, immunohistochemistry: 1:50 - 1:200, immunoprecipitation (IP): 1:50 - 1:200, western blot: 1:500 - 1:2000

color

colorless

isotype

IgG

immunogen sequence

IYQQNHMVLSRARNGMPLLKEVPRSYELLKPPPICPRDSVKVINKEGEVMDVYRCDHCRVLFLDYVMFTIHMGCHGFRDPFECNMCGYRSHDRYEFSSHIARGEHRALLK

UniProt accession no.

shipped in

wet ice

storage temp.

−20°C

target post-translational modification

unmodified

Quality Level

Gene Information

human ... IKZF3(22806)

General description

This gene encodes a member of the Ikaros family of zinc-finger proteins. Three members of this protein family (Ikaros, Aiolos and Helios) are hematopoietic-specific transcription factors involved in the regulation of lymphocyte development. This gene product is a transcription factor that is important in the regulation of B lymphocyte proliferation and differentiation. Both Ikaros and Aiolos can participate in chromatin remodeling. Regulation of gene expression in B lymphocytes by Aiolos is complex as it appears to require the sequential formation of Ikaros homodimers, Ikaros/Aiolos heterodimers, and Aiolos homodimers. Several alternative transcripts encoding different isoforms have been described, as well as some non-protein coding variants. [provided by RefSeq, Apr 2012]

Immunogen

PBS with 0.02% sodium azide,0.05% BSA,50% glycerol,pH7.3.
Recombinant fusion protein containing a sequence corresponding to amino acids 400-509 of human IKZF3 (Q9UKT9).

Application

WB, IHC, IF/ICC, IP

Storage Class

10 - Combustible liquids

wgk

WGK 1

Regulatory Information

常规特殊物品
This item has

Choose from one of the most recent versions:

Certificates of Analysis (COA)

Lot/Batch Number

It looks like we've run into a problem, but you can still download Certificates of Analysis from our Documents section.

If you need assistance, please contact Customer Support

Already Own This Product?

Find documentation for the products that you have recently purchased in the Document Library.

Visit the Document Library

Our team of scientists has experience in all areas of research including Life Science, Material Science, Chemical Synthesis, Chromatography, Analytical and many others.

Contact Technical Service