Sign In to View Organizational & Contract Pricing.
Select a Size
About This Item
NACRES:
NA.46
UNSPSC Code:
12352203
Species reactivity:
human, rat
Conjugate:
unconjugated
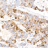
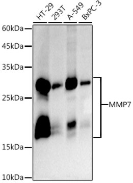
Application:
IHC, WB
Citations:
-
species reactivity
human, rat
biological source
rabbit
conjugate
unconjugated
material
colorless
clone
9D8S10, monoclonal
form
liquid
concentration
4.84 mg/mL
technique(s)
immunohistochemistry: 1:50 - 1:200, western blot: 1:500 - 1:2000
color
colorless
isotype
IgG
UniProt accession no.
shipped in
wet ice
storage temp.
−20°C
target post-translational modification
unmodified
Quality Level
Gene Information
human ... MMP7(4316)
General description
This gene encodes a member of the peptidase M10 family of matrix metalloproteinases (MMPs). Proteins in this family are involved in the breakdown of extracellular matrix in normal physiological processes, such as embryonic development, reproduction, and tissue remodeling, as well as in disease processes, such as arthritis and metastasis. The encoded preproprotein is proteolytically processed to generate the mature protease. This secreted protease breaks down proteoglycans, fibronectin, elastin and casein and differs from most MMP family members in that it lacks a conserved C-terminal hemopexin domain. The enzyme is involved in wound healing, and studies in mice suggest that it regulates the activity of defensins in intestinal mucosa. The gene is part of a cluster of MMP genes on chromosome 11. This gene exhibits elevated expression levels in multiple human cancers.
Immunogen
PBS with 0.05% proclin300,0.05% BSA,50% glycerol,pH7.3.
Recombinant protein of human MMP7.
Application
WB, IHC
signalword
Warning
hcodes
Hazard Classifications
Aquatic Chronic 2 - Skin Sens. 1
Storage Class
10 - Combustible liquids
Regulatory Information
常规特殊物品
低风险生物材料
This item has
Choose from one of the most recent versions:
Already Own This Product?
Find documentation for the products that you have recently purchased in the Document Library.
Our team of scientists has experience in all areas of research including Life Science, Material Science, Chemical Synthesis, Chromatography, Analytical and many others.
Contact Technical Service
