Skip to Content
Merck
CN

SAB5701988

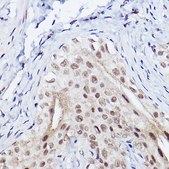
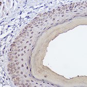
Anti-SSCA1/SerpinB3 Antibody, clone 6J3U6, Rabbit Monoclonal

Synonym(s):

SERPINB3, HsT1196, SCC, SCCA-1, SCCA-PD, SCCA1, SSCA1, T4-A, serpin B3

Sign In to View Organizational & Contract Pricing.

Select a Size


About This Item

NACRES:
NA.46
UNSPSC Code:
12352203
Species reactivity:
human, rat
Conjugate:
unconjugated
Application:
IHC
Citations:
-
Technical Service
Need help? Our team of experienced scientists is here for you.
Let Us Assist
Technical Service
Need help? Our team of experienced scientists is here for you.
Let Us Assist

species reactivity

human, rat

biological source

rabbit

conjugate

unconjugated

material

colorless

clone

6J3U6, monoclonal

form

liquid

concentration

2 mg/mL

technique(s)

immunohistochemistry: 1:50 - 1:200

color

colorless

isotype

IgG

immunogen sequence

TMGMVDIFNGDADLSGMTGSRGLVLSGVLHKAFVEVTEEGAEAAAATAVVGFGSSPTSTNEEFHCNHPFLFFIRQNKTNSILFYGRFSSP

UniProt accession no.

shipped in

wet ice

storage temp.

−20°C

target post-translational modification

unmodified

Quality Level

Gene Information

human ... SerpinB3(6317)

Related Categories

General description

Serpin B3, also known as squamous cell carcinoma antigen-1 (SCCA-1), is a member of the serpin superfamily of serine protease inhibitors. Serpin B3 belongs to the subgroup ovalbumin-related serpins which are involved in the regulation of apoptosis, inflammation, angiogenesis and embryogenesis. It may act as a papain-like cysteine protease inhibitor to modulate the host immune response against tumor cells. It also functions as an inhibitor of UV-induced apoptosis via suppression of the activity of c-Jun NH(2)-terminal kinase (JNK1).

Immunogen

PBS with 0.02% sodium azide,0.05% BSA,50% glycerol,pH7.3.
Recombinant fusion protein containing a sequence corresponding to amino acids 301-390 of human SSCA1/SerpinB3 (P29508).

Application

IHC

Storage Class

10 - Combustible liquids

wgk

WGK 1

Regulatory Information

常规特殊物品
This item has

Choose from one of the most recent versions:

Certificates of Analysis (COA)

Lot/Batch Number

It looks like we've run into a problem, but you can still download Certificates of Analysis from our Documents section.

If you need assistance, please contact Customer Support

Already Own This Product?

Find documentation for the products that you have recently purchased in the Document Library.

Visit the Document Library

Our team of scientists has experience in all areas of research including Life Science, Material Science, Chemical Synthesis, Chromatography, Analytical and many others.

Contact Technical Service