Skip to Content
Merck
CN

SAB5701979

Anti-GTF2F2 Antibody, clone 3T7Q9, Rabbit Monoclonal

Synonym(s):

GTF2F2, BTF4, RAP30, TF2F2, TFIIF, general transcription factor IIF subunit 2

Sign In to View Organizational & Contract Pricing.

Select a Size


About This Item

NACRES:
NA.46
UNSPSC Code:
12352203
Species reactivity:
rat, human
Conjugate:
unconjugated
Application:
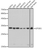
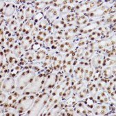
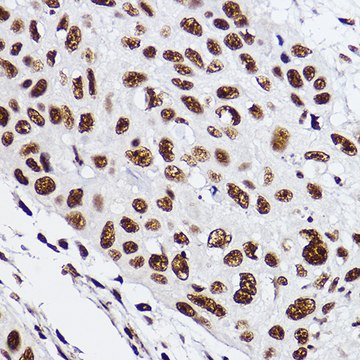
IHC, WB
Citations:
-
Technical Service
Need help? Our team of experienced scientists is here for you.
Let Us Assist
Technical Service
Need help? Our team of experienced scientists is here for you.
Let Us Assist

species reactivity

rat, human

biological source

rabbit

conjugate

unconjugated

material

colorless

clone

3T7Q9, monoclonal

form

liquid

mol wt

30 kDa

concentration

1.50 mg/mL

technique(s)

immunohistochemistry: 1:50 - 1:200, western blot: 1:500 - 1:2000

color

colorless

isotype

IgG

immunogen sequence

MAERGELDLTGAKQNTGVWLVKVPKYLSQQWAKASGRGEVGKLRIAKTQGRTEVSFTLNEDLANIHDIGGKPASVSAPREHPFVLQSVGGQTLTVFTESS

UniProt accession no.

shipped in

wet ice

storage temp.

−20°C

target post-translational modification

unmodified

Quality Level

Gene Information

human ... GTF2F2(2963)

General description

TFIIF is a general transcription initiation factor that binds to RNA polymerase II and helps to recruit it to the initiation complex in collaboration with TFIIB. It promotes transcription elongation. This subunit shows ATP-dependent DNA-helicase activity.

Immunogen

A synthetic peptide corresponding to a sequence within amino acids 1-100 of human GTF2F2 (P13984).
PBS with 0.02% sodium azide,0.05% BSA,50% glycerol,pH7.3.

Application

WB, IHC

Storage Class

10 - Combustible liquids

wgk

WGK 1

Regulatory Information

常规特殊物品
This item has

Choose from one of the most recent versions:

Certificates of Analysis (COA)

Lot/Batch Number

It looks like we've run into a problem, but you can still download Certificates of Analysis from our Documents section.

If you need assistance, please contact Customer Support

Already Own This Product?

Find documentation for the products that you have recently purchased in the Document Library.

Visit the Document Library

Our team of scientists has experience in all areas of research including Life Science, Material Science, Chemical Synthesis, Chromatography, Analytical and many others.

Contact Technical Service