Skip to Content
Merck
CN

SAB5701320

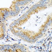
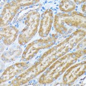
Anti-COPA antibody produced in rabbit

Sign In to View Organizational & Contract Pricing.

Select a Size


About This Item

NACRES:
NA.41
UNSPSC Code:
12352203
Conjugate:
unconjugated
Clone:
monoclonal
Application:
IHC, WB
Citations:
-
Technical Service
Need help? Our team of experienced scientists is here for you.
Let Us Assist
Technical Service
Need help? Our team of experienced scientists is here for you.
Let Us Assist

biological source

rabbit

conjugate

unconjugated

antibody product type

primary antibodies

clone

monoclonal

form

liquid

species reactivity

mouse, rat, human

concentration

0.25 mg/mL

technique(s)

immunohistochemistry: 1:50-1:200, western blot: 1:500-1:2000

UniProt accession no.

shipped in

wet ice

storage temp.

−20°C

target post-translational modification

unmodified

Quality Level

Gene Information

human ... COPA(1314)

Looking for similar products? Visit Product Comparison Guide

General description

In eukaryotic cells, protein transport between the endoplasmic reticulum and Golgi compartments is mediated in part by non-clathrin-coated vesicular coat proteins (COPs). Seven coat proteins have been identified, and they represent subunits of a complex known as coatomer. The subunits are designated alpha-COP, beta-COP, beta-prime-COP, gamma-COP, delta-COP, epsilon-COP, and zeta-COP. The alpha-COP, encoded by COPA, shares high sequence similarity with RET1P, the alpha subunit of the coatomer complex in yeast. Also, the N-terminal 25 amino acids of alpha-COP encode the bioactive peptide, xenin, which stimulates exocrine pancreatic secretion and may act as a gastrointestinal hormone. Alternative splicing results in multiple splice forms encoding distinct isoforms. [provided by RefSeq, Jul 2008]

Immunogen

A synthesized peptide derived from human COPA

Physical form

Buffer: PBS with 0.02% sodium azide,0.05% BSA,50% glycerol,pH7.3.

Not finding the right product?  

Try our Product Selector Tool.

Storage Class

12 - Non Combustible Liquids

wgk

WGK 1

flash_point_f

Not applicable

flash_point_c

Not applicable

Regulatory Information

常规特殊物品
This item has

Choose from one of the most recent versions:

Certificates of Analysis (COA)

Lot/Batch Number

Don't see the Right Version?

If you require a particular version, you can look up a specific certificate by the Lot or Batch number.

Already Own This Product?

Find documentation for the products that you have recently purchased in the Document Library.

Visit the Document Library

Our team of scientists has experience in all areas of research including Life Science, Material Science, Chemical Synthesis, Chromatography, Analytical and many others.

Contact Technical Service