Skip to Content
Merck
CN

SAB5701225

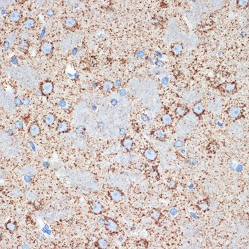
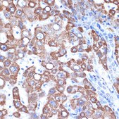
Anti-GOT2 antibody produced in rabbit

Sign In to View Organizational & Contract Pricing.

Select a Size


About This Item

NACRES:
NA.43
UNSPSC Code:
12352203
Technique(s):
immunohistochemistry: 1:50-1:200, western blot: 1:500-1:2000
Uniprot accession no.:
Application:
IHC, WB
Citations:
-
Technical Service
Need help? Our team of experienced scientists is here for you.
Let Us Assist
Technical Service
Need help? Our team of experienced scientists is here for you.
Let Us Assist

technique(s)

immunohistochemistry: 1:50-1:200, western blot: 1:500-1:2000

UniProt accession no.

shipped in

wet ice

storage temp.

−20°C

target post-translational modification

unmodified

biological source

rabbit

conjugate

unconjugated

antibody product type

primary antibodies

clone

monoclonal

form

liquid

species reactivity

rat, human, mouse

concentration

1 mg/mL

Quality Level

Gene Information

human ... GOT2(2806)

Looking for similar products? Visit Product Comparison Guide

Related Categories

General description

Glutamic-oxaloacetic transaminase is a pyridoxal phosphate-dependent enzyme which exists in cytoplasmic and inner-membrane mitochondrial forms, GOT1 and GOT2, respectively. GOT plays a role in amino acid metabolism and the urea and tricarboxylic acid cycles. The two enzymes are homodimeric and show close homology. Two transcript variants encoding different isoforms have been found for this gene.

Immunogen

Recombinant protein of human GOT2.

Physical form

Buffer: PBS with 0.02% sodium azide,50% glycerol,pH7.3.

Not finding the right product?  

Try our Product Selector Tool.

Storage Class

12 - Non Combustible Liquids

wgk

WGK 1

flash_point_f

Not applicable

flash_point_c

Not applicable

Regulatory Information

低风险生物材料
常规特殊物品
This item has

Choose from one of the most recent versions:

Certificates of Analysis (COA)

Lot/Batch Number

Don't see the Right Version?

If you require a particular version, you can look up a specific certificate by the Lot or Batch number.

Already Own This Product?

Find documentation for the products that you have recently purchased in the Document Library.

Visit the Document Library

Our team of scientists has experience in all areas of research including Life Science, Material Science, Chemical Synthesis, Chromatography, Analytical and many others.

Contact Technical Service