Skip to Content
Merck
CN

SAB5701170

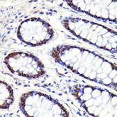
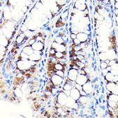
Anti-CDX2 antibody produced in rabbit

Sign In to View Organizational & Contract Pricing.

Select a Size


About This Item

NACRES:
NA.41
UNSPSC Code:
12352203
Conjugate:
unconjugated
Clone:
monoclonal
Application:
WB
Citations:
-
Technical Service
Need help? Our team of experienced scientists is here for you.
Let Us Assist
Technical Service
Need help? Our team of experienced scientists is here for you.
Let Us Assist

biological source

rabbit

conjugate

unconjugated

antibody product type

primary antibodies

clone

monoclonal

form

liquid

species reactivity

human

concentration

0.53 mg/mL

technique(s)

western blot: 1:500-1:2000

UniProt accession no.

shipped in

wet ice

storage temp.

−20°C

target post-translational modification

unmodified

Quality Level

Gene Information

human ... CDX2(1045)

Looking for similar products? Visit Product Comparison Guide

General description

This gene is a member of the caudal-related homeobox transcription factor gene family. The encoded protein is a major regulator of intestine-specific genes involved in cell growth an differentiation. This protein also plays a role in early embryonic development of the intestinal tract. Aberrant expression of this gene is associated with intestinal inflammation and tumorigenesis. [provided by RefSeq, Jan 2012]

Immunogen

A synthesized peptide derived from human CDX2

Physical form

Buffer: PBS with 0.02% sodium azide,0.05% BSA,50% glycerol,pH7.3.

Not finding the right product?  

Try our Product Selector Tool.

Storage Class

12 - Non Combustible Liquids

wgk

WGK 1

flash_point_f

Not applicable

flash_point_c

Not applicable

Regulatory Information

常规特殊物品
This item has

Choose from one of the most recent versions:

Certificates of Analysis (COA)

Lot/Batch Number

Don't see the Right Version?

If you require a particular version, you can look up a specific certificate by the Lot or Batch number.

Already Own This Product?

Find documentation for the products that you have recently purchased in the Document Library.

Visit the Document Library

Our team of scientists has experience in all areas of research including Life Science, Material Science, Chemical Synthesis, Chromatography, Analytical and many others.

Contact Technical Service