Skip to Content
Merck
CN

SAB5201906

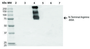
Monoclonal Anti-N-terminal Arginylation-Allophycocyanin antibody produced in mouse

clone 4A9

Sign In to View Organizational & Contract Pricing.

Select a Size


About This Item

NACRES:
NA.45
UNSPSC Code:
12352203
Conjugate:
Allophycocyanin conjugate
Clone:
4A9, monoclonal
Application:
FACS, WB
Citations:
-
Technical Service
Need help? Our team of experienced scientists is here for you.
Let Us Assist
Technical Service
Need help? Our team of experienced scientists is here for you.
Let Us Assist

biological source

mouse

conjugate

Allophycocyanin conjugate

antibody form

purified immunoglobulin

antibody product type

primary antibodies

clone

4A9, monoclonal

form

buffered aqueous solution

species reactivity

human

concentration

1.0 mg/mL

technique(s)

flow cytometry: 1:50, western blot: 1:1000

isotype

IgG1

shipped in

wet ice

storage temp.

−20°C

target post-translational modification

arginylation (N terminal Arg)

Immunogen

Synthetic N-terminal arginylated peptide conjugated to KLH

Physical form

PBS pH 7.4, 50% glyercol, 0.09% Sodium Azide

Disclaimer

Unless otherwise stated in our catalog or other company documentation accompanying the product(s), our products are intended for research use only and are not to be used for any other purpose, which includes but is not limited to, unauthorized commercial uses, in vitro diagnostic uses, ex vivo or in vivo therapeutic uses or any type of consumption or application to humans or animals.

Not finding the right product?  

Try our Product Selector Tool.

Storage Class

10 - Combustible liquids

wgk

WGK 2

Regulatory Information

新产品
This item has

Choose from one of the most recent versions:

Certificates of Analysis (COA)

Lot/Batch Number

It looks like we've run into a problem, but you can still download Certificates of Analysis from our Documents section.

If you need assistance, please contact Customer Support

Already Own This Product?

Find documentation for the products that you have recently purchased in the Document Library.

Visit the Document Library

Our team of scientists has experience in all areas of research including Life Science, Material Science, Chemical Synthesis, Chromatography, Analytical and many others.

Contact Technical Service