Skip to Content
Merck
CN

SAB4200840

Anti-Pro LC3C antibody, Mouse monoclonal

clone BTY-1, purified from hybridoma cell culture Affinity isolated antibody

Synonym(s):

Autophagy-related protein LC3 C, Autophagy-related ubiquitin-like modifier LC3 C, MAP1 light chain 3-like protein 3, MAP1A/MAP1B LC3 C, MAP1A/MAP1B light chain 3 C, Microtubule-associated protein 1 light chain 3 gamma, Microtubule-associated proteins 1A/1B light chain 3C

Sign In to View Organizational & Contract Pricing.

Select a Size


About This Item

NACRES:
NA.41
UNSPSC Code:
12352203
Conjugate:
unconjugated
Clone:
BTY-1, monoclonal
Application:
Citations:
3
Technical Service
Need help? Our team of experienced scientists is here for you.
Let Us Assist
Technical Service
Need help? Our team of experienced scientists is here for you.
Let Us Assist

biological source

mouse

conjugate

unconjugated

antibody product type

primary antibodies

clone

BTY-1, monoclonal

form

liquid

species reactivity

human

packaging

antibody small pack of 25 μL

concentration

~1 mg/mL

technique(s)

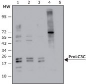
immunoblotting: 0.5-1 μg/mL using whole extracts of HEK-293T cells overexpressing human LC3C

isotype

IgG1

UniProt accession no.

shipped in

dry ice

storage temp.

−20°C

target post-translational modification

unmodified

Gene Information

human ... MAP1LC3C(440738)

General description

Monoclonal Anti-Pro LC3C antibody (mouse IgG1 isotype) is derived from the BTY-1 hybridoma, produced by the fusion of mouse myeloma cells and splenocytes from a mouse. Human microtubule-associated proteins 1 light chain 3 (LC3C) is an ortholog of yeast Atg8. It is expressed in different human tissues. LC3C belongs to the subfamily of LC3 and the family of human Atg8. It is a structural protein of the autophagosomal membrane. LC3C gene is located on the human chromosome at 1q43.

Immunogen

Synthetic peptide corresponding to the C-terminal region of human LC3C, conjugated to KLH

Application

Anti-Pro LC3C antibody, mouse monoclonal may be used in immunoblotting and immunofluorescence.

Biochem/physiol Actions

Human microtubule-associated proteins 1 light chain 3 (LC3C) protein is considered as an autophagy marker. It enhances the trafficking of hepatocyte growth factor (Met) receptor tyrosine kinase (RTK) to an autophagic compartment. LC3C protein also plays a role in antibacterial autophagy.
Monoclonal Anti-Pro LC3C antibody specifically recognizes epitope at the C-terminal pro-peptide domain of human LC3C-I and/or LC3C-II and dose not cross react with human LC3A or LC3B.

Physical form

Supplied as a solution in 0.01 M phosphate buffered saline pH 7.4, containing 15 mM sodium azide as a preservative.

Preparation Note

For continuous use, store at 2-8°C for up to one month. For extended storage, freeze in working aliquots. Repeated freezing and thawing is not recommended. If slight turbidity occurs upon prolonged storage, clarify the solution by centrifugation before use. Working dilution samples should be discarded if not used within 12 hours.

Disclaimer

Unless otherwise stated in our catalog our products are intended for research use only and are not to be used for any other purpose, which includes but is not limited to, unauthorized commercial uses, in vitro diagnostic uses, ex vivo or in vivo therapeutic uses or any type of consumption or application to humans or animals.

Not finding the right product?  

Try our Product Selector Tool.

Storage Class

10 - Combustible liquids

flash_point_f

Not applicable

flash_point_c

Not applicable

Regulatory Information

常规特殊物品
低风险生物材料
This item has

Choose from one of the most recent versions:

Certificates of Analysis (COA)

Lot/Batch Number

Don't see the Right Version?

If you require a particular version, you can look up a specific certificate by the Lot or Batch number.

Already Own This Product?

Find documentation for the products that you have recently purchased in the Document Library.

Visit the Document Library

LC3C-Mediated Autophagy Selectively Regulates the Met RTK and HGF-Stimulated Migration and Invasion
Bell E S, et al.
Testing, 29(12), 4053-4068 (2019)
Autophagosome proteins LC3A, LC3B and LC3C have distinct subcellular distribution kinetics and expression in cancer cell lines
Koukourakis M I, et al.
PLoS ONE, 10(9), e0137675-e0137675 (2015)
Natalia von Muhlinen et al.
Molecular cell, 48(3), 329-342 (2012-10-02)
Autophagy protects cellular homeostasis by capturing cytosolic components and invading pathogens for lysosomal degradation. Autophagy receptors target cargo to autophagy by binding ATG8 on autophagosomal membranes. The expansion of the ATG8 family in higher eukaryotes suggests that specific interactions with

Our team of scientists has experience in all areas of research including Life Science, Material Science, Chemical Synthesis, Chromatography, Analytical and many others.

Contact Technical Service