Skip to Content
Merck
CN

SAB4200667

Anti-MR−Pro ADM (Internal) antibody produced in rabbit

affinity isolated antibody

Synonym(s):

mid regional pro−ADM

Sign In to View Organizational & Contract Pricing.

Select a Size


About This Item

UNSPSC Code:
51111800
Species reactivity:
human
Technique(s):
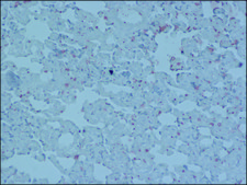
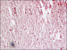
immunoblotting: 0.25-0.5 μg/mL using human recombinant peptide of MR-Pro ADM (amino acid 45-92), immunohistochemistry: 20 μg/mL using heat-retrieved formalin-fixed, paraffin-embedded human pancreas or placenta sections
Application:
IHC
Citations:
5
Technical Service
Need help? Our team of experienced scientists is here for you.
Let Us Assist
Technical Service
Need help? Our team of experienced scientists is here for you.
Let Us Assist

biological source

rabbit

antibody form

affinity isolated antibody

antibody product type

primary antibodies

form

buffered aqueous solution

mol wt

~5 kDa

species reactivity

human

concentration

~1 mg/mL

technique(s)

immunoblotting: 0.25-0.5 μg/mL using human recombinant peptide of MR-Pro ADM (amino acid 45-92), immunohistochemistry: 20 μg/mL using heat-retrieved formalin-fixed, paraffin-embedded human pancreas or placenta sections

UniProt accession no.

shipped in

dry ice

storage temp.

−20°C

target post-translational modification

unmodified

Gene Information

human ... ADM(133)

General description

MR-pro-ADM (mid-regional-pro-adrenomedullin) is a 47-residue long peptide, produced during posttranslational processing of adrenomedullin. It has a molecular weight of 5.1kDa. Adrenomedullin (ADM) is a vasodilator peptide which is produced and released by a wide variety of cells such as, macrophages, fibroblasts, cardiomyocytes etc. MR-pro-ADM functions as a substitute marker for ADM. This peptide is coded by the gene localized to human chromosome 11p15.4 which is composed of four exons and three introns.

Immunogen

synthetic peptide corresponding to the internal region of human Adrenomedullin (ADM)

Biochem/physiol Actions

Anti-MR-Pro ADM (Internal) recognizes human MR-Pro ADM.
In hemodialysis patients increased plasma levels of MR-pro-ADM (mid-regional-pro-adrenomedullin) is linked with decreased survival. This is due to increased vasodilation in response to higher levels of MR-pro-ADM; lower levels of this peptide result in increased vasoconstriction and hence, better prognosis. This peptide is also associated with increased cardiovascular mortality in dialysis patients. In type II diabetic patients, MR-pro-ADM peptide is linked with renal outcome, as adrenomedullin (ADM) gene regualates susceptibility to nephropathic progression.

Physical form

Solution in 0.01 M phosphate buffered saline, pH 7.4, containing 15 mM sodium azide.

Preparation Note

For continuous use, store at 2–8 °C for up to one month. For extended storage freeze in working aliquots. Repeated freezing and thawing is not recommended. If slight turbidity occurs upon prolonged storage, clarify the solution by centrifugation before use. Working dilution samples should be discarded if not used within 12 hours.

Disclaimer

Unless otherwise stated in our catalog or other company documentation accompanying the product(s), our products are intended for research use only and are not to be used for any other purpose, which includes but is not limited to, unauthorized commercial uses, in vitro diagnostic uses, ex vivo or in vivo therapeutic uses or any type of consumption or application to humans or animals.

Not finding the right product?  

Try our Product Selector Tool.

Storage Class

10 - Combustible liquids

wgk

nwg

flash_point_f

Not applicable

flash_point_c

Not applicable

Regulatory Information

低风险生物材料
常规特殊物品
This item has

Choose from one of the most recent versions:

Certificates of Analysis (COA)

Lot/Batch Number

Don't see the Right Version?

If you require a particular version, you can look up a specific certificate by the Lot or Batch number.

Already Own This Product?

Find documentation for the products that you have recently purchased in the Document Library.

Visit the Document Library

Plasma Adrenomedullin and Allelic Variation in the ADM Gene and Kidney Disease in People With Type 2 Diabetes.
Velho G et al
Diabetes, 64(9), 3262-3272 (2015)
N Minamino et al.
Clinical hemorheology and microcirculation, 23(2-4), 95-102 (2001-04-26)
Adrenomedullin (AM) is a vasodilator peptide first identified in pheochromocytoma tissue, but endothelial cells and vascular smooth muscle cells actively secrete AM in addition to expressing AM receptors. AM dilates blood vessels through its direct action on the smooth muscle
Adrenomedullin and tumour microenvironment.
Larrayoz IM et al
Journal of Translational Medicine, 12, 339-339 (2014)
Ferruh Artunc et al.
PloS one, 9(1), e86148-e86148 (2014-01-28)
Vasopressin, endothelin and adrenomedullin are vasoactive peptides that regulate vascular tone and might play a role in hypertensive diseases. Recently, laboratory assays have been developed to measure stable fragments of vasopressin, endothelin and adrenomedullin. Little is known about their diagnostic
Ghazaleh Gouya et al.
PloS one, 6(3), e17803-e17803 (2011-03-17)
High levels of the plasma peptides mid-regional pro-adrenomedullin (MR-proADM) and mid-regional pro-atrial natriuretic peptide (MR-proANP) are associated with clinical outcomes in the general population. Data in patients with chronic kidney disease are sparse. We therefore investigated the association of MR-proANP

Our team of scientists has experience in all areas of research including Life Science, Material Science, Chemical Synthesis, Chromatography, Analytical and many others.

Contact Technical Service