Skip to Content
Merck
CN

SAB4200277

Anti-RCC1 (N-terminal) antibody produced in rabbit

~1.0 mg/mL, affinity isolated antibody

Synonym(s):

Anti-CHC-1, Anti-CHC1, Anti-Chromosome Condensation 1, Anti-Regulator of Chromatin Condensation 1

Sign In to View Organizational & Contract Pricing.

Select a Size


About This Item

NACRES:
NA.41
UNSPSC Code:
12352203
Conjugate:
unconjugated
Clone:
polyclonal
Application:
IF, IP, WB
Citations:
2
Technical Service
Need help? Our team of experienced scientists is here for you.
Let Us Assist
Technical Service
Need help? Our team of experienced scientists is here for you.
Let Us Assist

biological source

rabbit

conjugate

unconjugated

antibody form

affinity isolated antibody

antibody product type

primary antibodies

clone

polyclonal

form

buffered aqueous solution

mol wt

~45 kDa

species reactivity

human

concentration

~1.0 mg/mL

technique(s)

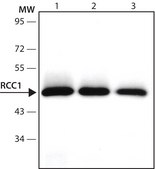
immunoprecipitation (IP): 2.5-5.0 μg using lysates of human HEK-293 cells., indirect immunofluorescence: 1.0-2.0 μg/mL using paraformaldehyde fixed HeLa cells., western blot: 0.5-1.0 μg/mL using lysates of HeLa cells

UniProt accession no.

shipped in

dry ice

storage temp.

−20°C

target post-translational modification

unmodified

Gene Information

human ... RCC1(1104)

General description

Regulator of chromosome condensation 1 (RCC1) is a nuclear chromatin-bound protein and a guanine nucleotide exchange factor (GEF) for the nuclear Ras-related nuclear (Ran) protein. It consists of seven homologous repeats of 51−68 amino acid residues termed RCC1-like domains (RLDs), which adopt a seven-bladed β-propeller fold 2 and an amino terminal tail extension. The RCC1 gene is mapped to human chromosome 1p35.3.(4)

Immunogen

synthetic peptide corresponding to a sequence at the N- terminal region of human RCC1, conjugated to KLH. The corresponding sequence differs by one amino acid in rat or mouse.

Application

Anti-RCC1 (N-terminal) antibody produced in rabbit is suitable for:
  • immunoblotting
  • immunofluorescence
  • immunoprecipitation

Biochem/physiol Actions

Anti-RCC1 (N-terminal) recognizes human RCC1.
Regulator of chromosome condensation 1 (RCC1) protein is an important cell cycle regulator. It is associated dynamically with chromatin through binding to histones H2A and/or H2B in a Ras-related nuclear (Ran) regulated manner. RCC1 has been shown to play essential roles in nuclear transport, spindle organization and nuclear envelop formation. α-N-methylation of RCC1 is essential for strong attachment of RCC1 to chromatin during normal mitosis.

Physical form

Solution in 0.01 M phos­phate buffered saline, pH 7.4, containing 15 mM sodium azide.

Preparation Note

For continuous use, store at 2-8 °C for up to one month. For extended storage, freeze in working aliquots. Repeated freezing and thawing, or storage in “frost-free” freezers, is not recommended. If slight turbidity occurs upon prolonged storage, clarify the solution by centrifugation before use. Working dilutions should be discarded if not used within 12 hours.

Disclaimer

Unless otherwise stated in our catalog, our products are intended for research use only and are not to be used for any other purpose, which includes but is not limited to, unauthorized commercial uses, in vitro diagnostic uses, ex vivo or in vivo therapeutic uses or any type of consumption or application to humans or animals.

Not finding the right product?  

Try our Product Selector Tool.

Storage Class

10 - Combustible liquids

flash_point_f

Not applicable

flash_point_c

Not applicable

Regulatory Information

新产品
This item has

Choose from one of the most recent versions:

Certificates of Analysis (COA)

Lot/Batch Number

Don't see the Right Version?

If you require a particular version, you can look up a specific certificate by the Lot or Batch number.

Already Own This Product?

Find documentation for the products that you have recently purchased in the Document Library.

Visit the Document Library

Ouadah Hadjebi et al.
Biochimica et biophysica acta, 1783(8), 1467-1479 (2008-04-30)
The Regulator of Chromosome Condensation 1 (RCC1) was identified over 20 years ago as a critical cell cycle regulator. By analyzing its amino acid sequence, RCC1 was found to consist of seven homologous repeats of 51-68 amino acid residues, which
Ting Chen et al.
Nature cell biology, 9(5), 596-603 (2007-04-17)
Regulator of chromatin condensation 1 (RCC1) is the only known guanine nucleotide-exchange factor for the Ran GTPase and has pivotal roles in nucleo-cytoplasmic transport, mitosis, and nuclear-envelope assembly. RCC1 associates dynamically with chromatin through binding to histones H2A and/or H2B

Related Content

Our team of scientists has experience in all areas of research including Life Science, Material Science, Chemical Synthesis, Chromatography, Analytical and many others.

Contact Technical Service