Skip to Content
Merck
CN

SAB4200226

Anti-PGC-1α(N-terminal) antibody produced in rabbit

affinity isolated antibody

Synonym(s):

Anti-LEM6, Anti-PGC1, Anti-Peroxisome proliferator-activated receptor gamma, coactivator 1 alpha, PPARGC1A

Sign In to View Organizational & Contract Pricing.

Select a Size


About This Item

UNSPSC Code:
12352203
NACRES:
NA.41
MDL number:
Technique(s):
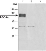
western blot: 1-2 μg/mL using HEK293-T cells expressing human PGC-1α
Uniprot accession no.:
Application:
WB
Citations:
4
Technical Service
Need help? Our team of experienced scientists is here for you.
Let Us Assist
Technical Service
Need help? Our team of experienced scientists is here for you.
Let Us Assist

enhanced validation

recombinant expression
Learn more about Antibody Enhanced Validation

concentration

~1.0 mg/mL

technique(s)

western blot: 1-2 μg/mL using HEK293-T cells expressing human PGC-1α

UniProt accession no.

shipped in

dry ice

storage temp.

−20°C

target post-translational modification

unmodified

biological source

rabbit

conjugate

unconjugated

antibody form

affinity isolated antibody

antibody product type

primary antibodies

clone

polyclonal

form

buffered aqueous solution

mol wt

antigen ~120 kDa

species reactivity

human

Gene Information

human ... PPARGC1A(10891)

General description

PPARG coactivator 1 α (PPARGC1A), a master transcriptional coactivator is a 91kDa multifunctional regulatory factor, encoded by the gene mapped to human chromosome 4p15.1. The encoded protein is mainly expressed in heart, skeletal muscle and kidney.

Application

Anti-PGC-1α(N-terminal) antibody produced in rabbit has been used in immunoblotting.

Biochem/physiol Actions

PPARG coactivator 1 α (PPARGC1α) integrates and regulates several metabolic pathways in response to external stimuli. PGC-1α regulates adaptive thermogenesis in brown adipose tissue and insulin signaling in skeletal muscle by activation of central metabolic and energy-related genes. It has a central role in the regulation of liver gluconeogenesis, β-oxidation of fatty acids and ketogenesis, by coactivation of key enzymes in the metabolic pathway, indicating that PGC-1α plays an important role as a global regulator of liver metabolism during fasting. PGC-1a is also a potent activator of mitochondrial biogenesis by coactivation of estrogen related receptor α(ERRα), nuclear respiratory factors (NRF)-1 and NRF-2. PGC-1a has been shown to suppress the generation of reactive oxygen species (ROS) and neurodegeneration by protecting neuronal cells from oxidative stress-mediated death. PGC-1α has been recently proposed to control muscle plasticity, to suppress broad inflammatory response and mediate the beneficial aspects of exercise.

Physical form

Solution in 0.01 M phosphate buffered saline, pH 7.4, containing 15 mM sodium azide

Disclaimer

Unless otherwise stated in our catalog or other company documentation accompanying the product(s), our products are intended for research use only and are not to be used for any other purpose, which includes but is not limited to, unauthorized commercial uses, in vitro diagnostic uses, ex vivo or in vivo therapeutic uses or any type of consumption or application to humans or animals.

Not finding the right product?  

Try our Product Selector Tool.

Storage Class

10 - Combustible liquids

flash_point_f

Not applicable

flash_point_c

Not applicable

Regulatory Information

低风险生物材料
常规特殊物品
This item has

Choose from one of the most recent versions:

Certificates of Analysis (COA)

Lot/Batch Number

Don't see the Right Version?

If you require a particular version, you can look up a specific certificate by the Lot or Batch number.

Already Own This Product?

Find documentation for the products that you have recently purchased in the Document Library.

Visit the Document Library

PGC-1alpha, glucose metabolism and type 2 diabetes mellitus
Wu H, et al.
The Journal of Endocrinology, 229(3), 99-115 (2016)
PGC-1alpha downstream transcription factors NRF-1 and TFAM are genetic modifiers of Huntington disease
Taherzadeh-FE, et al.
Mol. Neurodegener., 6, 32-32 (2011)
PGC-1 coactivators in the control of energy metabolism
Liu C, et al.
Acta biochimica et biophysica Sinica, 43(4), 248-248 (2011)
Suppression of reactive oxygen species and neurodegeneration by the PGC-1 transcriptional coactivators
St-Pierre J, et al.
Cell, 127(2), 397-408 (2006)

Related Content

Our team of scientists has experience in all areas of research including Life Science, Material Science, Chemical Synthesis, Chromatography, Analytical and many others.

Contact Technical Service