Skip to Content
Merck
CN

SAB4200096

Anti-Coronin 1B antibody produced in rabbit

~1.5 mg/mL, affinity isolated antibody

Synonym(s):

Anti-CORO1B, Anti-Coronin-2

Sign In to View Organizational & Contract Pricing.

Select a Size


About This Item

NACRES:
NA.41
UNSPSC Code:
12352203
Conjugate:
unconjugated
Clone:
polyclonal
Application:
IF, WB
Citations:
6
Technical Service
Need help? Our team of experienced scientists is here for you.
Let Us Assist
Technical Service
Need help? Our team of experienced scientists is here for you.
Let Us Assist

biological source

rabbit

conjugate

unconjugated

antibody form

affinity isolated antibody

antibody product type

primary antibodies

clone

polyclonal

form

buffered aqueous solution

mol wt

antigen ~66 kDa

species reactivity

mouse, rat, human

packaging

antibody small pack of 25 μL

concentration

~1.5 mg/mL

technique(s)

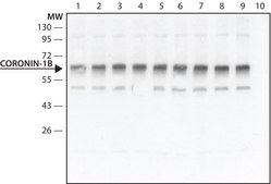
indirect immunofluorescence: 5-10 μg/mL using HS68 cells, western blot: 1.5-3.0 μg/mL using PC12 cell extracts and mouse brain extracts (S1 fraction)

UniProt accession no.

shipped in

dry ice

storage temp.

−20°C

target post-translational modification

unmodified

Gene Information

human ... CORO1B(57175)

General description

Coronin 1B (CORO1B) is encoded by the gene mapped to human chromosome 11q13.2. CORO1B belongs to the mammalian coronin gene family. The encoded protein is ubiquitously expressed and is mainly present on the leading edge of migrating fibroblasts.
Coronin-1B localizes to sub-membrane areas.

Application

Anti-Coronin 1B antibody produced in rabbit has been used in immunoblotting and immunofluorescence.

Biochem/physiol Actions

Coronin 1B (CORO1B) acts as an actin binding protein. It also plays a major role in controlling whole-cell motility and lamellipodial dynamics. CORO1B also influence neurite outgrowth in a neuronal regeneration model. The encoded protein antagonizes a filament branch stabilizer, cortactin and disassembles actin-related protein (Arp) 2/3-containing actin filament branches by promoting Arp2/3 dissociation.
Coronin-1B has been shown to affect cell motility by regulation of actin-depolymerizing factor (ADF)/cofilin proteins at the leading edge. It targets the cofilin-activating phosphatase slingshot-1L to the leading edge, and thus indirectly regulates cofilin activity.

Physical form

Solution in 0.01 M phos­phate buffered saline, pH 7.4, containing 15 mM sodium azide.

Disclaimer

Unless otherwise stated in our catalog or other company documentation accompanying the product(s), our products are intended for research use only and are not to be used for any other purpose, which includes but is not limited to, unauthorized commercial uses, in vitro diagnostic uses, ex vivo or in vivo therapeutic uses or any type of consumption or application to humans or animals.

Not finding the right product?  

Try our Product Selector Tool.

Storage Class

10 - Combustible liquids

flash_point_f

Not applicable

flash_point_c

Not applicable

Regulatory Information

常规特殊物品
低风险生物材料
This item has

Choose from one of the most recent versions:

Certificates of Analysis (COA)

Lot/Batch Number

Don't see the Right Version?

If you require a particular version, you can look up a specific certificate by the Lot or Batch number.

Already Own This Product?

Find documentation for the products that you have recently purchased in the Document Library.

Visit the Document Library

Coronin 1B Coordinates Arp2/3 Complex and Cofilin Activities at the Leading Edge
Cai L
Cell, 128, 915-929 (2007)
Coronin 1B Antagonizes Cortactin and Remodels Arp2/3-Containing Actin Branches in Lamellipodia
Cai L
Cell, 134, 828-842 (2008)
Phosphorylation of coronin 1B by protein kinase C regulates interaction with Arp2/3 and cell motility.
Cai L
The Journal of Biological Chemistry, 280, 31913-31923 (2005)
F-actin binding is essential for coronin 1B function in vivo.
Cai L
Journal of Cell Science, 120, 1779-1790 (2007)
Searching for the Molecular
Pathways Regulating Bone
Mineral Density in the Proteome
and RNA Interference Era
Saad FA
Journal of Orthopedics & Rheumatology, 1 (2013)

Related Content

Our team of scientists has experience in all areas of research including Life Science, Material Science, Chemical Synthesis, Chromatography, Analytical and many others.

Contact Technical Service