Skip to Content
Merck
CN

SAB4200029

Anti-HOXD9 antibody produced in rabbit

~1.0 mg/mL, affinity isolated antibody

Synonym(s):

Anti-HOX4C, Anti-Homeobox D9, Anti-Hox-4.3

Sign In to View Organizational & Contract Pricing.

Select a Size


About This Item

NACRES:
NA.41
UNSPSC Code:
12352203
Conjugate:
unconjugated
Clone:
polyclonal
Application:
IF, IP, WB
Citations:
5
Technical Service
Need help? Our team of experienced scientists is here for you.
Let Us Assist
Technical Service
Need help? Our team of experienced scientists is here for you.
Let Us Assist

biological source

rabbit

conjugate

unconjugated

antibody form

affinity isolated antibody

antibody product type

primary antibodies

clone

polyclonal

mol wt

antigen ~40 kDa

species reactivity

human

packaging

antibody small pack of 25 μL

concentration

~1.0 mg/mL

technique(s)

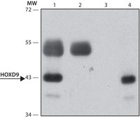
immunoprecipitation (IP): 2.5-5 μg using lysates of HEK-293T cells over expressing human HOXD9, indirect immunofluorescence: 2.5-5 μg/mL using paraformaldehyde fixed HEK-293T cells over expressing human HOXD9, western blot: 0.5-1 μg/mL using lysates of HEK-293T cells over expressing human HOXD9

UniProt accession no.

shipped in

dry ice

storage temp.

−20°C

target post-translational modification

unmodified

Gene Information

human ... HOXD9(3235)
mouse ... Hoxd9(15438)
rat ... Hoxd9(688999)

Looking for similar products? Visit Product Comparison Guide

General description

In vertebrates, there are 39 homeobox (HOX) genes that are organized into four clusters (HOXA-HOXD), located on different chromosomes (7p15, 17q21.2, 12q13, and 2q31). Each cluster contains 9−11 member genes encoding relatively small gene products containing a highly conserved 60-amino-acid region (the homeobox), with DNA-binding activity that contributes to their activity as transcription factors.

Application

Anti-HOXD9 antibody produced in rabbit has been used in:
  • immunoblotting
  • immunoprecipitation
  • immunofluorescence

Biochem/physiol Actions

Homeobox (HOX) genes are evolutionarily conserved transcription factors, that control important development pathways involved in morphogenesis of the embryo. One of the major functions of HOX genes seems to be the formation of the body plan during embryonic development. In addition to roles in normal development, altered homeobox gene function or expression is implicated in the development of cancers such as leukemias or neoplasms of the breast, prostate, kidney, colon, skin and brain. HOXD9 is involved in the development processes such as patterning of forelimb, axial skeleton and embryonic segmentation. It might promote cell migration, invasion and metastasis in hepatocellular carcinoma. HOXD9 was shown to be involved in the early stages of normal joint development and also in the pathologic process of arthritis.

Physical form

Solution in 0.01 M phos­phate buffered saline, pH 7.4, containing 15 mM sodium azide.

Disclaimer

Unless otherwise stated in our catalog or other company documentation accompanying the product(s), our products are intended for research use only and are not to be used for any other purpose, which includes but is not limited to, unauthorized commercial uses, in vitro diagnostic uses, ex vivo or in vivo therapeutic uses or any type of consumption or application to humans or animals.

Not finding the right product?  

Try our Product Selector Tool.

Storage Class

10 - Combustible liquids

flash_point_f

Not applicable

flash_point_c

Not applicable

Regulatory Information

新产品
This item has

Choose from one of the most recent versions:

Certificates of Analysis (COA)

Lot/Batch Number

Don't see the Right Version?

If you require a particular version, you can look up a specific certificate by the Lot or Batch number.

Already Own This Product?

Find documentation for the products that you have recently purchased in the Document Library.

Visit the Document Library

Epigenome-wide DNA methylation landscape of melanoma progression to brain metastasis reveals aberrations on homeobox D cluster associated with prognosis
Marzese DM, et al.
Human Molecular Genetics, 23(1), 226-238 (2013)
Role of HOX genes in stem cell differentiation and Cancer
Bhatlekar S, et al.
Stem Cells International, 2018(1), 107-113 (2018)
HOXD9 promotes epithelial-mesenchymal transition and cancer metastasis by ZEB1 regulation in hepatocellular carcinoma
Lv X, et al.
Journal of Experimental & Clinical Cancer Research, 34(1), 133-133 (2015)
Histone acetylation regulates the expression of HoxD9 transcription factor in endothelial progenitor cells
Iordache F, et al.
Romanian Journal of Morphology and Embryology, 56(1), 107-113 (2015)
Expression of murine HOXD9 during embryonic joint patterning and in human T lymphotropic virus type I tax transgenic mice with arthropathy resembling rheumatoid arthritis.
Khoa ND, et al.
Arthritis and Rheumatism, 42(4), 686-696 (1999)

Related Content

Our team of scientists has experience in all areas of research including Life Science, Material Science, Chemical Synthesis, Chromatography, Analytical and many others.

Contact Technical Service