Skip to Content
Merck
CN

SAB3501119

Anti-SARS-CoV-2 (COVID-19) Spike S1 antibody produced in rabbit

affinity isolated antibody

Sign In to View Organizational & Contract Pricing.

Select a Size


About This Item

NACRES:
NA.41
UNSPSC Code:
12352203
Conjugate:
unconjugated
Clone:
polyclonal
Application:
ELISA, IF, IHC, WB
Citations:
-
Technical Service
Need help? Our team of experienced scientists is here for you.
Let Us Assist
Technical Service
Need help? Our team of experienced scientists is here for you.
Let Us Assist

biological source

rabbit

conjugate

unconjugated

antibody form

affinity isolated antibody

antibody product type

primary antibodies

clone

polyclonal

form

liquid

species reactivity

SARS coronavirus

concentration

1 mg/mL

technique(s)

ELISA: suitable, immunofluorescence: suitable, immunohistochemistry: suitable, western blot: suitable

isotype

IgG

shipped in

wet ice

storage temp.

−20°C

target post-translational modification

unmodified

Quality Level

Gene Information

SARS coronavirus ... S(43740568)

General description

Coronavirus disease 2019 (COVID-19), formerly known as 2019-nCoV acute respiratory disease, is an infectious disease caused by SARS-CoV-2, a virus closely related to the SARS virus. The disease is the cause of the 2019–20 coronavirus outbreak. The structure of 2019-nCoV consists of the following: a Spike protein (S), hemagglutinin-esterease dimer (HE), a membrane glycoprotein (M), an envelope protein (E) a nucleoclapid protein (N) and RNA. Coronavirus invades cells through Spike (S) glycoproteins, a class I fusion protein. It is the major viral surface protein that coronavirus uses to bind to the human cell surface receptor. It also mediates the fusion of host and viral cell membrane, allowing the virus to enter human cells and begin infection. The spike protein is the major target for neutralizing antibodies and vaccine development. The protein modeling suggests that there is strong interaction between Spike protein receptor-binding domain and its host receptor angiotensin-converting enzyme 2 (ACE2), which regulate both the cross-species and human-to-human transmissions of COVID-19. The recent study has shown that the SARS-CoV-2 spike protein binds ACE2 with higher affinity than SARS-CoV spike protein.

Immunogen

Anti-SARS-CoV-2 (COVID-19) Spike S1 antibody was raised against a peptide corresponding to 16 amino acids near the amino terminus of SARS-CoV-2 (COVID-19) Spike S1 glycoprotein. The immunogen is located within the first 50 amino acids of SARS-CoV-2 (COVID-19) Spike S1 protein.

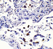
Application

Antibody validated: Western Blot in human samples; Immunofluorescence in human samples; Immunohistochemistry in human samples. SARS-CoV-2 (COVID-19) Spike S1 antibody can be used for the detection of SARS-CoV-2 (COVID-19) Spike protein in ELISA. It will detect 4 ng of free peptide at 1 μg/mL. All other applications and species not yet tested.

Physical form

Supplied in PBS containing 0.02% sodium azide.

Not finding the right product?  

Try our Product Selector Tool.

Storage Class

12 - Non Combustible Liquids

wgk

nwg

flash_point_f

Not applicable

flash_point_c

Not applicable

Regulatory Information

常规特殊物品
低风险生物材料
This item has

Choose from one of the most recent versions:

Certificates of Analysis (COA)

Lot/Batch Number

Don't see the Right Version?

If you require a particular version, you can look up a specific certificate by the Lot or Batch number.

Already Own This Product?

Find documentation for the products that you have recently purchased in the Document Library.

Visit the Document Library

Our team of scientists has experience in all areas of research including Life Science, Material Science, Chemical Synthesis, Chromatography, Analytical and many others.

Contact Technical Service