Skip to Content
Merck
CN

M4812

Anti-Myosin Va (LF-18) antibody produced in rabbit

~0.4 mg/mL, affinity isolated antibody, buffered aqueous solution

Synonym(s):

Anti-GS1, Anti-MYH12, Anti-MYO5, Anti-MYR12

Sign In to View Organizational & Contract Pricing.

Select a Size


About This Item

UNSPSC Code:
12352203
NACRES:
NA.41
MDL number:
Conjugate:
unconjugated
Clone:
polyclonal
Application:
ARR, IHC (p), WB
Citations:
14
Technical Service
Need help? Our team of experienced scientists is here for you.
Let Us Assist
Technical Service
Need help? Our team of experienced scientists is here for you.
Let Us Assist

biological source

rabbit

conjugate

unconjugated

antibody form

affinity isolated antibody

antibody product type

primary antibodies

clone

polyclonal

form

buffered aqueous solution

mol wt

antigen 190 kDa

species reactivity

chicken, rat

enhanced validation

independent
Learn more about Antibody Enhanced Validation

concentration

~0.4 mg/mL

technique(s)

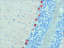
immunohistochemistry (formalin-fixed, paraffin-embedded sections): 1:200 using rat and chicken cerebellum sections, microarray: suitable, western blot: 1:1,000 using a rat brain extract

UniProt accession no.

shipped in

dry ice

storage temp.

−20°C

target post-translational modification

unmodified

Quality Level

Gene Information

human ... MYO5A(4644)
mouse ... Myo5a(17918)
rat ... Myo5a(25017)

General description

Anti-myosin Va (LF-18) recognizes myosin Va (190kDa). Myosin 5a is encoded by the gene mapped to human chromosome 15q21.2. The encoded protein is a member of the unconventional myosin family. It is a two-headed motor containing two identical heavy chains and multiple light chains. Myosin Va is widely expressed, but at high levels in the brain, testes and melanocytes.

Immunogen

synthetic peptide located near the C-terminus of chicken myosin Va (amino acids 1782-1799 with N-terminally added lysine) conjugated to KLH. This sequence is identical in human, mouse and rat.

Application

Anti-Myosin Va (LF-18) antibody produced in rabbit has been used in:
  • Western blot.
  • In situ proximity ligation assay (PLA).
  • Glutathione S-transferase (GST)-spinophilin co-sedimentation assay.

Biochem/physiol Actions

Myosin 5a is an actin-based molecular motor responsible for transport of secretory granules in various cell systems, including insulin granule. Additionally, it also mediates the transport of cargo such as cell-surface receptors, pigment and organelles like endoplasmic reticulum to the plasma membrane. The encoded protein facilitates pigmentation and synaptic activity in the central nervous system. Genetic variations in the gene are associated with the development of immunological and neurological diseases, including Griscelli syndrome type 1 and Elejalde syndrome.

Physical form

Solution in 0.01 M phosphate buffered saline containing 1% BSA and 15 mM sodium azide.

Preparation Note

For continuous use, store at 2-8°C for up to one month. For prolonged storage, freeze in working aliquots at -20°C. Repeated freezing and thawing, or storage in “frost-free” freezers, is not recommended. If slight turbidity occurs upon prolonged storage, clarify the solution by centrifugation before use. Working dilution samples should be discarded if not used within 12 hours.

Other Notes

In order to obtain best results in different techniques and preparations we recommend determining optimal working dilutions by titration test.

Disclaimer

Unless otherwise stated in our catalog or other company documentation accompanying the product(s), our products are intended for research use only and are not to be used for any other purpose, which includes but is not limited to, unauthorized commercial uses, in vitro diagnostic uses, ex vivo or in vivo therapeutic uses or any type of consumption or application to humans or animals.

Not finding the right product?  

Try our Product Selector Tool.

Storage Class

10 - Combustible liquids

wgk

nwg

flash_point_f

Not applicable

flash_point_c

Not applicable

Regulatory Information

低风险生物材料
常规特殊物品
This item has

Choose from one of the most recent versions:

Certificates of Analysis (COA)

Lot/Batch Number

Don't see the Right Version?

If you require a particular version, you can look up a specific certificate by the Lot or Batch number.

Already Own This Product?

Find documentation for the products that you have recently purchased in the Document Library.

Visit the Document Library

Genome-Wide Meta-Analysis of Sciatica in Finnish Population
Lemmela S, et al.
PLoS ONE, 11 (2016)
Ianina L Conte et al.
Journal of cell science, 129(3), 592-603 (2015-12-18)
Weibel-Palade body (WPB)-actin interactions are essential for the trafficking and secretion of von Willebrand factor; however, the molecular basis for this interaction remains poorly defined. Myosin Va (MyoVa or MYO5A) is recruited to WPBs by a Rab27A-MyRIP complex and is
The molecular motor Myosin Va interacts with the cilia-centrosomal protein RPGRIP1L
Assis LH, et al.
Scientific Reports (2017)
Griscelli disease maps to chromosome 15q21 and is associated with mutations in the myosin-Va gene.
Pastural E, et al.
Nature Genetics, 16, 289-292 (1997)
Josephine A Carew et al.
Neurogastroenterology and motility : the official journal of the European Gastrointestinal Motility Society, 33(10), e14162-e14162 (2021-05-04)
The motor protein, Myosin 5a (Myo5a) is known to play a role in inhibitory neurotransmission in gastric fundus. However, there is no information regarding the relative expression of total Myo5a, or of its alternative exon splice variants, across the stomach.

Related Content

Instructions

Our team of scientists has experience in all areas of research including Life Science, Material Science, Chemical Synthesis, Chromatography, Analytical and many others.

Contact Technical Service