Sign In to View Organizational & Contract Pricing.
Select a Size
About This Item
NACRES:
NA.47
UNSPSC Code:
41116121
shelf life
Expiry date on the label
IVD
for in vitro diagnostic use
dilution
(for histology)
application(s)
hematology
histology
storage temp.
room temp
Quality Level
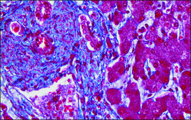
General description
May be useful in study of diseases of connective tissue and muscle characterized by fibrotic and dystrophic changes.
Biochem/physiol Actions
Collagen and muscle fiber stain differentially when treated sequentially with Biebrich Scarlet-Acid Fuchsin, PTA/PMA and Aniline Blue. Cytoplasm and muscle fibers stain red whereas collagen displays blue coloration.
Kit Components Only
Product No.
Description
- Aniline Blue Solution (kit only) 250 mL
- Biebrich Scarlet-Acid Fuchsin Solution (HT151) 250 mL
- Phosphomolybdic Acid Solution (HT153) 250 mL
- Phosphotungstic Acid Solution (HT152) 250 mL
signalword
Danger
hcodes
Hazard Classifications
Aquatic Chronic 3 - Eye Dam. 1 - Ox. Liq. 3 - Skin Corr. 1B
Storage Class
5.1B - Oxidizing hazardous materials
flash_point_f
Not applicable
flash_point_c
Not applicable
wgk
WGK 3
Regulatory Information
监管及禁止进口产品
This item has
Choose from one of the most recent versions:
Already Own This Product?
Find documentation for the products that you have recently purchased in the Document Library.
O G Aztatzi-Aguilar et al.
Particle and fibre toxicology, 13(1), 68-68 (2016-12-14)
Particulate matter exposure is associated with respiratory and cardiovascular system dysfunction. Recently, we demonstrated that fine particles, also named PM2.5, modify the expression of some components of the angiotensin and bradykinin systems, which are involved in lung, cardiac and renal
Jiaxuan Chen et al.
Biomaterials, 113, 80-92 (2016-11-05)
Virtually all biomaterials are susceptible to biofilm formation and, as a consequence, device-associated infection. The concept of an immobilized liquid surface, termed slippery liquid-infused porous surfaces (SLIPS), represents a new framework for creating a stable, dynamic, omniphobic surface that displays
Yu Liu et al.
Molecular therapy : the journal of the American Society of Gene Therapy, 25(3), 666-678 (2017-02-02)
The promyelocytic leukemia protein (PML) is essential in the assembly of dynamic subnuclear structures called PML nuclear bodies (PML-NBs), which are involved in regulating diverse cellular functions. However, the possibility of PML being involved in cardiac disease has not been
Lucio Barile et al.
Cardiovascular research, 103(4), 530-541 (2014-07-14)
Recent evidence suggests that cardiac progenitor cells (CPCs) may improve cardiac function after injury. The underlying mechanisms are indirect, but their mediators remain unidentified. Exosomes and other secreted membrane vesicles, hereafter collectively referred to as extracellular vesicles (EVs), act as
Meng-Huang Wu et al.
PloS one, 12(10), e0186784-e0186784 (2017-10-24)
This study evaluates the sustained analgesic effect of ketorolac-eluting thermosensitive biodegradable hydrogel in the plantar incisional pain model of the rat hind-paw. A ketorolac-embedded 2, 2'-Bis (2-oxazolin) (BOX) linking methoxy-poly(ethylene glycol) and poly(lactide-co-glycolide) (mPEG-PLGA) diblock copolymer (BOX copolymer) was synthesized
Our team of scientists has experience in all areas of research including Life Science, Material Science, Chemical Synthesis, Chromatography, Analytical and many others.
Contact Technical Service
