Skip to Content
Merck
CN

HPA051406

Anti-PRDM5 antibody produced in rabbit

Prestige Antibodies® Powered by Atlas Antibodies, affinity isolated antibody, buffered aqueous glycerol solution

Synonym(s):

Anti-PFM2, Anti-PR domain containing 5

Sign In to View Organizational & Contract Pricing.

Select a Size


About This Item

UNSPSC Code:
12352203
NACRES:
NA.41
Human Protein Atlas Number:
Conjugate:
unconjugated
Clone:
polyclonal
Application:
IF, IHC
Citations:
5
Technical Service
Need help? Our team of experienced scientists is here for you.
Let Us Assist
Technical Service
Need help? Our team of experienced scientists is here for you.
Let Us Assist

biological source

rabbit

conjugate

unconjugated

antibody form

affinity isolated antibody

antibody product type

primary antibodies

clone

polyclonal

product line

Prestige Antibodies® Powered by Atlas Antibodies

form

buffered aqueous glycerol solution

species reactivity

human

enhanced validation

orthogonal RNAseq
Learn more about Antibody Enhanced Validation

technique(s)

immunofluorescence: 0.25-2 μg/mL, immunohistochemistry: 1:200-1:500

immunogen sequence

GDARFVCKADSCGKRLKSKDALKRHQENVHTGDPKKKLICSVCNKKCSSASSLQEHRKIHEIFDCQECMKK

UniProt accession no.

shipped in

wet ice

storage temp.

−20°C

target post-translational modification

unmodified

Quality Level

Gene Information

human ... PRDM5(11107)

General description

PR/SET domain 5 (PRDM5) is a tumor suppressor gene. The protein belongs to the PRDI-BF1 and RIZ homology domain containing (PRDM) protein family and is a transcription factor. It is expressed in the retina and corneal epithelium. PRDM5 possesses 16 zinc fingers and an N-terminal PR domain. The gene encoding it is localized on human chromosome 4.

Immunogen

PR domain containing 5 recombinant protein epitope signature tag (PrEST)

Application

All Prestige Antibodies Powered by Atlas Antibodies are developed and validated by the Human Protein Atlas (HPA) project and as a result, are supported by the most extensive characterization in the industry.

The Human Protein Atlas project can be subdivided into three efforts: Human Tissue Atlas, Cancer Atlas, and Human Cell Atlas. The antibodies that have been generated in support of the Tissue and Cancer Atlas projects have been tested by immunohistochemistry against hundreds of normal and disease tissues and through the recent efforts of the Human Cell Atlas project, many have been characterized by immunofluorescence to map the human proteome not only at the tissue level but now at the subcellular level. These images and the collection of this vast data set can be viewed on the Human Protein Atlas (HPA) site by clicking on the Image Gallery link. We also provide Prestige Antibodies® protocols and other useful information.

Biochem/physiol Actions

PR/SET domain 5 (PRDM5) is an epigenetic regulator. (5) It may have a role in bone and corneal development. PRDM5 modulates the expression of extracellular matrix genes, especially fibrillar collagens. Mutations in the gene encoding the protein have been associated with brittle cornea syndrome.

Features and Benefits

Prestige Antibodies® are highly characterized and extensively validated antibodies with the added benefit of all available characterization data for each target being accessible via the Human Protein Atlas portal linked just below the product name at the top of this page. The uniqueness and low cross-reactivity of the Prestige Antibodies® to other proteins are due to a thorough selection of antigen regions, affinity purification, and stringent selection. Prestige antigen controls are available for every corresponding Prestige Antibody and can be found in the linkage section.

Every Prestige Antibody is tested in the following ways:
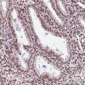
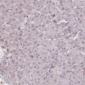
  • IHC tissue array of 44 normal human tissues and 20 of the most common cancer type tissues.
  • Protein array of 364 human recombinant protein fragments.

Physical form

Solution in phosphate buffered saline, pH 7.2, containing 40% glycerol and 0.02% sodium azide.

Other Notes

Corresponding Antigen APREST85549

Legal Information

Prestige Antibodies is a registered trademark of Merck KGaA, Darmstadt, Germany

Not finding the right product?  

Try our Product Selector Tool.

Storage Class

10 - Combustible liquids

wgk

WGK 1

flash_point_f

Not applicable

flash_point_c

Not applicable

Regulatory Information

新产品
This item has

Choose from one of the most recent versions:

Certificates of Analysis (COA)

Lot/Batch Number

Don't see the Right Version?

If you require a particular version, you can look up a specific certificate by the Lot or Batch number.

Already Own This Product?

Find documentation for the products that you have recently purchased in the Document Library.

Visit the Document Library

Bruch?s membrane abnormalities in PRDM5-related brittle cornea syndrome
Orphanet Journal of Rare Diseases, 10, 145-145 (2015)
Identification of Mutations in the PRDM5 Gene in Brittle Cornea Syndrome.
Micheal S
Cornea, 35(6), 853-859 (2016)
A role for repressive complexes and H3K9 di-methylation in PRDM5-associated brittle cornea syndrome
Louise Porter
Human Molecular Genetics, 24(23), 6565-6579 (2015)
Whole exome sequencing identifies a heterozygous missense variant in the PRDM5 gene in a family with Axenfeld?Rieger syndrome
Shazia Micheal
Neurogenetics, 17, 17-23 (2016)
Joana Pinto Couto et al.
The EMBO journal, 42(13), e112559-e112559 (2023-06-01)
Metastatic colonization of distant organs accounts for over 90% of deaths related to solid cancers, yet the molecular determinants of metastasis remain poorly understood. Here, we unveil a mechanism of colonization in the aggressive basal-like subtype of breast cancer that

Our team of scientists has experience in all areas of research including Life Science, Material Science, Chemical Synthesis, Chromatography, Analytical and many others.

Contact Technical Service