Skip to Content
Merck
CN

HPA049832

Anti-NTN4 antibody produced in rabbit

Prestige Antibodies® Powered by Atlas Antibodies, affinity isolated antibody, buffered aqueous glycerol solution

Synonym(s):

Anti-netrin 4

Sign In to View Organizational & Contract Pricing.

Select a Size


About This Item

UNSPSC Code:
12352203
NACRES:
NA.41
Human Protein Atlas Number:
Conjugate:
unconjugated
Clone:
polyclonal
Application:
IHC
Citations:
8
Technical Service
Need help? Our team of experienced scientists is here for you.
Let Us Assist
Technical Service
Need help? Our team of experienced scientists is here for you.
Let Us Assist

biological source

rabbit

conjugate

unconjugated

antibody form

affinity isolated antibody

antibody product type

primary antibodies

clone

polyclonal

product line

Prestige Antibodies® Powered by Atlas Antibodies

form

buffered aqueous glycerol solution

species reactivity

human

technique(s)

immunohistochemistry: 1:50- 1:200

immunogen sequence

AGVSSRCEKACNPRMGNLALGRKLWADTTCGQNATELYCFYSENTDLTCRQPKCDKCNAAYPHLAHLPSAMADSSFRFPRTWWQSAEDVHRE

UniProt accession no.

shipped in

wet ice

storage temp.

−20°C

target post-translational modification

unmodified

Quality Level

Gene Information

human ... NTN4(59277)

Looking for similar products? Visit Product Comparison Guide

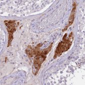
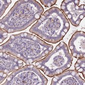
General description

NTN4 (netrin-4) belongs to the axon guidance molecule family. It is expressed in the inner lamina II (lamina IIi) neurons of the dorsal horn. It is located on chromosome 12q22.

Immunogen

netrin 4 recombinant protein epitope signature tag (PrEST)

Application

Anti-NTN4 antibody has been used in immunohistochemistry.

Biochem/physiol Actions

NTN4 (netrin-4) is responsible for increasing the mechanical and thermal sensitivity throughout neuropathic or inflammatory pain. It is actively involved in angiogenesis, lung branching, and salivary gland formation.

Features and Benefits

Prestige Antibodies® are highly characterized and extensively validated antibodies with the added benefit of all available characterization data for each target being accessible via the Human Protein Atlas portal linked just below the product name at the top of this page. The uniqueness and low cross-reactivity of the Prestige Antibodies® to other proteins are due to a thorough selection of antigen regions, affinity purification, and stringent selection. Prestige antigen controls are available for every corresponding Prestige Antibody and can be found in the linkage section.

Every Prestige Antibody is tested in the following ways:
  • IHC tissue array of 44 normal human tissues and 20 of the most common cancer type tissues.
  • Protein array of 364 human recombinant protein fragments.

Physical form

Solution in phosphate buffered saline, pH 7.2, containing 40% glycerol and 0.02% sodium azide.

Other Notes

Corresponding Antigen APREST85291

Legal Information

Prestige Antibodies is a registered trademark of Merck KGaA, Darmstadt, Germany

Disclaimer

Unless otherwise stated in our catalog or other company documentation accompanying the product(s), our products are intended for research use only and are not to be used for any other purpose, which includes but is not limited to, unauthorized commercial uses, in vitro diagnostic uses, ex vivo or in vivo therapeutic uses or any type of consumption or application to humans or animals.

Not finding the right product?  

Try our Product Selector Tool.

Storage Class

10 - Combustible liquids

wgk

WGK 1

flash_point_f

Not applicable

flash_point_c

Not applicable

Regulatory Information

低风险生物材料
常规特殊物品
常规特殊物品
This item has

Choose from one of the most recent versions:

Certificates of Analysis (COA)

Lot/Batch Number

Don't see the Right Version?

If you require a particular version, you can look up a specific certificate by the Lot or Batch number.

Already Own This Product?

Find documentation for the products that you have recently purchased in the Document Library.

Visit the Document Library

Gene expressions and copy numbers associated with metastatic phenotypes of uterine cervical cancer.
Lyng H, et al.
BMC Genomics, 7:268 (2006)
Netrin-4 regulates thalamocortical axon branching in an activity-dependent fashion.
Hayano Y, et al.
Proceedings of the National Academy of Sciences of the USA, 111(42), 15226-15231 (2014)
Lars Harbaum et al.
American journal of respiratory and critical care medicine, 205(12), 1449-1460 (2022-04-09)
Rationale: Pulmonary arterial hypertension (PAH) is characterized by structural remodeling of pulmonary arteries and arterioles. Underlying biological processes are likely reflected in a perturbation of circulating proteins. Objectives: To quantify and analyze the plasma proteome of patients with PAH using
Dorsal horn interneuron-derived Netrin-4 contributes to spinal sensitization in chronic pain via Unc5B.
Hayano Y, et al.
The Journal of Experimental Medicine, 213(13), 2949-2966 (2016)
Yu-Hao Huang et al.
International journal of biological sciences, 20(1), 265-279 (2024-01-03)
Endometrial carcinoma (EC) is a common type of uterine cancer in developed countries, originating from the uterine epithelium. The incidence rate of EC in Taiwan has doubled from 2005. Cancer stem cells (CSCs) are a subpopulation of cancer cells that

Our team of scientists has experience in all areas of research including Life Science, Material Science, Chemical Synthesis, Chromatography, Analytical and many others.

Contact Technical Service