Skip to Content
Merck
CN

HPA045697

Anti-KRT6A antibody produced in rabbit

Prestige Antibodies® Powered by Atlas Antibodies, affinity isolated antibody, buffered aqueous glycerol solution

Synonym(s):

Anti-CK6C, Anti-CK6D, Anti-K6C, Anti-K6D, Anti-KRT6C, Anti-KRT6D

Sign In to View Organizational & Contract Pricing.

Select a Size


About This Item

Human Protein Atlas Number:
UNSPSC Code:
12352203
Technique(s):
immunoblotting: 0.04-0.4 μg/mL, immunofluorescence: 0.25-2 μg/mL, immunohistochemistry: 1:200-1:500
Uniprot accession no.:
Application:
IF, IHC
Citations:
5
Technical Service
Need help? Our team of experienced scientists is here for you.
Let Us Assist
Technical Service
Need help? Our team of experienced scientists is here for you.
Let Us Assist

technique(s)

immunoblotting: 0.04-0.4 μg/mL, immunofluorescence: 0.25-2 μg/mL, immunohistochemistry: 1:200-1:500

immunogen sequence

MASTSTTIRSHSSSRRGFSANSARLPGVSRSGF

UniProt accession no.

shipped in

wet ice

storage temp.

−20°C

target post-translational modification

unmodified

enhanced validation

orthogonal RNAseq
Learn more about Antibody Enhanced Validation

biological source

rabbit

conjugate

unconjugated

antibody form

affinity isolated antibody

antibody product type

primary antibodies

clone

polyclonal

product line

Prestige Antibodies® Powered by Atlas Antibodies

form

buffered aqueous glycerol solution

species reactivity

human

Gene Information

human ... KRT6A(3853)

Looking for similar products? Visit Product Comparison Guide

General description

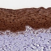
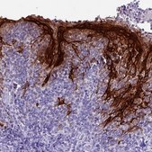
KRT6A (keratin 6A) is a cytoskeletal scaffolding protein, that is located on human chromosome 12q13. It is expressed in mammary luminal epithelial cells and body cells of terminal end buds. KRT6A belongs to the keratin 6 gene family.

Immunogen

keratin 6A, type II

Application

All Prestige Antibodies Powered by Atlas Antibodies are developed and validated by the Human Protein Atlas (HPA) project and as a result, are supported by the most extensive characterization in the industry.

The Human Protein Atlas project can be subdivided into three efforts: Human Tissue Atlas, Cancer Atlas, and Human Cell Atlas. The antibodies that have been generated in support of the Tissue and Cancer Atlas projects have been tested by immunohistochemistry against hundreds of normal and disease tissues and through the recent efforts of the Human Cell Atlas project, many have been characterized by immunofluorescence to map the human proteome not only at the tissue level but now at the subcellular level. These images and the collection of this vast data set can be viewed on the Human Protein Atlas (HPA) site by clicking on the Image Gallery link. We also provide Prestige Antibodies® protocols and other useful information.

Biochem/physiol Actions

KRT6A (keratin 6A) is involved in cell migration, cell differentiation and mechanical resilience of keratinocytes. Overexpression of KRT6A is linked with enhanced survival in breast cancer. Mutations in KRT6A results in pachyonychia congenita type 1 (PC-1).

Features and Benefits

Prestige Antibodies® are highly characterized and extensively validated antibodies with the added benefit of all available characterization data for each target being accessible via the Human Protein Atlas portal linked just below the product name at the top of this page. The uniqueness and low cross-reactivity of the Prestige Antibodies® to other proteins are due to a thorough selection of antigen regions, affinity purification, and stringent selection. Prestige antigen controls are available for every corresponding Prestige Antibody and can be found in the linkage section.

Every Prestige Antibody is tested in the following ways:
  • IHC tissue array of 44 normal human tissues and 20 of the most common cancer type tissues.
  • Protein array of 364 human recombinant protein fragments.

Physical form

Solution in phosphate buffered saline, pH 7.2, containing 40% glycerol and 0.02% sodium azide.

Legal Information

Prestige Antibodies is a registered trademark of Merck KGaA, Darmstadt, Germany

Not finding the right product?  

Try our Product Selector Tool.

Storage Class

10 - Combustible liquids

wgk

WGK 1

flash_point_f

Not applicable

flash_point_c

Not applicable

Regulatory Information

新产品
This item has

Choose from one of the most recent versions:

Certificates of Analysis (COA)

Lot/Batch Number

Don't see the Right Version?

If you require a particular version, you can look up a specific certificate by the Lot or Batch number.

Already Own This Product?

Find documentation for the products that you have recently purchased in the Document Library.

Visit the Document Library

Aberrant heterodimerization of keratin 16 with keratin 6A in HaCaT keratinocytes results in diminished cellular migration.
Trost A, et al.
Mechanisms of Ageing and Development, 131(5), 346-353 (2010)
Two novel de novo mutations of KRT6A and KRT16 genes in two Chinese pachyonychia congenita pedigrees with fissured tongue or diffuse plantar keratoderma.
Du Z F, et al.
European Journal of Dermatology, 22(4), 476-480 (2012)
Pancreatic cancer survival analysis defines a signature that predicts outcome.
Raman P, et al.
PLoS ONE, 13(8), e0201751-e0201751 (2018)
Keratin 6a marks mammary bipotential progenitor cells that can give rise to a unique tumor model resembling human normal-like breast cancer.
Bu W, et al.
Oncogene, 30(43), 4399-4399 (2011)
High-resolution transcript map of the region spanning D12S1629 and D12S312 at chromosome 12q13: triple A syndrome-linked region.
Lee H, et al.
Genome Research, 10(10), 1561-1567 (2000)

Our team of scientists has experience in all areas of research including Life Science, Material Science, Chemical Synthesis, Chromatography, Analytical and many others.

Contact Technical Service