Skip to Content
Merck
CN

HPA043312

Anti-UPK2 antibody produced in rabbit

Prestige Antibodies® Powered by Atlas Antibodies, affinity isolated antibody, buffered aqueous glycerol solution

Synonym(s):

Anti-MGC138598, Anti-UP2, Anti-UPII

Sign In to View Organizational & Contract Pricing.

Select a Size


About This Item

UNSPSC Code:
12352203
NACRES:
NA.41
Human Protein Atlas Number:
Conjugate:
unconjugated
Clone:
polyclonal
Application:
IHC
Citations:
5
Technical Service
Need help? Our team of experienced scientists is here for you.
Let Us Assist
Technical Service
Need help? Our team of experienced scientists is here for you.
Let Us Assist

Quality Level

biological source

rabbit

conjugate

unconjugated

antibody form

affinity isolated antibody

antibody product type

primary antibodies

clone

polyclonal

product line

Prestige Antibodies® Powered by Atlas Antibodies

form

buffered aqueous glycerol solution

species reactivity

human

enhanced validation

independent
orthogonal RNAseq
Learn more about Antibody Enhanced Validation

technique(s)

immunohistochemistry: 1:200-1:500

immunogen sequence

ISSLSGLLSPALTESLLVALPPCHLTGGNATLMVRRANDSKVVTSSFVVPPCRGRRELVS

UniProt accession no.

shipped in

wet ice

storage temp.

−20°C

target post-translational modification

unmodified

Gene Information

human ... UPK2(7379)

Looking for similar products? Visit Product Comparison Guide

General description

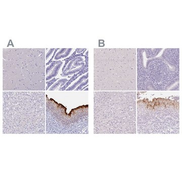
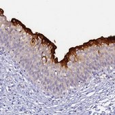
UPK2 (uroplakin II), a 15 kDa protein, is a constituent of the urothelial plaques. It is also termed as UPII. UPK2 gene codes for the single spanning transmembrane uroplakins UPK2a. This gene is located on human chromosome 11q23.3.

Immunogen

uroplakin 2

Application

All Prestige Antibodies Powered by Atlas Antibodies are developed and validated by the Human Protein Atlas (HPA) project and as a result, are supported by the most extensive characterization in the industry.

The Human Protein Atlas project can be subdivided into three efforts: Human Tissue Atlas, Cancer Atlas, and Human Cell Atlas. The antibodies that have been generated in support of the Tissue and Cancer Atlas projects have been tested by immunohistochemistry against hundreds of normal and disease tissues and through the recent efforts of the Human Cell Atlas project, many have been characterized by immunofluorescence to map the human proteome not only at the tissue level but now at the subcellular level. These images and the collection of this vast data set can be viewed on the Human Protein Atlas (HPA) site by clicking on the Image Gallery link. We also provide Prestige Antibodies® protocols and other useful information.

Biochem/physiol Actions

Uroplakin II (UPII) is considered as a sensitive marker for urothelial carcinoma (UC). It increases the permeability barrier and strength of the urothelium.

Features and Benefits

Prestige Antibodies® are highly characterized and extensively validated antibodies with the added benefit of all available characterization data for each target being accessible via the Human Protein Atlas portal linked just below the product name at the top of this page. The uniqueness and low cross-reactivity of the Prestige Antibodies® to other proteins are due to a thorough selection of antigen regions, affinity purification, and stringent selection. Prestige antigen controls are available for every corresponding Prestige Antibody and can be found in the linkage section.

Every Prestige Antibody is tested in the following ways:
  • IHC tissue array of 44 normal human tissues and 20 of the most common cancer type tissues.
  • Protein array of 364 human recombinant protein fragments.

Physical form

Solution in phosphate buffered saline, pH 7.2, containing 40% glycerol and 0.02% sodium azide.

Other Notes

Corresponding Antigen APREST81868

Legal Information

Prestige Antibodies is a registered trademark of Merck KGaA, Darmstadt, Germany

Disclaimer

Unless otherwise stated in our catalog or other company documentation accompanying the product(s), our products are intended for research use only and are not to be used for any other purpose, which includes but is not limited to, unauthorized commercial uses, in vitro diagnostic uses, ex vivo or in vivo therapeutic uses or any type of consumption or application to humans or animals.

Not finding the right product?  

Try our Product Selector Tool.

Storage Class

10 - Combustible liquids

wgk

WGK 1

flash_point_f

Not applicable

flash_point_c

Not applicable

Regulatory Information

低风险生物材料
常规特殊物品
This item has

Choose from one of the most recent versions:

Certificates of Analysis (COA)

Lot/Batch Number

Don't see the Right Version?

If you require a particular version, you can look up a specific certificate by the Lot or Batch number.

Already Own This Product?

Find documentation for the products that you have recently purchased in the Document Library.

Visit the Document Library

Utility of uroplakin II expression as a marker of urothelial carcinoma.
Tian W, et al.
Human Pathology, 46(1), 58-64 (2015)
A newly developed uroplakin II antibody with increased sensitivity in urothelial carcinoma of the bladder.
Hoang LL, et al.
Archives of Pathology & Laboratory Medicine, 138(7), 943-949 (2014)
Older patients with normal karyotype acute myeloid leukemia have a higher rate of genomic changes compared to young patients as determined by SNP array analysis.
Koren-Michowitz M, et al.
Leukemia Research, 36(4), 467-473 (2012)
The tetraspanin-associated uroplakins family (UPK2/3) is evolutionarily related to PTPRQ, a Phosphotyrosine Phosphatase Receptor.
Chicote JU, et al.
PLoS ONE, 12(1), e0170196-e0170196 (2017)
Ingrid Garzón et al.
Polymers, 13(10) (2021-06-03)
Several models of bioartificial human urothelial mucosa (UM) have been described recently. In this study, we generated novel tubularized UM substitutes using alternative sources of cells. Nanostructured fibrin-agarose biomaterials containing fibroblasts isolated from the human ureter were used as stroma

Our team of scientists has experience in all areas of research including Life Science, Material Science, Chemical Synthesis, Chromatography, Analytical and many others.

Contact Technical Service