Skip to Content
Merck
CN

HPA041802

Anti-IST1 antibody produced in rabbit

Prestige Antibodies® Powered by Atlas Antibodies, affinity isolated antibody, buffered aqueous glycerol solution

Synonym(s):

Anti-KIAA0174

Sign In to View Organizational & Contract Pricing.

Select a Size


About This Item

UNSPSC Code:
12352203
NACRES:
NA.43
Human Protein Atlas Number:
Conjugate:
unconjugated
Clone:
polyclonal
Application:
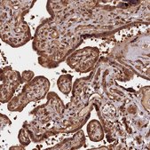
IHC
Citations:
3
Technical Service
Need help? Our team of experienced scientists is here for you.
Let Us Assist
Technical Service
Need help? Our team of experienced scientists is here for you.
Let Us Assist

biological source

rabbit

conjugate

unconjugated

antibody form

affinity isolated antibody

antibody product type

primary antibodies

clone

polyclonal

product line

Prestige Antibodies® Powered by Atlas Antibodies

form

buffered aqueous glycerol solution

species reactivity

human

technique(s)

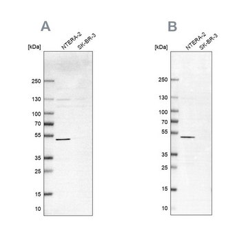
immunoblotting: 0.04-0.4 μg/mL, immunohistochemistry: 1:20-1:50

immunogen sequence

APRLQSEVAELKIVADQLCAKYSKEYGKLCRTNQIGTVNDRLMHKLSVEAPPKILVERYLIEIAKNYNVPYEPDSVVMAEAPPGVETDLIDVGFTDD

shipped in

wet ice

storage temp.

−20°C

target post-translational modification

unmodified

Quality Level

Gene Information

human ... KIAA0174(9798)

Looking for similar products? Visit Product Comparison Guide

General description

The increased sodium tolerance 1 (IST1) gene, also known as OLC1/ KIAA0174, spans 33.47kb and is mapped to human chromosome 16q22.2. IST1 protein is composed of 364 amino acids and is characterized by a two distinct MIT interacting motifs (MIM1 and MIM2) that binds to components of endosomal sorting complexes required for transport (ESCRT).

Immunogen

KIAA0174 recombinant protein epitope signature tag (PrEST)

Application

All Prestige Antibodies Powered by Atlas Antibodies are developed and validated by the Human Protein Atlas (HPA) project and as a result, are supported by the most extensive characterization in the industry.

The Human Protein Atlas project can be subdivided into three efforts: Human Tissue Atlas, Cancer Atlas, and Human Cell Atlas. The antibodies that have been generated in support of the Tissue and Cancer Atlas projects have been tested by immunohistochemistry against hundreds of normal and disease tissues and through the recent efforts of the Human Cell Atlas project, many have been characterized by immunofluorescence to map the human proteome not only at the tissue level but now at the subcellular level. These images and the collection of this vast data set can be viewed on the Human Protein Atlas (HPA) site by clicking on the Image Gallery link. We also provide Prestige Antibodies® protocols and other useful information.

Biochem/physiol Actions

Increased sodium tolerance 1 (IST1) plays a vital role in endosomal sorting complexes required for transport (ESCRT) pathway. It also promotes efficient abscission during HeLa cell cytokinesis. IST1 interacts with charged multivesicular body protein 1 (CHMP1) and regulates the activity of vacuolar protein sorting-associated protein 4 (VPS4), which plays an essential role during the final stages of cell division. Mutations in the gene is associated with the development of esophageal squamous cell carcinoma.

Features and Benefits

Prestige Antibodies® are highly characterized and extensively validated antibodies with the added benefit of all available characterization data for each target being accessible via the Human Protein Atlas portal linked just below the product name at the top of this page. The uniqueness and low cross-reactivity of the Prestige Antibodies® to other proteins are due to a thorough selection of antigen regions, affinity purification, and stringent selection. Prestige antigen controls are available for every corresponding Prestige Antibody and can be found in the linkage section.

Every Prestige Antibody is tested in the following ways:
  • IHC tissue array of 44 normal human tissues and 20 of the most common cancer type tissues.
  • Protein array of 364 human recombinant protein fragments.

Physical form

Solution in phosphate buffered saline, pH 7.2, containing 40% glycerol and 0.02% sodium azide.

Other Notes

Corresponding Antigen APREST82331

Legal Information

Prestige Antibodies is a registered trademark of Merck KGaA, Darmstadt, Germany

Disclaimer

Unless otherwise stated in our catalog or other company documentation accompanying the product(s), our products are intended for research use only and are not to be used for any other purpose, which includes but is not limited to, unauthorized commercial uses, in vitro diagnostic uses, ex vivo or in vivo therapeutic uses or any type of consumption or application to humans or animals.

Not finding the right product?  

Try our Product Selector Tool.

wgk

WGK 1

Storage Class

10 - Combustible liquids

flash_point_f

Not applicable

flash_point_c

Not applicable

Regulatory Information

新产品
This item has

Choose from one of the most recent versions:

Certificates of Analysis (COA)

Lot/Batch Number

Don't see the Right Version?

If you require a particular version, you can look up a specific certificate by the Lot or Batch number.

Already Own This Product?

Find documentation for the products that you have recently purchased in the Document Library.

Visit the Document Library

Biochemical analyses of human IST1 and its function in cytokinesis.
Bajorek M
Molecular Biology of the Cell, 20(5), 1360-1373 (2009)
Overexpression of OLC1 promotes tumorigenesis of human esophageal squamous cell carcinoma.
Li X
PLoS ONE, 9(3), e90958-e90958 (2014)
Ist1 regulates Vps4 localization and assembly.
Dimaano C
Molecular Biology of the Cell, 19(2), 465-474 (2008)

Our team of scientists has experience in all areas of research including Life Science, Material Science, Chemical Synthesis, Chromatography, Analytical and many others.

Contact Technical Service