Skip to Content
Merck
CN

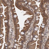
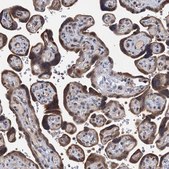
HPA041430

Anti-CMPK2 antibody produced in rabbit

Prestige Antibodies® Powered by Atlas Antibodies, affinity isolated antibody, buffered aqueous glycerol solution

Synonym(s):

Anti-Cytidine monophosphate (ump-cmp) kinase 2, mitochondrial, Anti-Tyki, Anti-Ump-cmpk2

Sign In to View Organizational & Contract Pricing.

Select a Size


About This Item

UNSPSC Code:
12352203
Human Protein Atlas Number:
Conjugate:
unconjugated
Clone:
polyclonal
Application:
IF, IHC
Citations:
3
Technical Service
Need help? Our team of experienced scientists is here for you.
Let Us Assist
Technical Service
Need help? Our team of experienced scientists is here for you.
Let Us Assist

biological source

rabbit

conjugate

unconjugated

antibody form

affinity isolated antibody

antibody product type

primary antibodies

clone

polyclonal

product line

Prestige Antibodies® Powered by Atlas Antibodies

form

buffered aqueous glycerol solution

species reactivity

human

technique(s)

immunofluorescence: 0.25-2 μg/mL, immunohistochemistry: 1:50-1:200

immunogen sequence

ECTSFIPEARAVLDLVDQCPKQIQKGKFQVVAIEGLDATGKTTVTQSVADSLKAVLLKSPPSCIGQWRKIFDDEPTIIRRAFYSLGNYIVASEIAKESAKSPV

UniProt accession no.

shipped in

wet ice

storage temp.

−20°C

target post-translational modification

unmodified

Gene Information

human ... CMPK2(129607)

Looking for similar products? Visit Product Comparison Guide

General description

Cytidine/uridine monophosphate kinase 2 (CMPK2) is present in mitochondria and belongs to the nucleoside monophosphate kinase family. CMPK2 is mapped to human chromosome 2p25.2. It has C–terminal thymidylate kinase domain.

Immunogen

cytidine monophosphate (UMP-CMP) kinase 2, mitochondrial recombinant protein epitope signature tag (PrEST)

Application

All Prestige Antibodies Powered by Atlas Antibodies are developed and validated by the Human Protein Atlas (HPA) project and as a result, are supported by the most extensive characterization in the industry.

The Human Protein Atlas project can be subdivided into three efforts: Human Tissue Atlas, Cancer Atlas, and Human Cell Atlas. The antibodies that have been generated in support of the Tissue and Cancer Atlas projects have been tested by immunohistochemistry against hundreds of normal and disease tissues and through the recent efforts of the Human Cell Atlas project, many have been characterized by immunofluorescence to map the human proteome not only at the tissue level but now at the subcellular level. These images and the collection of this vast data set can be viewed on the Human Protein Atlas (HPA) site by clicking on the Image Gallery link. We also provide Prestige Antibodies® protocols and other useful information.

Biochem/physiol Actions

Cytidine/uridine monophosphate kinase 2 (CMPK2) is part of the deoxyribonucleotide biosynthetic pathway. CMPK2 is highly expressed in chronic myelogenous leukemia.

Features and Benefits

Prestige Antibodies® are highly characterized and extensively validated antibodies with the added benefit of all available characterization data for each target being accessible via the Human Protein Atlas portal linked just below the product name at the top of this page. The uniqueness and low cross-reactivity of the Prestige Antibodies® to other proteins are due to a thorough selection of antigen regions, affinity purification, and stringent selection. Prestige antigen controls are available for every corresponding Prestige Antibody and can be found in the linkage section.

Every Prestige Antibody is tested in the following ways:
  • IHC tissue array of 44 normal human tissues and 20 of the most common cancer type tissues.
  • Protein array of 364 human recombinant protein fragments.

Physical form

Solution in phosphate buffered saline, pH 7.2, containing 40% glycerol and 0.02% sodium azide.

Other Notes

Corresponding Antigen APREST81936

Legal Information

Prestige Antibodies is a registered trademark of Merck KGaA, Darmstadt, Germany

Not finding the right product?  

Try our Product Selector Tool.

Storage Class

10 - Combustible liquids

wgk

WGK 1

flash_point_f

Not applicable

flash_point_c

Not applicable

Regulatory Information

常规特殊物品
This item has

Choose from one of the most recent versions:

Certificates of Analysis (COA)

Lot/Batch Number

Don't see the Right Version?

If you require a particular version, you can look up a specific certificate by the Lot or Batch number.

Already Own This Product?

Find documentation for the products that you have recently purchased in the Document Library.

Visit the Document Library

Human UMP-CMP kinase 2, a novel nucleoside monophosphate kinase localized in mitochondria
Xu Y, et al.
The Journal of Biological Chemistry, 283(3), 1563-1571 (2008)
Mujing Ke
Oxidative medicine and cellular longevity, 2022, 3124122-3124122 (2022-12-27)
Immunotherapy has a good therapeutic effect and provides a new approach for cancer treatment. However, only limited studies have focused on the use of molecular typing to construct an immune characteristic index for gene expression in pancreatic adenocarcinoma (PAAD) and
Prabhakar Arumugam et al.
Frontiers in immunology, 13, 935710-935710 (2022-12-02)
In addition to their role in cellular energy production, mitochondria are increasingly recognized as regulators of the innate immune response of phagocytes. Here, we demonstrate that altering expression levels of the mitochondria-associated enzyme, cytidine monophosphate kinase 2 (CMPK2), disrupts mitochondrial

Our team of scientists has experience in all areas of research including Life Science, Material Science, Chemical Synthesis, Chromatography, Analytical and many others.

Contact Technical Service