Skip to Content
Merck
CN

HPA040586

Anti-PLXNB1 antibody produced in rabbit

Prestige Antibodies® Powered by Atlas Antibodies, affinity isolated antibody, buffered aqueous glycerol solution

Synonym(s):

Anti-Kiaa0407, Anti-Plexin b1, Anti-Plxn5, Anti-Sep

Sign In to View Organizational & Contract Pricing.

Select a Size


About This Item

UNSPSC Code:
12352203
NACRES:
NA.41
Human Protein Atlas Number:
Conjugate:
unconjugated
Clone:
polyclonal
Application:
IHC
Citations:
6
Technical Service
Need help? Our team of experienced scientists is here for you.
Let Us Assist
Technical Service
Need help? Our team of experienced scientists is here for you.
Let Us Assist

biological source

rabbit

conjugate

unconjugated

antibody form

affinity isolated antibody

antibody product type

primary antibodies

clone

polyclonal

product line

Prestige Antibodies® Powered by Atlas Antibodies

form

buffered aqueous glycerol solution

species reactivity

human

enhanced validation

orthogonal RNAseq
Learn more about Antibody Enhanced Validation

technique(s)

immunoblotting: 0.04-0.4 μg/mL, immunohistochemistry: 1:20-1:50

immunogen sequence

PGDNECVMELEGLEVVVEARVECEPPPDTQCHVTCQQHQLSYEALQPELRVGLFLRRAGRLRVDSAEGLHVVLYDCSVGHGDCSRCQTAMPQYGCVWC

UniProt accession no.

shipped in

wet ice

storage temp.

−20°C

target post-translational modification

unmodified

Quality Level

Gene Information

human ... PLXNB1(5364)

General description

Plexin B1 (PLXNB1) gene spanning 21kb with 37 exons is mapped to human chromosome 3p21.31. The encoded protein is predominantly expressed in fetal kidney, digestive system, thyroid, prostate and trachea and is also expressed at lower levels in fetal brain, lung, female reproductive system and liver. PLXNB1 is a member of the plexin family and is characterized with a three IPT (Ig-like, plexins, transcription factors) /TIG domains and one Sema domain.

Immunogen

plexin B1 recombinant protein epitope signature tag (PrEST)

Application

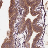
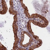
Anti-PLXNB1 antibody produced in rabbit has been used in immunohistochemistry.

Biochem/physiol Actions

Plexin B1 (PLXNB1) interacts with its ligand semaphorin4D (Sema4D) and induces androgen receptor (AR) transcriptional activity by stimulating translocation of AR to the nucleus. It plays a vital role in in signal transduction, intracellular signaling cascade, multicellular organismal development, cell migration, angiogenesis and positive regulation of axonogenesis. Mutation of the gene or elevated expression of the protein is associated with the pathogenesis of prostate cancer. PLXNB1 inhibits the glioma invasiveness and angiogenesis via controlling the Ras homolog gene family, member A (RhoA) /αvβ3/ phosphoinositide-3-kinase/Akt (PI3K/Akt) signaling pathway and serine-arginine protein kinase 1 (SRPK1).Thus, this protein can be considered as a potential therapeutic target for the glioma invasion and angiogenesis.

Features and Benefits

Prestige Antibodies® are highly characterized and extensively validated antibodies with the added benefit of all available characterization data for each target being accessible via the Human Protein Atlas portal linked just below the product name at the top of this page. The uniqueness and low cross-reactivity of the Prestige Antibodies® to other proteins are due to a thorough selection of antigen regions, affinity purification, and stringent selection. Prestige antigen controls are available for every corresponding Prestige Antibody and can be found in the linkage section.

Every Prestige Antibody is tested in the following ways:
  • IHC tissue array of 44 normal human tissues and 20 of the most common cancer type tissues.
  • Protein array of 364 human recombinant protein fragments.

Physical form

Solution in phosphate buffered saline, pH 7.2, containing 40% glycerol and 0.02% sodium azide.

Other Notes

Corresponding Antigen APREST79469

Legal Information

Prestige Antibodies is a registered trademark of Merck KGaA, Darmstadt, Germany

Disclaimer

Unless otherwise stated in our catalog or other company documentation accompanying the product(s), our products are intended for research use only and are not to be used for any other purpose, which includes but is not limited to, unauthorized commercial uses, in vitro diagnostic uses, ex vivo or in vivo therapeutic uses or any type of consumption or application to humans or animals.

Not finding the right product?  

Try our Product Selector Tool.

Storage Class

10 - Combustible liquids

wgk

WGK 1

flash_point_f

Not applicable

flash_point_c

Not applicable

Regulatory Information

新产品
This item has

Choose from one of the most recent versions:

Certificates of Analysis (COA)

Lot/Batch Number

Don't see the Right Version?

If you require a particular version, you can look up a specific certificate by the Lot or Batch number.

Already Own This Product?

Find documentation for the products that you have recently purchased in the Document Library.

Visit the Document Library

M Williamson et al.
Oncogene, 35(8), 1066-1072 (2015-05-20)
Semaphorins and their receptors plexins have diverse roles in many cancers affecting tumour growth, metastasis and angiogenesis. Plexin-B1, the receptor for semaphorin4D (Sema4D), has been implicated in prostate cancer where mutation of the gene and overexpression of the protein occur.
Yong Huang et al.
Nature neuroscience, 27(8), 1489-1504 (2024-05-28)
Communication between glial cells has a profound impact on the pathophysiology of Alzheimer's disease (AD). We reveal here that reactive astrocytes control cell distancing in peri-plaque glial nets, which restricts microglial access to amyloid deposits. This process is governed by
Jean-Loup Huret et al.
Nucleic acids research, 41(Database issue), D920-D924 (2012-11-20)
The Atlas of Genetics and Cytogenetics in Oncology and Haematology (http://AtlasGeneticsOncology.org) is a peer-reviewed internet journal/encyclopaedia/database focused on genes implicated in cancer, cytogenetics and clinical entities in cancer and cancer-prone hereditary diseases. The main goal of the Atlas is to
Tetsuro Ikeya et al.
BMC cancer, 16, 525-525 (2016-07-28)
Binding to Sema4D and PlexinB1 induce angiogenesis and invasive growth in colorectal cancer (CRC). The expression of Semaphorin4D (Sema4D) and PlexinB1 has been shown to be related to the prognosis of patients with various malignancies. However, the correlation between the
Yingwei Chang et al.
Tumour biology : the journal of the International Society for Oncodevelopmental Biology and Medicine, 37(8), 11225-11236 (2016-03-06)
Gliomas are one of the most common primary brain tumors in adults. They display aggressive invasiveness, are highly vascular, and have a poor prognosis. Plexin-B1 is involved in numerous cellular processes, especially cellular migration and angiogenesis. However, the role and

Our team of scientists has experience in all areas of research including Life Science, Material Science, Chemical Synthesis, Chromatography, Analytical and many others.

Contact Technical Service