Skip to Content
Merck
CN

HPA028701

Anti-ATP6V1G3 antibody produced in rabbit

Prestige Antibodies® Powered by Atlas Antibodies, affinity isolated antibody, buffered aqueous glycerol solution

Synonym(s):

Anti-ATP6G3, Anti-ATPase, H+ transporting, lysosomal 13kDa, V1 subunit G3, Anti-Vma10

Sign In to View Organizational & Contract Pricing.

Select a Size


About This Item

UNSPSC Code:
12352203
NACRES:
NA.41
Human Protein Atlas Number:
Conjugate:
unconjugated
Clone:
polyclonal
Application:
IHC
Citations:
6
Technical Service
Need help? Our team of experienced scientists is here for you.
Let Us Assist
Technical Service
Need help? Our team of experienced scientists is here for you.
Let Us Assist

biological source

rabbit

conjugate

unconjugated

antibody form

affinity isolated antibody

antibody product type

primary antibodies

clone

polyclonal

product line

Prestige Antibodies® Powered by Atlas Antibodies

form

buffered aqueous glycerol solution

species reactivity

human

enhanced validation

orthogonal RNAseq
Learn more about Antibody Enhanced Validation

technique(s)

immunohistochemistry: 1:5000-1:10000

immunogen sequence

AKEEAMVEIDQYRMQRDKEFRLKQSKIMGSQNNLSDEIEEQTLGKIQELNGHYNKYMESVMNQLLSMVCDMKPEIHVNYR

UniProt accession no.

shipped in

wet ice

storage temp.

−20°C

target post-translational modification

unmodified

Quality Level

Gene Information

human ... ATP6V1G3(127124)

General description

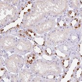
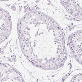
ATP6V1G3 (ATPase, H+ transporting, lysosomal, V1 subunit G3) belongs to the V1 sector of V-ATPase (vacuolar H+ ATPase). It encodes a constituent of vacuolar proton-pumping ATPase. Its expression is restricted to the kidney and inner ear.

Immunogen

ATPase, H+ transporting, lysosomal 13kDa, V1 subunit G3 recombinant protein epitope signature tag (PrEST)

Application

All Prestige Antibodies Powered by Atlas Antibodies are developed and validated by the Human Protein Atlas (HPA) project and as a result, are supported by the most extensive characterization in the industry.

The Human Protein Atlas project can be subdivided into three efforts: Human Tissue Atlas, Cancer Atlas, and Human Cell Atlas. The antibodies that have been generated in support of the Tissue and Cancer Atlas projects have been tested by immunohistochemistry against hundreds of normal and disease tissues and through the recent efforts of the Human Cell Atlas project, many have been characterized by immunofluorescence to map the human proteome not only at the tissue level but now at the subcellular level. These images and the collection of this vast data set can be viewed on the Human Protein Atlas (HPA) site by clicking on the Image Gallery link. We also provide Prestige Antibodies® protocols and other useful information.

Biochem/physiol Actions

ATP6V1G3 (ATPase, H+ transporting, lysosomal, V1 subunit G3) plays a major role in differentiating between chromophobe RCC (renal cell carcinoma) and other subtypes of RCC. Vacuolar proton-pumping ATPase containing ATP6V1G participates in organelle and synaptic vesicle acidification. It is a highly delicate and particular immunohistochemical marker for chromophobe RCC (renal cell carcinoma) and oncocytoma.

Features and Benefits

Prestige Antibodies® are highly characterized and extensively validated antibodies with the added benefit of all available characterization data for each target being accessible via the Human Protein Atlas portal linked just below the product name at the top of this page. The uniqueness and low cross-reactivity of the Prestige Antibodies® to other proteins are due to a thorough selection of antigen regions, affinity purification, and stringent selection. Prestige antigen controls are available for every corresponding Prestige Antibody and can be found in the linkage section.

Every Prestige Antibody is tested in the following ways:
  • IHC tissue array of 44 normal human tissues and 20 of the most common cancer type tissues.
  • Protein array of 364 human recombinant protein fragments.

Physical form

Solution in phosphate-buffered saline, pH 7.2, containing 40% glycerol and 0.02% sodium azide.

Other Notes

Corresponding Antigen APREST76890

Legal Information

Prestige Antibodies is a registered trademark of Merck KGaA, Darmstadt, Germany

Disclaimer

Unless otherwise stated in our catalog or other company documentation accompanying the product(s), our products are intended for research use only and are not to be used for any other purpose, which includes but is not limited to, unauthorized commercial uses, in vitro diagnostic uses, ex vivo or in vivo therapeutic uses or any type of consumption or application to humans or animals.

Not finding the right product?  

Try our Product Selector Tool.

Storage Class

10 - Combustible liquids

wgk

WGK 1

flash_point_f

Not applicable

flash_point_c

Not applicable

Regulatory Information

新产品
This item has

Choose from one of the most recent versions:

Certificates of Analysis (COA)

Lot/Batch Number

Don't see the Right Version?

If you require a particular version, you can look up a specific certificate by the Lot or Batch number.

Already Own This Product?

Find documentation for the products that you have recently purchased in the Document Library.

Visit the Document Library

The vacuolar H+ ATPase is a novel therapeutic target for glioblastoma.
Di Cristofori A, et al.
Oncotarget, 6(19), 17514-17531 (2015)
V1 and V0 domains of the human H+-ATPase are linked by an interaction between the G and a subunits.
Norgett EE, et al.
The Journal of Biological Chemistry, 282(19), 14421-14427 (2007)
BSND and ATP6V1G3: Novel Immunohistochemical Markers for Chromophobe Renal Cell Carcinoma.
Shinmura K, et al.
Medicine, 94(24), e989-e989 (2015)
Recently proposed oncocytic variant of chromophobe renal cell carcinoma (RCC) expressing BSND and ATP6V1G3: two new immunohistochemical markers differentiating chromophobe RCC from other RCC subtypes.
Shogo Tajima, et al.
International Journal of Clinical and Experimental Pathology, 9(2), 2374-2381 (2016)
Laura J Scott et al.
Proceedings of the National Academy of Sciences of the United States of America, 106(18), 7501-7506 (2009-05-07)
Bipolar disorder (BP) is a disabling and often life-threatening disorder that affects approximately 1% of the population worldwide. To identify genetic variants that increase the risk of BP, we genotyped on the Illumina HumanHap550 Beadchip 2,076 bipolar cases and 1,676

Our team of scientists has experience in all areas of research including Life Science, Material Science, Chemical Synthesis, Chromatography, Analytical and many others.

Contact Technical Service