Skip to Content
Merck
CN

HPA025951

Anti-MRPL37 antibody produced in rabbit

Prestige Antibodies® Powered by Atlas Antibodies, affinity isolated antibody, buffered aqueous glycerol solution, Ab3

Synonym(s):

Anti-39S ribosomal protein L37, mitochondrial, Anti-L37mt, Anti-MRP-L37

Sign In to View Organizational & Contract Pricing.

Select a Size


About This Item

UNSPSC Code:
12352203
NACRES:
NA.41
Human Protein Atlas Number:
Species reactivity:
human
Conjugate:
unconjugated
Application:
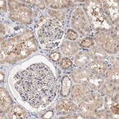
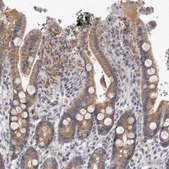
IF, IHC
Citations:
4
Technical Service
Need help? Our team of experienced scientists is here for you.
Let Us Assist
Technical Service
Need help? Our team of experienced scientists is here for you.
Let Us Assist

species reactivity

human

biological source

rabbit

conjugate

unconjugated

antibody form

affinity isolated antibody

antibody product type

primary antibodies

clone

polyclonal

product line

Prestige Antibodies® Powered by Atlas Antibodies

form

buffered aqueous glycerol solution

enhanced validation

orthogonal RNAseq
Learn more about Antibody Enhanced Validation

technique(s)

immunofluorescence: 0.25-2 μg/mL, immunohistochemistry: 1:200-1:500

immunogen sequence

LTKTKLIEGLPEKVLSLVDDPRNHIENQDECVLNVISHARLWQTTEEIPKRETYCPVIVDNLIQLCKSQILKHP

UniProt accession no.

shipped in

wet ice

storage temp.

−20°C

target post-translational modification

unmodified

Quality Level

Gene Information

human ... MRPL37(51253)

Looking for similar products? Visit Product Comparison Guide

General description

The gene MRPL37 (mitochondrial ribosomal protein L37) is mapped to human chromosome 1p32.3. The gene encodes a mitochondrial ribosomal protein of the large subunit. The MRPL37 protein associates with MTO1 (mitochondrial translation optimization factor 1), a regulator of mitochondrial translation.

Immunogen

39S ribosomal protein L37, mitochondrial Precursor recombinant protein epitope signature tag (PrEST)

Application

All Prestige Antibodies®Powered by Atlas Antibodies is developed and validated by the Human Protein Atlas (HPA) project . Each antibody is tested by immunohistochemistry against hundreds of normal and disease tissues. These images can be viewed on the Human Protein Atlas (HPA) site by clicking on the Image Gallery link. We also provide Prestige Antibodies® protocols and other useful information.
Anti-MRPL37 antibody produced in rabbit has been used for immunofluorescence.

Features and Benefits

Prestige Antibodies® are highly characterized and extensively validated antibodies with the added benefit of all available characterization data for each target being accessible via the Human Protein Atlas portal linked just below the product name at the top of this page. The uniqueness and low cross-reactivity of the Prestige Antibodies® to other proteins are due to a thorough selection of antigen regions, affinity purification, and stringent selection. Prestige antigen controls are available for every corresponding Prestige Antibody and can be found in the linkage section.

Every Prestige Antibody is tested in the following ways:
  • IHC tissue array of 44 normal human tissues and 20 of the most common cancer type tissues.
  • Protein array of 364 human recombinant protein fragments.

Physical form

Solution in phosphate-buffered saline, pH 7.2, containing 40% glycerol and 0.02% sodium azide

Other Notes

Corresponding Antigen APREST76584

Legal Information

Prestige Antibodies is a registered trademark of Merck KGaA, Darmstadt, Germany

Not finding the right product?  

Try our Product Selector Tool.

Storage Class

10 - Combustible liquids

wgk

WGK 1

flash_point_f

Not applicable

flash_point_c

Not applicable

Regulatory Information

新产品
This item has

Choose from one of the most recent versions:

Certificates of Analysis (COA)

Lot/Batch Number

Don't see the Right Version?

If you require a particular version, you can look up a specific certificate by the Lot or Batch number.

Already Own This Product?

Find documentation for the products that you have recently purchased in the Document Library.

Visit the Document Library

RNA deep sequencing as a tool for selection of cell lines for systematic subcellular localization of all human proteins.
Danielsson F, et al.
Journal of Proteome Research, 12, 299-307 (2013)
Sex-specific regulation of mitochondrial DNA levels: genome-wide linkage analysis to identify quantitative trait loci.
Lopez S
PLoS ONE, 7, e42711-e42711 (2012)
MTO1 mediates tissue specificity of OXPHOS defects via tRNA modification and translation optimization, which can be bypassed by dietary intervention.
Tischner C
Human Molecular Genetics, 24, 2247-2266 (2015)
Reconstructing the evolution of the mitochondrial ribosomal proteome.
Smits P
Nucleic Acids Research, 35, 4686-4703 (2007)

Our team of scientists has experience in all areas of research including Life Science, Material Science, Chemical Synthesis, Chromatography, Analytical and many others.

Contact Technical Service