Skip to Content
Merck
CN

HPA024768

Anti-LRRC45 antibody produced in rabbit

Prestige Antibodies® Powered by Atlas Antibodies, affinity isolated antibody, buffered aqueous glycerol solution

Synonym(s):

Anti-APEG1, Anti-BPEG, Anti-KIAA1297, Anti-MGC12676, Anti-MGC20806, Anti-SPEGα, Anti-SPEGβ, Anti-leucine rich repeat containing 45

Sign In to View Organizational & Contract Pricing.

Select a Size


About This Item

UNSPSC Code:
12352203
NACRES:
NA.41
Human Protein Atlas Number:
Conjugate:
unconjugated
Clone:
polyclonal
Application:
IHC
Citations:
5
Technical Service
Need help? Our team of experienced scientists is here for you.
Let Us Assist
Technical Service
Need help? Our team of experienced scientists is here for you.
Let Us Assist

biological source

rabbit

conjugate

unconjugated

antibody form

affinity isolated antibody

antibody product type

primary antibodies

clone

polyclonal

product line

Prestige Antibodies® Powered by Atlas Antibodies

form

buffered aqueous glycerol solution

species reactivity

human

enhanced validation

independent
orthogonal RNAseq
Learn more about Antibody Enhanced Validation

technique(s)

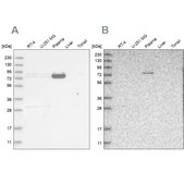
immunoblotting: 0.04-0.4 μg/mL, immunohistochemistry: 1:200-1:500

immunogen sequence

MTSMSAELKMRAIQAEERLDMEKRRCRQSLEDSESLRIREVEHMTRHLEESEKAMQERVQRLEAARLSLEEELSRVKAAALSERGQAEEELIKAKSQARLEEQQRLAHLEDKLR

UniProt accession no.

shipped in

wet ice

storage temp.

−20°C

target post-translational modification

unmodified

Quality Level

Gene Information

human ... LRRC45(201255)

Looking for similar products? Visit Product Comparison Guide

General description

The gene LRRC45 (leucine rich repeat containing 45) encodes a 72kDa protein that contains several N-terminal leucine-rich repeat (LRR) domains and a long coiled-coil domain at the C terminus. It is localized at the proximal ends of the mother and daughter centrioles forming fiber-like structures. It also forms a ring-like structure at the distal end of the mother centriole. The gene is mapped to human chromosome 17q25.3.

Immunogen

leucine rich repeat containing 45 recombinant protein epitope signature tag (PrEST)

Application

All Prestige Antibodies Powered by Atlas Antibodies are developed and validated by the Human Protein Atlas (HPA) project and as a result, are supported by the most extensive characterization in the industry.

The Human Protein Atlas project can be subdivided into three efforts: Human Tissue Atlas, Cancer Atlas, and Human Cell Atlas. The antibodies that have been generated in support of the Tissue and Cancer Atlas projects have been tested by immunohistochemistry against hundreds of normal and disease tissues and through the recent efforts of the Human Cell Atlas project, many have been characterized by immunofluorescence to map the human proteome not only at the tissue level but now at the subcellular level. These images and the collection of this vast data set can be viewed on the Human Protein Atlas (HPA) site by clicking on the Image Gallery link. We also provide Prestige Antibodies® protocols and other useful information.

Biochem/physiol Actions

The gene LRRC45 (leucine rich repeat containing 45) encodes a centrosome linker that facilitates centrosome cohesion. It associates with the proteins C-Nap1 and rootletin, which are phosphorylated and dissociated from the centrosome by Nek2A at the beginning of mitosis. This results in the displacement of LRRC45 from the centrosome during mitosis. Lack of LRRC45 protein leads to centrosome splitting during interphase.

Features and Benefits

Prestige Antibodies® are highly characterized and extensively validated antibodies with the added benefit of all available characterization data for each target being accessible via the Human Protein Atlas portal linked just below the product name at the top of this page. The uniqueness and low cross-reactivity of the Prestige Antibodies® to other proteins are due to a thorough selection of antigen regions, affinity purification, and stringent selection. Prestige antigen controls are available for every corresponding Prestige Antibody and can be found in the linkage section.

Every Prestige Antibody is tested in the following ways:
  • IHC tissue array of 44 normal human tissues and 20 of the most common cancer type tissues.
  • Protein array of 364 human recombinant protein fragments.

Physical form

Solution in phosphate-buffered saline, pH 7.2, containing 40% glycerol and 0.02% sodium azide.

Other Notes

Corresponding Antigen APREST75797

Legal Information

Prestige Antibodies is a registered trademark of Merck KGaA, Darmstadt, Germany

Disclaimer

Unless otherwise stated in our catalog or other company documentation accompanying the product(s), our products are intended for research use only and are not to be used for any other purpose, which includes but is not limited to, unauthorized commercial uses, in vitro diagnostic uses, ex vivo or in vivo therapeutic uses or any type of consumption or application to humans or animals.

Not finding the right product?  

Try our Product Selector Tool.

Storage Class

10 - Combustible liquids

wgk

WGK 1

flash_point_f

Not applicable

flash_point_c

Not applicable

Regulatory Information

常规特殊物品
低风险生物材料
This item has

Choose from one of the most recent versions:

Certificates of Analysis (COA)

Lot/Batch Number

Don't see the Right Version?

If you require a particular version, you can look up a specific certificate by the Lot or Batch number.

Already Own This Product?

Find documentation for the products that you have recently purchased in the Document Library.

Visit the Document Library

CLERC and centrosomal leucine-rich repeat proteins.
Yoshinori M & Okano Y
Central European Journal of Biology, 5, 1-10 (2010)
Delowar Hossain et al.
Journal of cell science, 133(4) (2020-01-25)
The centrosome linker serves to hold the duplicated centrosomes together until they separate in late G2/early mitosis. Precisely how the linker is assembled remains an open question. In this study, we identify Cep44 as a novel component of the linker
Runsheng He et al.
Cell reports, 4(6), 1100-1107 (2013-09-17)
During interphase, centrosomes are connected by a proteinaceous linker between the proximal ends of the centrioles, which is important for the centrosomes to function as a single microtubule-organizing center. However, the composition and regulation of centrosomal linker remain largely unknown.
Yuqing Xia et al.
Journal of cell science, 131(23) (2018-11-09)
The proteinaceous centrosome linker is an important structure that allows the centrosome to function as a single microtubule-organizing center (MTOC) in interphase cells. However, the assembly mechanism of the centrosome linker components remains largely unknown. In this study, we identify
Abdelhalim Loukil et al.
The Journal of cell biology, 216(5), 1287-1300 (2017-04-08)
The two centrioles of the centrosome differ in age and function. Although the mother centriole mediates most centrosome-dependent processes, the role of the daughter remains poorly understood. A recent study has implicated the daughter centriole in centriole amplification in multiciliated

Our team of scientists has experience in all areas of research including Life Science, Material Science, Chemical Synthesis, Chromatography, Analytical and many others.

Contact Technical Service