Skip to Content
Merck
CN

HPA023874

Anti-BAIAP2L1 antibody produced in rabbit

Prestige Antibodies® Powered by Atlas Antibodies, affinity isolated antibody, buffered aqueous glycerol solution, Ab3

Synonym(s):

Anti-BAI1-associated protein 2-like protein 1, Anti-Brain-specific angiogenesis inhibitor 1-associated protein 2-like protein 1, Anti-Insulin receptor tyrosine kinase substrate

Sign In to View Organizational & Contract Pricing.

Select a Size


About This Item

UNSPSC Code:
12352203
NACRES:
NA.41
Human Protein Atlas Number:
Conjugate:
unconjugated
Clone:
polyclonal
Application:
IF, IHC
Citations:
2
Technical Service
Need help? Our team of experienced scientists is here for you.
Let Us Assist
Technical Service
Need help? Our team of experienced scientists is here for you.
Let Us Assist

biological source

rabbit

conjugate

unconjugated

antibody form

affinity isolated antibody

antibody product type

primary antibodies

clone

polyclonal

product line

Prestige Antibodies® Powered by Atlas Antibodies

form

buffered aqueous glycerol solution

species reactivity

human

enhanced validation

independent
orthogonal RNAseq
Learn more about Antibody Enhanced Validation

technique(s)

immunoblotting: 0.04-0.4 μg/mL, immunofluorescence: 0.25-2 μg/mL, immunohistochemistry: 1:200-1:500

immunogen sequence

DYLECLSMGAAADRRADSARTTSTFKAPASKPETAAPNDANGTAKPPFLSGENPFATVKLRPTVTNDRSAP

UniProt accession no.

shipped in

wet ice

storage temp.

−20°C

target post-translational modification

unmodified

Quality Level

Gene Information

human ... BAIAP2L1(55971)

Looking for similar products? Visit Product Comparison Guide

General description

Brain-specific angiogenesis inhibitor 1 (BAI1)-associated protein 2-like 1 (BAIAP2L1), also known as insulin receptor tyrosine kinase substrate (IRTKS), is a 511 amino-acid protein with molecular weight of approximately 57kDa. The gene coding for this protein is mapped to human chromosome 7q21.3-q22.1. BAIAP2L1 belongs to the insulin receptor substrate p53 (IRSp53) protein family. The encoded protein contains bin–amphiphysin–rvs (BAR) domain involved in binding highly curved, negatively charged membranes and the SRC homology 3 domain (SH3 domain) involved in multiple protein-protein interactions.

Immunogen

Brain-specific angiogenesis inhibitor 1-associated protein 2-like protein 1 recombinant protein epitope signature tag (PrEST)

Application

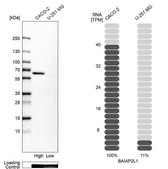
All Prestige Antibodies Powered by Atlas Antibodies are developed and validated by the Human Protein Atlas (HPA) project and as a result, are supported by the most extensive characterization in the industry.

The Human Protein Atlas project can be subdivided into three efforts: Human Tissue Atlas, Cancer Atlas, and Human Cell Atlas. The antibodies that have been generated in support of the Tissue and Cancer Atlas projects have been tested by immunohistochemistry against hundreds of normal and disease tissues and through the recent efforts of the Human Cell Atlas project, many have been characterized by immunofluorescence to map the human proteome not only at the tissue level but now at the subcellular level. These images and the collection of this vast data set can be viewed on the Human Protein Atlas (HPA) site by clicking on the Image Gallery link. We also provide Prestige Antibodies® protocols and other useful information.

Biochem/physiol Actions

Brain-specific angiogenesis inhibitor 1 (BAI1)-associated protein 2-like 1 (BAIAP2L1) plays a vital role in plasma membrane protrusion and actin cytoskeleton remodeling during cell morphogenesis and movement. The encoded protein acts as a novel biomarker for human ovarian cancer and it also supports cell proliferation by activating epidermal growth factor receptor (EGFR) activated extracellular-signal regulated kinase (ERK) pathway in hepatocellular carcinoma. BAIAP2L1/ insulin receptor tyrosine kinase substrate (IRTKS) is identified as a substrate of insulin receptor tyrosine kinase. Increased expression of the protein promotes quick wound healing of HT1080 cells in a src-dependent manner.

Features and Benefits

Prestige Antibodies® are highly characterized and extensively validated antibodies with the added benefit of all available characterization data for each target being accessible via the Human Protein Atlas portal linked just below the product name at the top of this page. The uniqueness and low cross-reactivity of the Prestige Antibodies® to other proteins are due to a thorough selection of antigen regions, affinity purification, and stringent selection. Prestige antigen controls are available for every corresponding Prestige Antibody and can be found in the linkage section.

Every Prestige Antibody is tested in the following ways:
  • IHC tissue array of 44 normal human tissues and 20 of the most common cancer type tissues.
  • Protein array of 364 human recombinant protein fragments.

Physical form

Solution in phosphate-buffered saline, pH 7.2, containing 40% glycerol and 0.02% sodium azide

Other Notes

Corresponding Antigen APREST74835

Legal Information

Prestige Antibodies is a registered trademark of Merck KGaA, Darmstadt, Germany

Not finding the right product?  

Try our Product Selector Tool.

Storage Class

10 - Combustible liquids

wgk

WGK 1

flash_point_f

Not applicable

flash_point_c

Not applicable

Regulatory Information

新产品
This item has

Choose from one of the most recent versions:

Certificates of Analysis (COA)

Lot/Batch Number

Don't see the Right Version?

If you require a particular version, you can look up a specific certificate by the Lot or Batch number.

Already Own This Product?

Find documentation for the products that you have recently purchased in the Document Library.

Visit the Document Library

BAI1-Associated Protein 2-Like 1 (BAIAP2L1) Is a Potential Biomarker in Ovarian Cancer.
Chao A
PLoS ONE, 10(7) (2015)
Gang Chen et al.
FEBS letters, 585(19), 2972-2978 (2011-08-16)
Insulin receptor tyrosine kinase substrate (IRTKS) has been demonstrated to be a scaffold protein involved in plasma membrane deformation and actin cytoskeleton remodeling. IRTKS is tyrosine phosphorylated in response to insulin stimulation. However, the mechanism and function of IRTKS phosphorylation

Our team of scientists has experience in all areas of research including Life Science, Material Science, Chemical Synthesis, Chromatography, Analytical and many others.

Contact Technical Service