Skip to Content
Merck
CN

HPA022012

Anti-TP53I3 antibody produced in rabbit

Prestige Antibodies® Powered by Atlas Antibodies, affinity isolated antibody, buffered aqueous glycerol solution

Synonym(s):

Anti-Putative quinone oxidoreductase, Anti-Tumor protein p53-inducible protein 3, Anti-p53-induced gene 3 protein

Sign In to View Organizational & Contract Pricing.

Select a Size


About This Item

UNSPSC Code:
12352203
NACRES:
NA.41
Human Protein Atlas Number:
Conjugate:
unconjugated
Clone:
polyclonal
Application:
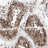
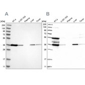
IF, IHC
Citations:
1
Technical Service
Need help? Our team of experienced scientists is here for you.
Let Us Assist
Technical Service
Need help? Our team of experienced scientists is here for you.
Let Us Assist

shipped in

wet ice

biological source

rabbit

conjugate

unconjugated

antibody form

affinity isolated antibody

antibody product type

primary antibodies

clone

polyclonal

product line

Prestige Antibodies® Powered by Atlas Antibodies

form

buffered aqueous glycerol solution

species reactivity

human

enhanced validation

independent
orthogonal RNAseq
Learn more about Antibody Enhanced Validation

technique(s)

immunoblotting: 0.04-0.4 μg/mL, immunofluorescence: 0.25-2 μg/mL, immunohistochemistry: 1:200-1:500

immunogen sequence

MLAVHFDKPGGPENLYVKEVAKPSPGEGEVLLKVAASALNRADLMQRQGQYDPPPGASNILGLEASGHVAELGPGCQGHWKIGDTAMALLPGGGQAQYVTVPEGLLMPIPE

UniProt accession no.

storage temp.

−20°C

target post-translational modification

unmodified

Quality Level

Gene Information

human ... TP53I3(9540)

Looking for similar products? Visit Product Comparison Guide

General description

TP53I3 (Tumor protein p53 inducible protein 3) is a p53 protein target belonging to the medium chain dehydrogenase/reductase superfamily. It consists of two identical subunits. The monomeric structure consists of two domains, the catalytic domain and the cofactor-binding domain, separated by a deep cleft. The middle cleft helps to reserve NADP+. The catalytic domain is composed of a seven-stranded antiparallel β-sheet, and the cofactor-binding domain equiped with two mononucleotide binding βαβαβ motifs.

Immunogen

Putative quinone oxidoreductase recombinant protein epitope signature tag (PrEST)

Application

All Prestige Antibodies Powered by Atlas Antibodies are developed and validated by the Human Protein Atlas (HPA) project and as a result, are supported by the most extensive characterization in the industry.

The Human Protein Atlas project can be subdivided into three efforts: Human Tissue Atlas, Cancer Atlas, and Human Cell Atlas. The antibodies that have been generated in support of the Tissue and Cancer Atlas projects have been tested by immunohistochemistry against hundreds of normal and disease tissues and through the recent efforts of the Human Cell Atlas project, many have been characterized by immunofluorescence to map the human proteome not only at the tissue level but now at the subcellular level. These images and the collection of this vast data set can be viewed on the Human Protein Atlas (HPA) site by clicking on the Image Gallery link. We also provide Prestige Antibodies® protocols and other useful information.

Biochem/physiol Actions

TP53I3 (Tumor protein p53 inducible protein 3) plays an important role in the generation of reactive oxygen species (ROS) and the programmed cell death. It functions as a proapoptotic marker in the apoptotic pathway. It has been suggested that PIG3 (p53-inducible gene 3) may initiate oxidative stress, like other p53 targets. It mediates apoptosis by generating reactive oxygen species through oxidative stress.

Features and Benefits

Prestige Antibodies® are highly characterized and extensively validated antibodies with the added benefit of all available characterization data for each target being accessible via the Human Protein Atlas portal linked just below the product name at the top of this page. The uniqueness and low cross-reactivity of the Prestige Antibodies® to other proteins are due to a thorough selection of antigen regions, affinity purification, and stringent selection. Prestige antigen controls are available for every corresponding Prestige Antibody and can be found in the linkage section.

Every Prestige Antibody is tested in the following ways:
  • IHC tissue array of 44 normal human tissues and 20 of the most common cancer type tissues.
  • Protein array of 364 human recombinant protein fragments.

Physical form

Solution in phosphate-buffered saline, pH 7.2, containing 40% glycerol and 0.02% sodium azide

Other Notes

Corresponding Antigen APREST75475

Legal Information

Prestige Antibodies is a registered trademark of Merck KGaA, Darmstadt, Germany

Not finding the right product?  

Try our Product Selector Tool.

Storage Class

10 - Combustible liquids

wgk

WGK 1

flash_point_f

Not applicable

flash_point_c

Not applicable

Regulatory Information

新产品
This item has

Choose from one of the most recent versions:

Certificates of Analysis (COA)

Lot/Batch Number

Don't see the Right Version?

If you require a particular version, you can look up a specific certificate by the Lot or Batch number.

Already Own This Product?

Find documentation for the products that you have recently purchased in the Document Library.

Visit the Document Library

Sergio Porté et al.
The Journal of biological chemistry, 284(25), 17194-17205 (2009-04-08)
Tumor suppressor p53 regulates the expression of p53-induced genes (PIG) that trigger apoptosis. PIG3 or TP53I3 is the only known member of the medium chain dehydrogenase/reductase superfamily induced by p53 and is used as a proapoptotic marker. Although the participation

Our team of scientists has experience in all areas of research including Life Science, Material Science, Chemical Synthesis, Chromatography, Analytical and many others.

Contact Technical Service