Skip to Content
Merck
CN

HPA021945

Anti-DYSF antibody produced in rabbit

Prestige Antibodies® Powered by Atlas Antibodies, affinity isolated antibody, buffered aqueous glycerol solution

Synonym(s):

Anti-Dysferlin, Anti-Dystrophy-associated fer-1-like protein, Anti-Fer-1-like protein 1

Sign In to View Organizational & Contract Pricing.

Select a Size


About This Item

UNSPSC Code:
12352203
NACRES:
NA.41
Human Protein Atlas Number:
Conjugate:
unconjugated
Clone:
polyclonal
Application:
IHC
Citations:
6
Technical Service
Need help? Our team of experienced scientists is here for you.
Let Us Assist
Technical Service
Need help? Our team of experienced scientists is here for you.
Let Us Assist

biological source

rabbit

conjugate

unconjugated

antibody form

affinity isolated antibody

antibody product type

primary antibodies

clone

polyclonal

product line

Prestige Antibodies® Powered by Atlas Antibodies

form

buffered aqueous glycerol solution

species reactivity

human

enhanced validation

independent
orthogonal RNAseq
Learn more about Antibody Enhanced Validation

technique(s)

immunohistochemistry: 1:50-1:200

immunogen sequence

CHYYYLPWGNVKPVVVLSSYWEDISHRIETQNQLLGIADRLEAGLEQVHLALKAQCSTEDVDSLVAQLTDELIAGCSQPLGDIHETPSATHLDQYLYQLRTHHLSQITEAALALKLGHSELPAALEQAEDWLLRLRALA

UniProt accession no.

shipped in

wet ice

storage temp.

−20°C

target post-translational modification

unmodified

Quality Level

Gene Information

human ... DYSF(8291)

Looking for similar products? Visit Product Comparison Guide

Immunogen

Dysferlin recombinant protein epitope signature tag (PrEST)

Application

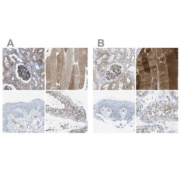
All Prestige Antibodies Powered by Atlas Antibodies are developed and validated by the Human Protein Atlas (HPA) project and as a result, are supported by the most extensive characterization in the industry.

The Human Protein Atlas project can be subdivided into three efforts: Human Tissue Atlas, Cancer Atlas, and Human Cell Atlas. The antibodies that have been generated in support of the Tissue and Cancer Atlas projects have been tested by immunohistochemistry against hundreds of normal and disease tissues and through the recent efforts of the Human Cell Atlas project, many have been characterized by immunofluorescence to map the human proteome not only at the tissue level but now at the subcellular level. These images and the collection of this vast data set can be viewed on the Human Protein Atlas (HPA) site by clicking on the Image Gallery link. We also provide Prestige Antibodies® protocols and other useful information.

Biochem/physiol Actions

DYSF (Dysferlin) is identified as a component of a putative muscle-specific repair complex involved in the plasma membrane or muscle membrane repair machinery. In addition to patch repair, it also participates in the membrane trafficking via dysferlin related signaling pathways in muscle cell. During repatching, it provides cell membrane scaffold like structure, which gives structural stability to muscle cells. Deficiency of dysferlin disrupts sarcolemmal membrane repair, termed as limb-girdle muscular dystrophies type 2B. Mutation in the gene also causes miyoshi myopathy.

Features and Benefits

Prestige Antibodies® are highly characterized and extensively validated antibodies with the added benefit of all available characterization data for each target being accessible via the Human Protein Atlas portal linked just below the product name at the top of this page. The uniqueness and low cross-reactivity of the Prestige Antibodies® to other proteins are due to a thorough selection of antigen regions, affinity purification, and stringent selection. Prestige antigen controls are available for every corresponding Prestige Antibody and can be found in the linkage section.

Every Prestige Antibody is tested in the following ways:
  • IHC tissue array of 44 normal human tissues and 20 of the most common cancer type tissues.
  • Protein array of 364 human recombinant protein fragments.

Physical form

Solution in phosphate-buffered saline, pH 7.2, containing 40% glycerol and 0.02% sodium azide

Other Notes

Corresponding Antigen APREST71975

Legal Information

Prestige Antibodies is a registered trademark of Merck KGaA, Darmstadt, Germany

Disclaimer

Unless otherwise stated in our catalog or other company documentation accompanying the product(s), our products are intended for research use only and are not to be used for any other purpose, which includes but is not limited to, unauthorized commercial uses, in vitro diagnostic uses, ex vivo or in vivo therapeutic uses or any type of consumption or application to humans or animals.

Not finding the right product?  

Try our Product Selector Tool.

Storage Class

10 - Combustible liquids

wgk

WGK 1

flash_point_f

Not applicable

flash_point_c

Not applicable

Regulatory Information

新产品
This item has

Choose from one of the most recent versions:

Certificates of Analysis (COA)

Lot/Batch Number

Don't see the Right Version?

If you require a particular version, you can look up a specific certificate by the Lot or Batch number.

Already Own This Product?

Find documentation for the products that you have recently purchased in the Document Library.

Visit the Document Library

Xintao Zhang et al.
Biomaterials, 241, 119906-119906 (2020-03-03)
The recombinant adeno-associated virus (rAAV) vector has been successfully employed in clinical trials for patients with blindness and bleeding diseases as well as neuromuscular disorders. To date, it remains a major challenge to achieve higher transduction efficiency with a lower
Ann-Katrin Piper et al.
Cellular signalling, 33, 30-40 (2017-02-14)
Myoferlin and dysferlin are closely related members of the ferlin family of Ca2+-regulated vesicle fusion proteins. Dysferlin is proposed to play a role in Ca2+-triggered vesicle fusion during membrane repair. Myoferlin regulates endocytosis, recycling of growth factor receptors and adhesion
Dimple Bansal et al.
Nature, 423(6936), 168-172 (2003-05-09)
Muscular dystrophy includes a diverse group of inherited muscle diseases characterized by wasting and weakness of skeletal muscle. Mutations in dysferlin are linked to two clinically distinct muscle diseases, limb-girdle muscular dystrophy type 2B and Miyoshi myopathy, but the mechanism
S H Laval et al.
Neuropathology and applied neurobiology, 30(2), 91-105 (2004-03-27)
The limb-girdle muscular dystrophies are a diverse group of muscle-wasting disorders characteristically affecting the large muscles of the pelvic and shoulder girdles. Molecular genetic analyses have demonstrated causative mutations in the genes encoding a disparate collection of proteins involved in
Natalie Woolger et al.
The Journal of biological chemistry, 292(45), 18577-18591 (2017-09-15)
Dysferlin is a large transmembrane protein that plays a key role in cell membrane repair and underlies a recessive form of inherited muscular dystrophy. Dysferlinopathy is characterized by absence or marked reduction of dysferlin protein with 43% of reported pathogenic

Our team of scientists has experience in all areas of research including Life Science, Material Science, Chemical Synthesis, Chromatography, Analytical and many others.

Contact Technical Service