Skip to Content
Merck
CN

HPA019051

Anti-CCDC6 antibody produced in rabbit

Prestige Antibodies® Powered by Atlas Antibodies, affinity isolated antibody, buffered aqueous glycerol solution, Ab2

Synonym(s):

Anti-Coiled-coil domain-containing protein 6, Anti-Papillary thyroid carcinoma-encoded protein, Anti-Protein H4

Sign In to View Organizational & Contract Pricing.

Select a Size


About This Item

UNSPSC Code:
12352203
NACRES:
NA.41
Human Protein Atlas Number:
Conjugate:
unconjugated
Clone:
polyclonal
Application:
IF, IHC
Citations:
5
Technical Service
Need help? Our team of experienced scientists is here for you.
Let Us Assist
Technical Service
Need help? Our team of experienced scientists is here for you.
Let Us Assist

biological source

rabbit

conjugate

unconjugated

antibody form

affinity isolated antibody

antibody product type

primary antibodies

clone

polyclonal

product line

Prestige Antibodies® Powered by Atlas Antibodies

form

buffered aqueous glycerol solution

species reactivity

mouse, rat, human

enhanced validation

independent
orthogonal RNAseq
Learn more about Antibody Enhanced Validation

technique(s)

immunoblotting: 0.04-0.4 μg/mL, immunofluorescence: 0.25-2 μg/mL, immunohistochemistry: 1:200-1:500

immunogen sequence

FKKIQALQKEKETLAVNYEKEEEFLTNELSRKLMQLQHEKAELEQHLEQEQEFQVNKLMKKIKKLENDTISKQLTLEQLRREKI

UniProt accession no.

shipped in

wet ice

storage temp.

−20°C

target post-translational modification

unmodified

Quality Level

Gene Information

human ... CCDC6(8030)

Looking for similar products? Visit Product Comparison Guide

General description

The gene CCDC6 (Coiled-coil domain-containing protein 6) is mapped to human chromosome 10q21. CCDC6 is ubiquitously expressed. The protein localizes in the cytoplasm and the nucleus.

Immunogen

Coiled-coil domain-containing protein 6 recombinant protein epitope signature tag (PrEST)

Application

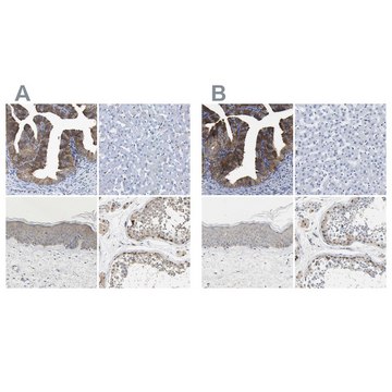
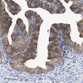
Anti-CCDC6 antibody produced in rabbit, a Prestige Antibody, is developed and validated by the Human Protein Atlas (HPA) project . Each antibody is tested by immunohistochemistry against hundreds of normal and disease tissues. These images can be viewed on the Human Protein Atlas (HPA) site by clicking on the Image Gallery link. The antibodies are also tested using immunofluorescence and western blotting. To view these protocols and other useful information about Prestige Antibodies and the HPA, visit sigma.com/prestige.

Biochem/physiol Actions

CCDC6 (Coiled-coil domain-containing protein 6) mainly participates in apoptosis and DNA damage response. Down-regulation of CCDC6 weakens DNA damage responses and reduces number of RAD51 (DNA repair protein RAD51 homolog 1) positive foci. CCDC6 is rearranged in papillary thyroid carcinomas and some lung cancers forming CCDC6-RET (Proto-oncogene c-Ret) fusion. It is down-regulated in the primary testicular germ cell tumors.

Features and Benefits

Prestige Antibodies® are highly characterized and extensively validated antibodies with the added benefit of all available characterization data for each target being accessible via the Human Protein Atlas portal linked just below the product name at the top of this page. The uniqueness and low cross-reactivity of the Prestige Antibodies® to other proteins are due to a thorough selection of antigen regions, affinity purification, and stringent selection. Prestige antigen controls are available for every corresponding Prestige Antibody and can be found in the linkage section.

Every Prestige Antibody is tested in the following ways:
  • IHC tissue array of 44 normal human tissues and 20 of the most common cancer type tissues.
  • Protein array of 364 human recombinant protein fragments.

Physical form

Solution in phosphate-buffered saline, pH 7.2, containing 40% glycerol and 0.02% sodium azide

Other Notes

Corresponding Antigen APREST74794

Legal Information

Prestige Antibodies is a registered trademark of Merck KGaA, Darmstadt, Germany

Disclaimer

Unless otherwise stated in our catalog or other company documentation accompanying the product(s), our products are intended for research use only and are not to be used for any other purpose, which includes but is not limited to, unauthorized commercial uses, in vitro diagnostic uses, ex vivo or in vivo therapeutic uses or any type of consumption or application to humans or animals.

Not finding the right product?  

Try our Product Selector Tool.

Storage Class

10 - Combustible liquids

wgk

WGK 1

flash_point_f

Not applicable

flash_point_c

Not applicable

Regulatory Information

常规特殊物品
常规特殊物品
低风险生物材料
This item has

Choose from one of the most recent versions:

Certificates of Analysis (COA)

Lot/Batch Number

Don't see the Right Version?

If you require a particular version, you can look up a specific certificate by the Lot or Batch number.

Already Own This Product?

Find documentation for the products that you have recently purchased in the Document Library.

Visit the Document Library

Stefania Staibano et al.
BMC cancer, 13, 433-433 (2013-09-26)
DNA damage response has been clearly described as an anti-cancer barrier in early human tumorigenesis. Moreover, interestingly, testicular germ cell tumors (TGCTs) have been reported to lack the DNA Damage Response (DDR) pathway activation. CCDC6 is a pro-apoptotic phosphoprotein substrate
Hafiz Muhammad Ali et al.
PloS one, 9(4), e95964-e95964 (2014-04-25)
RET/PTC3 junction oncogene is typical of radiation-induced childhood papillary thyroid carcinoma (PTC) with a short latency period. Since, RET/PTC3 is only present in the tumour cells, thus represents an interesting target for specific therapy by small interfering RNA (siRNA). Our
Chiara Luise et al.
PloS one, 7(11), e49298-e49298 (2012-11-13)
CCDC6 was originally identified in chimeric genes as caused by chromosomal translocation involving the RET protooncogene in some thyroid tumors. Recognised as a 65 kDa pro-apoptotic phosphoprotein, CCDC6 has been enrolled as an ATM substrate that contribute to protect genome
Francesco Morra et al.
Oncotarget, 6(14), 12697-12709 (2015-04-18)
CCDC6 gene product is a pro-apoptotic protein substrate of ATM, whose loss or inactivation enhances tumour progression. In primary tumours, the impaired function of CCDC6 protein has been ascribed to CCDC6 rearrangements and to somatic mutations in several neoplasia. Recently
Francesco Morra et al.
International journal of cancer, 136(9), 2146-2157 (2014-10-11)
Non-small cell lung cancer (NSCLC) is the main cause of cancer-related death worldwide and new therapeutic strategies are urgently needed. In this study, we have characterized a panel of NSC lung cancer cell lines for the expression of coiled-coil-domain containing

Related Content

Prestige Antibodies Immunofluorescence Procedure

Our team of scientists has experience in all areas of research including Life Science, Material Science, Chemical Synthesis, Chromatography, Analytical and many others.

Contact Technical Service