Skip to Content
Merck
CN

HPA018029

Anti-ATP6V0A4 antibody produced in rabbit

Prestige Antibodies® Powered by Atlas Antibodies, affinity isolated antibody, buffered aqueous glycerol solution

Synonym(s):

Anti-V- ATPase 116 kDa isoform a4, Anti-Vacuolar proton translocating ATPase 116 kDa subunit a isoform 4, Anti-Vacuolar proton translocating ATPase 116 kDa subunit a kidney isoform

Sign In to View Organizational & Contract Pricing.

Select a Size


About This Item

UNSPSC Code:
12352203
NACRES:
NA.41
Human Protein Atlas Number:
Conjugate:
unconjugated
Clone:
polyclonal
Application:
IHC
Citations:
3
Technical Service
Need help? Our team of experienced scientists is here for you.
Let Us Assist
Technical Service
Need help? Our team of experienced scientists is here for you.
Let Us Assist

biological source

rabbit

conjugate

unconjugated

antibody form

affinity isolated antibody

antibody product type

primary antibodies

clone

polyclonal

product line

Prestige Antibodies® Powered by Atlas Antibodies

form

buffered aqueous glycerol solution

species reactivity

human

enhanced validation

independent
orthogonal RNAseq
Learn more about Antibody Enhanced Validation

technique(s)

immunohistochemistry: 1:50- 1:200

immunogen sequence

RASHRKSQLQASRIQEDATENIEGDSSSPSSRSGQRTSADTHGALDDHGEEFNFGDVFVHQAIHTIEYCLGCISNTAS

UniProt accession no.

shipped in

wet ice

storage temp.

−20°C

target post-translational modification

unmodified

Quality Level

Gene Information

human ... ATP6V0A4(50617)

Looking for similar products? Visit Product Comparison Guide

General description

Proton transporting ATPase lysosomal V0 subunit A4 (ATP6V0A4) encodes the transmembrane A4 subunit of the proton ATPase expressed in kidney and epididymis. It consists of 840 amino acids and the gene encoding it is localized on human chromosome 7q34.

Immunogen

V-type proton ATPase 116 kDa subunit a isoform 4 (V-ATPase 116 kDa isoform a4) (Vacuolar proton translocating ATPase 116 kDa subunit a isoform 4) (Vacuolar proton translocating ATPase 116 kDa subunit a kidney isoform)

Application

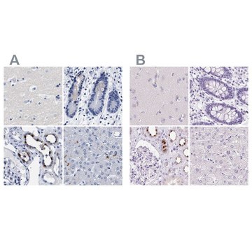
All Prestige Antibodies Powered by Atlas Antibodies are developed and validated by the Human Protein Atlas (HPA) project and as a result, are supported by the most extensive characterization in the industry.

The Human Protein Atlas project can be subdivided into three efforts: Human Tissue Atlas, Cancer Atlas, and Human Cell Atlas. The antibodies that have been generated in support of the Tissue and Cancer Atlas projects have been tested by immunohistochemistry against hundreds of normal and disease tissues and through the recent efforts of the Human Cell Atlas project, many have been characterized by immunofluorescence to map the human proteome not only at the tissue level but now at the subcellular level. These images and the collection of this vast data set can be viewed on the Human Protein Atlas (HPA) site by clicking on the Image Gallery link. We also provide Prestige Antibodies® protocols and other useful information.

Biochem/physiol Actions

Proton transporting ATPase lysosomal V0 subunit A4 (ATP6V0A4) is part of a proton pump involved in acidifying various organelles. It may also play a role in pH regulation in cancer cells. Mutations in the gene encoding ATP6V0A4 have been associated with distal renal tubular acidosis.

Features and Benefits

Prestige Antibodies® are highly characterized and extensively validated antibodies with the added benefit of all available characterization data for each target being accessible via the Human Protein Atlas portal linked just below the product name at the top of this page. The uniqueness and low cross-reactivity of the Prestige Antibodies® to other proteins are due to a thorough selection of antigen regions, affinity purification, and stringent selection. Prestige antigen controls are available for every corresponding Prestige Antibody and can be found in the linkage section.

Every Prestige Antibody is tested in the following ways:
  • IHC tissue array of 44 normal human tissues and 20 of the most common cancer type tissues.
  • Protein array of 364 human recombinant protein fragments.

Physical form

Solution in phosphate-buffered saline, pH 7.2, containing 40% glycerol and 0.02% sodium azide

Other Notes

Corresponding Antigen APREST73096

Legal Information

Prestige Antibodies is a registered trademark of Merck KGaA, Darmstadt, Germany

Disclaimer

Unless otherwise stated in our catalog or other company documentation accompanying the product(s), our products are intended for research use only and are not to be used for any other purpose, which includes but is not limited to, unauthorized commercial uses, in vitro diagnostic uses, ex vivo or in vivo therapeutic uses or any type of consumption or application to humans or animals.

Not finding the right product?  

Try our Product Selector Tool.

Storage Class

10 - Combustible liquids

wgk

WGK 1

flash_point_f

Not applicable

flash_point_c

Not applicable

ppe

Eyeshields, Gloves, multi-purpose combination respirator cartridge (US)

Regulatory Information

新产品
This item has

Choose from one of the most recent versions:

Certificates of Analysis (COA)

Lot/Batch Number

Don't see the Right Version?

If you require a particular version, you can look up a specific certificate by the Lot or Batch number.

Already Own This Product?

Find documentation for the products that you have recently purchased in the Document Library.

Visit the Document Library

Majdi Nagara et al.
Genetic testing and molecular biomarkers, 18(11), 741-748 (2014-10-07)
Distal renal tubular acidosis (dRTA) is a rare genetic disease caused by mutations in different genes involved in the secretion of H+ ions in the intercalated cells of the collecting duct. Both autosomal dominant and recessive forms have been described;
Donia El Hayek et al.
Clinical nephrology, 81(2), 142-145 (2012-08-03)
Few data regarding molecular diagnosis of primary distal renal tubular acidosis (DRTA) in Tunisian population are available. 25-day-old male patient from consanguineous parents of Tunisian origin diagnosed with DRTA and without hearing impairment observed later in life. ATP6V0A4 gene sequencing
Vincent Gleize et al.
Glia, 60(6), 1004-1012 (2012-03-31)
Vacuolar H(+) -ATPases (v-ATPases) are multimeric proton pumps which acidify various intra-cellular organelles and may participate in pHe and pHi regulation in cancer cell lines. The ATP6V0A4 gene encodes the a4 subunit which is expressed in kidney and epididymis. Because

Our team of scientists has experience in all areas of research including Life Science, Material Science, Chemical Synthesis, Chromatography, Analytical and many others.

Contact Technical Service