Skip to Content
Merck
CN

HPA017160

Anti-TAOK3 antibody produced in rabbit

Prestige Antibodies® Powered by Atlas Antibodies, affinity isolated antibody, buffered aqueous glycerol solution

Synonym(s):

Anti-CTCL tumor, Anti-Cutaneous T-cell lymphoma tumor antigen HD-CL-09, Anti-Dendritic cell-derived protein kinase, Anti-JNK/SAPK- inhibitory kinase, Anti-Jun kinase-inhibitory kinase, Anti-Serine/threonine-protein kinase TAO3, Anti-Thousand and one amino acid protein 3

Sign In to View Organizational & Contract Pricing.

Select a Size


About This Item

UNSPSC Code:
12352203
NACRES:
NA.41
Human Protein Atlas Number:
Conjugate:
unconjugated
Clone:
polyclonal
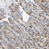
Application:
IHC
Citations:
3
Technical Service
Need help? Our team of experienced scientists is here for you.
Let Us Assist
Technical Service
Need help? Our team of experienced scientists is here for you.
Let Us Assist

biological source

rabbit

conjugate

unconjugated

antibody form

affinity isolated antibody

antibody product type

primary antibodies

clone

polyclonal

product line

Prestige Antibodies® Powered by Atlas Antibodies

form

buffered aqueous glycerol solution

species reactivity

human

enhanced validation

orthogonal RNAseq
recombinant expression
Learn more about Antibody Enhanced Validation

technique(s)

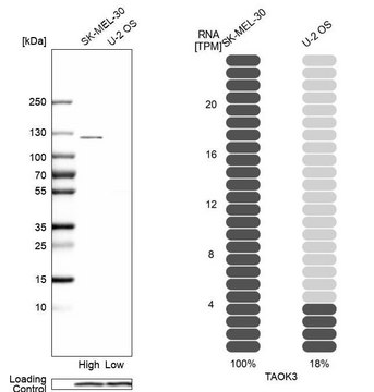
immunoblotting: 0.04-0.4 μg/mL, immunohistochemistry: 1:50-1:200

immunogen sequence

ESQEDEEDSEHGTSLNREMDSLGSNHSIPSMSVSTGSQSSSVNSMQEVMDESSSELVMMHDDESTINSSSSVVHKKDHVFIRDEAGHGDPRPEPRPTQSVQSQALHYRNR

UniProt accession no.

shipped in

wet ice

storage temp.

−20°C

target post-translational modification

unmodified

Quality Level

Gene Information

human ... TAOK3(51347)

General description

TAOK3 (TAO kinase 3) is a serine/threonine-protein kinase belonging to the serine/threonine kinase STE20 family. It consists of an N-terminal catalytic domain.

Immunogen

Serine/threonine-protein kinase TAO3 recombinant protein epitope signature tag (PrEST)

Application

All Prestige Antibodies Powered by Atlas Antibodies are developed and validated by the Human Protein Atlas (HPA) project and as a result, are supported by the most extensive characterization in the industry.

The Human Protein Atlas project can be subdivided into three efforts: Human Tissue Atlas, Cancer Atlas, and Human Cell Atlas. The antibodies that have been generated in support of the Tissue and Cancer Atlas projects have been tested by immunohistochemistry against hundreds of normal and disease tissues and through the recent efforts of the Human Cell Atlas project, many have been characterized by immunofluorescence to map the human proteome not only at the tissue level but now at the subcellular level. These images and the collection of this vast data set can be viewed on the Human Protein Atlas (HPA) site by clicking on the Image Gallery link. We also provide Prestige Antibodies® protocols and other useful information.

Biochem/physiol Actions

TAOK3 (TAO kinase 3) is involved in the regulation of p38 MAPK (mitogen-activated protein kinase). It negatively regulates basal activity of c-Jun N-terminal kinase/stress-activated protein kinase (JNK/SAPK) pathway and EGF (epidermal growth factor) receptor activation repress its kinase activity. It also helps to activate p38 by ataxia telangiectasia mutated (ATM).

Features and Benefits

Prestige Antibodies® are highly characterized and extensively validated antibodies with the added benefit of all available characterization data for each target being accessible via the Human Protein Atlas portal linked just below the product name at the top of this page. The uniqueness and low cross-reactivity of the Prestige Antibodies® to other proteins are due to a thorough selection of antigen regions, affinity purification, and stringent selection. Prestige antigen controls are available for every corresponding Prestige Antibody and can be found in the linkage section.

Every Prestige Antibody is tested in the following ways:
  • IHC tissue array of 44 normal human tissues and 20 of the most common cancer type tissues.
  • Protein array of 364 human recombinant protein fragments.

Physical form

Solution in phosphate-buffered saline, pH 7.2, containing 40% glycerol and 0.02% sodium azide

Other Notes

Corresponding Antigen APREST71469

Legal Information

Prestige Antibodies is a registered trademark of Merck KGaA, Darmstadt, Germany

Disclaimer

Unless otherwise stated in our catalog or other company documentation accompanying the product(s), our products are intended for research use only and are not to be used for any other purpose, which includes but is not limited to, unauthorized commercial uses, in vitro diagnostic uses, ex vivo or in vivo therapeutic uses or any type of consumption or application to humans or animals.

Not finding the right product?  

Try our Product Selector Tool.

Storage Class

10 - Combustible liquids

wgk

WGK 1

flash_point_f

Not applicable

flash_point_c

Not applicable

ppe

Eyeshields, Gloves, multi-purpose combination respirator cartridge (US)

Regulatory Information

常规特殊物品
低风险生物材料
This item has

Choose from one of the most recent versions:

Certificates of Analysis (COA)

Lot/Batch Number

Don't see the Right Version?

If you require a particular version, you can look up a specific certificate by the Lot or Batch number.

Already Own This Product?

Find documentation for the products that you have recently purchased in the Document Library.

Visit the Document Library

Malavika Raman et al.
The EMBO journal, 26(8), 2005-2014 (2007-03-31)
Thousand and one amino acid (TAO) kinases are Ste20p-related MAP kinase kinase kinases (MAP3Ks) that activate p38 MAPK. Here we show that the TAO kinases mediate the activation of p38 in response to various genotoxic stimuli. TAO kinases are activated
E Tassi et al.
The Journal of biological chemistry, 274(47), 33287-33295 (1999-11-24)
Mammalian members related to Saccharomyces cerevisiae serine/threonine kinase STE20 can be divided into two subfamilies based on their structure and function. The PAK subfamily is characterized by an N-terminal p21-binding domain (also known as CRIB domain), a C-terminal kinase domain
Friederike L Pennemann et al.
Nature communications, 12(1), 7009-7009 (2021-12-03)
The cell intrinsic antiviral response of multicellular organisms developed over millions of years and critically relies on the ability to sense and eliminate viral nucleic acids. Here we use an affinity proteomics approach in evolutionary distant species (human, mouse and

Related Content

Prestige Antibodies Immunofluorescence Procedure

Our team of scientists has experience in all areas of research including Life Science, Material Science, Chemical Synthesis, Chromatography, Analytical and many others.

Contact Technical Service