Skip to Content
Merck
CN

HPA017071

Anti-DYSF antibody produced in rabbit

Prestige Antibodies® Powered by Atlas Antibodies, affinity isolated antibody, buffered aqueous glycerol solution

Synonym(s):

Anti-Dysferlin, Anti-Dystrophy-associated fer-1-like protein, Anti-Fer-1-like protein 1

Sign In to View Organizational & Contract Pricing.

Select a Size


About This Item

UNSPSC Code:
12352203
NACRES:
NA.41
Human Protein Atlas Number:
Conjugate:
unconjugated
Clone:
polyclonal
Application:
IF, IHC
Citations:
5
Technical Service
Need help? Our team of experienced scientists is here for you.
Let Us Assist
Technical Service
Need help? Our team of experienced scientists is here for you.
Let Us Assist

biological source

rabbit

conjugate

unconjugated

antibody form

affinity isolated antibody

antibody product type

primary antibodies

clone

polyclonal

product line

Prestige Antibodies® Powered by Atlas Antibodies

form

buffered aqueous glycerol solution

species reactivity

human

enhanced validation

orthogonal RNAseq
independent
Learn more about Antibody Enhanced Validation

technique(s)

immunofluorescence: 0.25-2 μg/mL, immunohistochemistry: 1:200-1:500

immunogen sequence

IVVELYDHDTYGADEFMGRCICQPSLERMPRLAWFPLTRGSQPSGELLASFELIQREKPAIHHIPGFEVQETSRILDESEDTDLPYPPPQREANIYMVPQNIKPALQRTAIEILAWG

UniProt accession no.

shipped in

wet ice

storage temp.

−20°C

target post-translational modification

unmodified

Quality Level

Gene Information

human ... DYSF(8291)

Looking for similar products? Visit Product Comparison Guide

Immunogen

Dysferlin recombinant protein epitope signature tag (PrEST)

Application

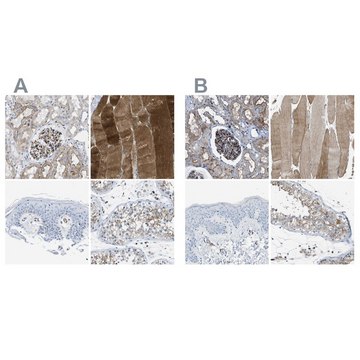
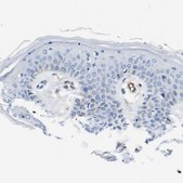
All Prestige Antibodies Powered by Atlas Antibodies are developed and validated by the Human Protein Atlas (HPA) project and as a result, are supported by the most extensive characterization in the industry.

The Human Protein Atlas project can be subdivided into three efforts: Human Tissue Atlas, Cancer Atlas, and Human Cell Atlas. The antibodies that have been generated in support of the Tissue and Cancer Atlas projects have been tested by immunohistochemistry against hundreds of normal and disease tissues and through the recent efforts of the Human Cell Atlas project, many have been characterized by immunofluorescence to map the human proteome not only at the tissue level but now at the subcellular level. These images and the collection of this vast data set can be viewed on the Human Protein Atlas (HPA) site by clicking on the Image Gallery link. We also provide Prestige Antibodies® protocols and other useful information.

Biochem/physiol Actions

DYSF is identified as a component of a putative muscle-specific repair complex involved in the plasma membrane or muscle membrane repair machinery. In addition to patch repair, it also performs in the membrane trafficking via dysferlin-related signaling pathways in muscle cell. During repatching, it provides cell membrane scaffold like structure, which gives structural stability to muscle cells. Deficiency of dysferlin disrupts sarcolemmal membrane repair, termed as limb-girdle muscular dystrophies type 2B. Mutation in the gene also causes miyoshi myopathy.

Features and Benefits

Prestige Antibodies® are highly characterized and extensively validated antibodies with the added benefit of all available characterization data for each target being accessible via the Human Protein Atlas portal linked just below the product name at the top of this page. The uniqueness and low cross-reactivity of the Prestige Antibodies® to other proteins are due to a thorough selection of antigen regions, affinity purification, and stringent selection. Prestige antigen controls are available for every corresponding Prestige Antibody and can be found in the linkage section.

Every Prestige Antibody is tested in the following ways:
  • IHC tissue array of 44 normal human tissues and 20 of the most common cancer type tissues.
  • Protein array of 364 human recombinant protein fragments.

Physical form

Solution in phosphate-buffered saline, pH 7.2, containing 40% glycerol and 0.02% sodium azide

Other Notes

Corresponding Antigen APREST71976

Legal Information

Prestige Antibodies is a registered trademark of Merck KGaA, Darmstadt, Germany

Disclaimer

Unless otherwise stated in our catalog or other company documentation accompanying the product(s), our products are intended for research use only and are not to be used for any other purpose, which includes but is not limited to, unauthorized commercial uses, in vitro diagnostic uses, ex vivo or in vivo therapeutic uses or any type of consumption or application to humans or animals.

Not finding the right product?  

Try our Product Selector Tool.

Storage Class

10 - Combustible liquids

wgk

WGK 1

flash_point_f

Not applicable

flash_point_c

Not applicable

ppe

Eyeshields, Gloves, multi-purpose combination respirator cartridge (US)

Regulatory Information

新产品
This item has

Choose from one of the most recent versions:

Certificates of Analysis (COA)

Lot/Batch Number

Don't see the Right Version?

If you require a particular version, you can look up a specific certificate by the Lot or Batch number.

Already Own This Product?

Find documentation for the products that you have recently purchased in the Document Library.

Visit the Document Library

Hiroya Ono et al.
Molecular therapy : the journal of the American Society of Gene Therapy, 28(4), 1133-1153 (2020-02-24)
Mutations in dysferlin are responsible for a group of progressive, recessively inherited muscular dystrophies known as dysferlinopathies. Using recombinant proteins and affinity purification methods combined with liquid chromatography-tandem mass spectrometry (LC-MS/MS), we found that AMP-activated protein kinase (AMPK)γ1 was bound
Rumiko Izumi et al.
Human mutation, 41(9), 1540-1554 (2020-05-14)
Dysferlinopathy is a group of autosomal recessive muscular dystrophies caused by variants in the dysferlin gene (DYSF), with variable proximal and distal muscle involvement. We performed DYSF gene analyses of 200 cases suspected of having dysferlinopathy (Cohort 1), and identified
Louise Glover et al.
Traffic (Copenhagen, Denmark), 8(7), 785-794 (2007-06-06)
The muscular dystrophies are a heterogeneous group of inherited disorders, defined by progressive muscle weakness and atrophy. Following the discovery of dystrophin, remarkable progress has been made in defining the molecular properties of proteins involved in the various dystrophies. This
Dimple Bansal et al.
Nature, 423(6936), 168-172 (2003-05-09)
Muscular dystrophy includes a diverse group of inherited muscle diseases characterized by wasting and weakness of skeletal muscle. Mutations in dysferlin are linked to two clinically distinct muscle diseases, limb-girdle muscular dystrophy type 2B and Miyoshi myopathy, but the mechanism
S H Laval et al.
Neuropathology and applied neurobiology, 30(2), 91-105 (2004-03-27)
The limb-girdle muscular dystrophies are a diverse group of muscle-wasting disorders characteristically affecting the large muscles of the pelvic and shoulder girdles. Molecular genetic analyses have demonstrated causative mutations in the genes encoding a disparate collection of proteins involved in

Our team of scientists has experience in all areas of research including Life Science, Material Science, Chemical Synthesis, Chromatography, Analytical and many others.

Contact Technical Service