Skip to Content
Merck
CN

HPA012510

Anti-PSME3 antibody produced in rabbit

Prestige Antibodies® Powered by Atlas Antibodies, affinity isolated antibody, buffered aqueous glycerol solution

Synonym(s):

Anti-11S regulator complex subunit gamma, Anti-Activator of multicatalytic protease subunit 3, Anti-Ki nuclear autoantigen, Anti-PA28g, Anti-PA28gamma, Anti-Proteasome activator 28 subunit gamma, Anti-Proteasome activator complex subunit 3, Anti-REG-gamma

Sign In to View Organizational & Contract Pricing.

Select a Size


About This Item

UNSPSC Code:
12352203
NACRES:
NA.41
MDL number:
Human Protein Atlas Number:
Conjugate:
unconjugated
Clone:
polyclonal
Application:
IF, IHC
Citations:
4
Technical Service
Need help? Our team of experienced scientists is here for you.
Let Us Assist
Technical Service
Need help? Our team of experienced scientists is here for you.
Let Us Assist

biological source

rabbit

conjugate

unconjugated

antibody form

affinity isolated antibody

antibody product type

primary antibodies

clone

polyclonal

product line

Prestige Antibodies® Powered by Atlas Antibodies

form

buffered aqueous glycerol solution

species reactivity

human

technique(s)

immunoblotting: 0.04-0.4 μg/mL, immunofluorescence: 0.25-2 μg/mL, immunohistochemistry: 1:200-1:500

immunogen sequence

QEVKLKVDSFRERITSEAEDLVANFFPKKLLELDSFLKEPILNIHDLTQIHSDMNLPVPDPILLTNSHDGLDGPTYKKRRLDECEEAFQGTKVFVMPNGMLKSNQQLVDIIEKVKPEIRLLIEKCNT

UniProt accession no.

shipped in

wet ice

storage temp.

−20°C

target post-translational modification

unmodified

Quality Level

Gene Information

human ... PSME3(10197)

Immunogen

Proteasome activator complex subunit 3 recombinant protein epitope signature tag (PrEST)

Application

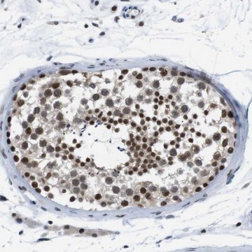
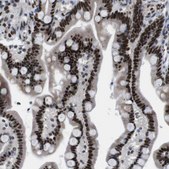
All Prestige Antibodies Powered by Atlas Antibodies are developed and validated by the Human Protein Atlas (HPA) project and as a result, are supported by the most extensive characterization in the industry.

The Human Protein Atlas project can be subdivided into three efforts: Human Tissue Atlas, Cancer Atlas, and Human Cell Atlas. The antibodies that have been generated in support of the Tissue and Cancer Atlas projects have been tested by immunohistochemistry against hundreds of normal and disease tissues and through the recent efforts of the Human Cell Atlas project, many have been characterized by immunofluorescence to map the human proteome not only at the tissue level but now at the subcellular level. These images and the collection of this vast data set can be viewed on the Human Protein Atlas (HPA) site by clicking on the Image Gallery link. We also provide Prestige Antibodies® protocols and other useful information.

Biochem/physiol Actions

PSME3, also termed as PA28γ, is a component of 11S REGγ proteasome activator. It is heptameric in structure and predominantly localized in the nucleus. It controls the expression level of biologically active peptides in the nucleus. PSME3 facilitates the activation of the trypsin-like catalytic subunit of the proteasome followed by the activation of all three proteasome catalytic subunits. It has been reported that PSME3 may be involved in the later stages of protein metabolism in the nucleus.

Features and Benefits

Prestige Antibodies® are highly characterized and extensively validated antibodies with the added benefit of all available characterization data for each target being accessible via the Human Protein Atlas portal linked just below the product name at the top of this page. The uniqueness and low cross-reactivity of the Prestige Antibodies® to other proteins are due to a thorough selection of antigen regions, affinity purification, and stringent selection. Prestige antigen controls are available for every corresponding Prestige Antibody and can be found in the linkage section.

Every Prestige Antibody is tested in the following ways:
  • IHC tissue array of 44 normal human tissues and 20 of the most common cancer type tissues.
  • Protein array of 364 human recombinant protein fragments.

Physical form

Solution in phosphate-buffered saline, pH 7.2, containing 40% glycerol and 0.02% sodium azide

Other Notes

Corresponding Antigen APREST70826

Legal Information

Prestige Antibodies is a registered trademark of Merck KGaA, Darmstadt, Germany

Disclaimer

Unless otherwise stated in our catalog or other company documentation accompanying the product(s), our products are intended for research use only and are not to be used for any other purpose, which includes but is not limited to, unauthorized commercial uses, in vitro diagnostic uses, ex vivo or in vivo therapeutic uses or any type of consumption or application to humans or animals.

Not finding the right product?  

Try our Product Selector Tool.

Storage Class

10 - Combustible liquids

wgk

WGK 1

flash_point_f

Not applicable

flash_point_c

Not applicable

ppe

Eyeshields, Gloves, multi-purpose combination respirator cartridge (US)

Regulatory Information

低风险生物材料
常规特殊物品
This item has

Choose from one of the most recent versions:

Certificates of Analysis (COA)

Lot/Batch Number

Don't see the Right Version?

If you require a particular version, you can look up a specific certificate by the Lot or Batch number.

Already Own This Product?

Find documentation for the products that you have recently purchased in the Document Library.

Visit the Document Library

J Li et al.
Journal of molecular biology, 299(3), 641-654 (2000-06-03)
The REG homologs, alpha, beta and gamma, activate mammalian proteasomes in distinct ways. REGalpha and REGbeta activate the trypsin-like, chymotrypsin-like and peptidylglutamyl-preferring active sites, whereas REGgamma only activates the proteasome's trypsin-like subunit. The three REG homologs differ in carboxyl-terminal sequences
Martina Magni et al.
Nucleic acids research, 42(21), 13150-13160 (2014-11-02)
Human DBC1 (Deleted in Breast Cancer 1; KIAA1967; CCAR2) is a protein implicated in the regulation of apoptosis, transcription and histone modifications. Upon DNA damage, DBC1 is phosphorylated by ATM/ATR on Thr454 and this modification increases its inhibitory interaction with
S Wilk et al.
Archives of biochemistry and biophysics, 383(2), 265-271 (2001-02-24)
PA28 or 11S REG is a proteasome activator composed of homologous alpha- and beta-subunits and predominantly found in the cytosol. A homologous protein originally known as the Ki antigen but now called PA28gamma or REGgamma is predominantly localized in the
Xiaolin Gao et al.
Archives of biochemistry and biophysics, 425(2), 158-164 (2004-04-28)
The proteasome activation properties of recombinant REG gamma molecules depend on purification procedures. Prior to ammonium sulfate precipitation recombinant REG gamma activates the trypsin-like catalytic subunit of the proteasome; afterwards it activates all three catalytic subunits. The expanded activation specificity

Our team of scientists has experience in all areas of research including Life Science, Material Science, Chemical Synthesis, Chromatography, Analytical and many others.

Contact Technical Service