Skip to Content
Merck
CN

HPA010856

Anti-FXYD3 antibody produced in rabbit

Prestige Antibodies® Powered by Atlas Antibodies, affinity isolated antibody, buffered aqueous glycerol solution

Synonym(s):

Anti-Chloride conductance inducer protein Mat-8 antibody produced in rabbit, Anti-FXYD domain-containing ion transport regulator 3 precursor antibody produced in rabbit, Anti-Mammary tumor 8 kDa protein antibody produced in rabbit, Anti-Phospholemman-like antibody produced in rabbit

Sign In to View Organizational & Contract Pricing.

Select a Size


About This Item

UNSPSC Code:
12352203
NACRES:
NA.41
Human Protein Atlas Number:
Conjugate:
unconjugated
Clone:
polyclonal
Application:
IHC
Citations:
6
Technical Service
Need help? Our team of experienced scientists is here for you.
Let Us Assist
Technical Service
Need help? Our team of experienced scientists is here for you.
Let Us Assist

biological source

rabbit

conjugate

unconjugated

antibody form

affinity isolated antibody

antibody product type

primary antibodies

clone

polyclonal

product line

Prestige Antibodies® Powered by Atlas Antibodies

form

buffered aqueous glycerol solution

species reactivity

human

enhanced validation

orthogonal RNAseq
Learn more about Antibody Enhanced Validation

technique(s)

immunohistochemistry: 1:20- 1:50

immunogen sequence

MSEWRSSGEQAGRGWGSPPLTTQLSPTGAKCKCKFGQKSGHHPGETPPLITPGSAQS

UniProt accession no.

shipped in

wet ice

storage temp.

−20°C

target post-translational modification

unmodified

Quality Level

Gene Information

human ... FXYD3(5349)

General description

FXYD3 (FXYD domain containing ion transport regulator 3) belongs to the family of FXYD proteins, which form the conserved functional subunit of Na/K-ATPase. FXYD proteins are small, transmembrane proteins which span the membrane only once. They contain their characteristic FXYD (Phe-X-Tyr-Asp) motif as well as three conserved amino acid residues. This family consists of seven members which interact with Na/K-ATPase in a tissue-specific pattern. FXYD3 has two transmembrane domains instead of one, and also has its signal peptide intact. It is normally expressed in uterus, colon, skin and stomach. This protein has two isoforms- FXYD3a and FXYD3b, where FXYD3b has 26 more amino acids in its cytoplasmic region as compared to FXYD3a. This gene maps to human chromosome 19q13.12.

Immunogen

FXYD domain-containing ion transport regulator 3 precursor recombinant protein epitope signature tag (PrEST)

Application

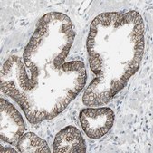
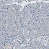
Anti-FXYD3 antibody produced in rabbit, a Prestige Antibody, is developed and validated by the Human Protein Atlas (HPA) project . Each antibody is tested by immunohistochemistry against hundreds of normal and disease tissues. These images can be viewed on the Human Protein Atlas (HPA) site by clicking on the Image Gallery link. The antibodies are also tested using immunofluorescence and western blotting. To view these protocols and other useful information about Prestige Antibodies and the HPA, visit sigma.com/prestige.

Biochem/physiol Actions

FXYD3 (FXYD domain containing ion transport regulator 3) regulates the transport of ions by interacting with and regulating the function of Na/K-ATPase. It either acts as a chloride channel or as a regulator of chloride channel. This protein is differentially expressed in many tumors, where it is overexpressed in prostate and pancreatic cancer, and down-regulated in colon and kidney cancer. Also, it is overexpressed in gastric adenocarcinoma, where it may be involved in tumorigenesis and metastasis. It is up-regulated in glioma, especially in cases of multiple gliomas and female patients. Therefore, it might play a role in glioma development. Down-regulation of FXYD3 might play a role in epithelial-mesenchymal transition, as in the case of lung cancer. It might act as a tumor suppressor, and its inactivation might result in the atypical morphology of cancer cells, as well as the progression of lung cancer.

Features and Benefits

Prestige Antibodies® are highly characterized and extensively validated antibodies with the added benefit of all available characterization data for each target being accessible via the Human Protein Atlas portal linked just below the product name at the top of this page. The uniqueness and low cross-reactivity of the Prestige Antibodies® to other proteins are due to a thorough selection of antigen regions, affinity purification, and stringent selection. Prestige antigen controls are available for every corresponding Prestige Antibody and can be found in the linkage section.

Every Prestige Antibody is tested in the following ways:
  • IHC tissue array of 44 normal human tissues and 20 of the most common cancer type tissues.
  • Protein array of 364 human recombinant protein fragments.

Physical form

Solution in phosphate-buffered saline, pH 7.2, containing 40% glycerol and 0.02% sodium azide

Other Notes

Corresponding Antigen APREST71685

Legal Information

Prestige Antibodies is a registered trademark of Merck KGaA, Darmstadt, Germany

Disclaimer

Unless otherwise stated in our catalog or other company documentation accompanying the product(s), our products are intended for research use only and are not to be used for any other purpose, which includes but is not limited to, unauthorized commercial uses, in vitro diagnostic uses, ex vivo or in vivo therapeutic uses or any type of consumption or application to humans or animals.

Not finding the right product?  

Try our Product Selector Tool.

Storage Class

10 - Combustible liquids

wgk

WGK 1

flash_point_f

Not applicable

flash_point_c

Not applicable

ppe

Eyeshields, Gloves, multi-purpose combination respirator cartridge (US)

Regulatory Information

新产品
This item has

Choose from one of the most recent versions:

Certificates of Analysis (COA)

Lot/Batch Number

Don't see the Right Version?

If you require a particular version, you can look up a specific certificate by the Lot or Batch number.

Already Own This Product?

Find documentation for the products that you have recently purchased in the Document Library.

Visit the Document Library

FXYD3 facilitates Na+ and liquid absorption across human airway epithelia by increasing the transport capacity of the Na/K ATPase.
Cano Portillo, et al.
American Journal of Physiology. Cell Physiology, 323, C1044-C1051 (2022)
Zhi-Zhou Shi et al.
Clinical cancer research : an official journal of the American Association for Cancer Research, 19(21), 5867-5878 (2013-09-07)
Our aim was to identify frequent genomic aberrations in both esophageal squamous cell carcinoma (ESCC) and esophageal dysplasia and to discover important copy number-driving genes and microRNAs (miRNA) in ESCC. We conducted array-based comparative genomic hybridization (array CGH) on 59
Hiroto Yamamoto et al.
Biological & pharmaceutical bulletin, 32(7), 1148-1154 (2009-07-03)
FXYD3, also known as Mat-8 (Mammary tumor 8 kDa), is one of mRNAs highly expressed in mouse and human breast cancers. Here, we newly found that FXYD3 protein was also overexpressed in human breast cancer specimens; invasive ductal carcinomas and
Ming-Wei Wang et al.
Oncology research, 18(4), 133-139 (2010-02-02)
FXYD3, interacting with Na+/K+-ATPase, is considered a cell surface regulator modulating the function of ion pumps and ion channels. The FXYD3 gene was originally cloned from murine mammary tumors and then from human breast tumors. However, no study of FXYD3
Zhen-Long Zhu et al.
Disease markers, 28(2), 63-69 (2010-04-07)
FXYD-3, also known as Mat-8, is a member of the FXYD protein family. It was reported that this protein can associate with and modify the transport properties of Na, K-ATPase, and may play an important role in a variety of

Our team of scientists has experience in all areas of research including Life Science, Material Science, Chemical Synthesis, Chromatography, Analytical and many others.

Contact Technical Service